Найти в Дзене
Нова Клиник

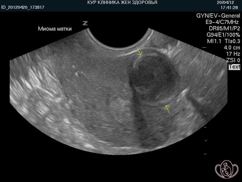
Ошибки в лечении миомы

Миома матки — диагноз, который слышит почти каждая третья женщина после 35 лет. И вместе с ним — поток противоречивой информации: от «это не опасно, просто наблюдайте» до «нужна срочная операция по удалению матки». В этой панике и отсутствии четких ориентиров рождаются главные ошибки, которые могут привести к прогрессированию болезни, потере органа и ухудшению качества жизни. В своём Телеграм-канале публикуем клинические случаи и посты от наших врачей. Главное отличие от других каналов - посты пишут не копирайтеры, поэтому информация в них важная, актуальная и правдивая ✅ У женщины обильные болезненные месячные со сгустками, анемия (слабость, головокружение), давление на мочевой пузырь. На УЗИ - подслизистая миома, и вместо комплексного лечения ей предлагают понаблюдать или назначают лишь обезболивающие и препараты железа. Миома растет, деформирует полость матки, нарушает кровоснабжение. Анемия истощает организм. Обезболивающие не решают проблему, а лишь маскируют ее, позволяя болезни
Оглавление

Миома матки — диагноз, который слышит почти каждая третья женщина после 35 лет. И вместе с ним — поток противоречивой информации: от «это не опасно, просто наблюдайте» до «нужна срочная операция по удалению матки». В этой панике и отсутствии четких ориентиров рождаются главные ошибки, которые могут привести к прогрессированию болезни, потере органа и ухудшению качества жизни.

В своём Телеграм-канале публикуем клинические случаи и посты от наших врачей. Главное отличие от других каналов - посты пишут не копирайтеры, поэтому информация в них важная, актуальная и правдивая ✅

Ошибка №1: Наблюдать за симптомной миомой, заглушая симптомы таблетками

У женщины обильные болезненные месячные со сгустками, анемия (слабость, головокружение), давление на мочевой пузырь. На УЗИ - подслизистая миома, и вместо комплексного лечения ей предлагают понаблюдать или назначают лишь обезболивающие и препараты железа.

Миома растет, деформирует полость матки, нарушает кровоснабжение. Анемия истощает организм. Обезболивающие не решают проблему, а лишь маскируют ее, позволяя болезни прогрессировать до таких размеров, когда щадящее лечение станет невозможным.

Наличие симптомов (кровотечение, боль, нарушение функции соседних органов) — прямое показание к началу активного лечения, а не к наблюдению.

Ошибка №2: Сразу соглашаться на удаление матки (гистерэктомию), если нет репродуктивных планов

«Вам 45, дети есть, зачем вам матка? Давайте удалим, и проблема миомы исчезнет навсегда».

Матка — это гормонально-зависимый орган, играющий важную роль в эндокринной системе, кровоснабжении таза, поддержании тонуса тазового дна. Сейчас гистерэктомия при миоме — крайняя мера. Существуют органосохраняющие методы (миомэктомия, ЭМА, ФУЗ-абляция), которые должны быть рассмотрены в первую очередь.

Ошибка №3: Бояться операции и годами пить БАДы, травы или гомеопатию

Если есть показания к операции, а женщина боится и находит другие методы, который обещают рассосать миому фитосборами, пиявками или чудо-свечами.

Миома — это доброкачественная опухоль из мышечных клеток. Никакие травы не способны заставить эти сформированные узлы бесследно исчезнуть. Пока пациентка тратит время и деньги на иллюзии, узлы растут, переходя в категорию сложных для удаления. Некоторые травы (с фитоэстрогенами) могут даже стимулировать рост миомы.

-2

Доверять стоит только методам доказательной медицины. Нетрадиционные подходы можно использовать лишь как вспомогательные (для снятия стресса, укрепления иммунитета) и только с одобрения лечащего врача.

Ошибка №4: Считать, что после менопаузы миома рассосется сама, и игнорировать наблюдение

Действительно, после менопаузы многие миомы уменьшаются. Но не все и не всегда.

Рост миомы в постменопаузе — ТРЕВОЖНЫЙ знак, требующий немедленного исключения злокачественного процесса (лейкосаркомы). Поэтому нельзя прекращать наблюдение за образованием. Делайте контрольное УЗИ раз в 6-12 месяцев обязательно.

Ошибка №5: Не учитывать репродуктивные планы при выборе тактики

Молодой женщине, планирующей беременность, предлагают радикальный метод (удаление матки) или, наоборот, советуют родить поскорее, а потом уже разбираться с миомой.

Некоторые миомы (субмукозные, деформирующие полость) значительно снижают шансы на зачатие и вынашивание. Беременеть, не решив проблему может быть опасно из-за риска осложнений (выкидыш, отслойка плаценты).

Кроме того, во время беременности миома может вести себя непредсказуемо (расти, некротизироваться).

-3