Найти в Дзене
Эстетика Дентал

Коронки из диоксида циркония: современная эстетическая реставрация фронтальных зубов

Эстетика улыбки играет важную роль в восприятии человека — как окружающими, так и им самим. Передние зубы находятся в зоне максимального внимания, поэтому любые дефекты формы, цвета или положения становятся заметными и часто вызывают психологический дискомфорт. В таких ситуациях задача стоматолога заключается не только в восстановлении функции, но и в создании максимально естественного и гармоничного результата. Одним из наиболее современных и предсказуемых решений в эстетической стоматологии сегодня являются коронки из диоксида циркония. Этот метод позволяет восстановить фронтальные зубы с учётом индивидуальных анатомических особенностей, добиться высокой эстетики и обеспечить долгосрочный результат. Диоксид циркония — это высокотехнологичный материал, который используется в стоматологии более 15 лет и зарекомендовал себя как один из самых прочных и эстетичных. Он сочетает в себе механическую надёжность и высокие эстетические свойства, что делает его особенно востребованным при работ
Оглавление

Эстетика улыбки играет важную роль в восприятии человека — как окружающими, так и им самим. Передние зубы находятся в зоне максимального внимания, поэтому любые дефекты формы, цвета или положения становятся заметными и часто вызывают психологический дискомфорт. В таких ситуациях задача стоматолога заключается не только в восстановлении функции, но и в создании максимально естественного и гармоничного результата.

Одним из наиболее современных и предсказуемых решений в эстетической стоматологии сегодня являются коронки из диоксида циркония. Этот метод позволяет восстановить фронтальные зубы с учётом индивидуальных анатомических особенностей, добиться высокой эстетики и обеспечить долгосрочный результат.

Что такое коронки из диоксида циркония

Диоксид циркония — это высокотехнологичный материал, который используется в стоматологии более 15 лет и зарекомендовал себя как один из самых прочных и эстетичных. Он сочетает в себе механическую надёжность и высокие эстетические свойства, что делает его особенно востребованным при работе в зоне улыбки.

Современные циркониевые коронки отличаются улучшенной светопроницаемостью, благодаря чему визуально максимально приближены к натуральной эмали.

Циркониевая коронка изготавливается на основе цифровых технологий CAD/CAM:

  • проводится 3D-сканирование зубов,
  • моделируется форма будущей коронки,
  • затем она фрезеруется из цельного блока диоксида циркония.

Благодаря этому коронки идеально прилегают к зубу, обладают высокой прочностью и превосходной эстетикой.

Почему диоксид циркония используется для фронтальных зубов

Реставрация передних зубов предъявляет повышенные требования к материалам. Важно, чтобы коронки выглядели естественно при любом освещении, не выделялись на фоне собственных зубов и сохраняли эстетические свойства со временем.

Коронки из диоксида циркония обладают рядом преимуществ, которые делают их оптимальным выбором для фронтальной группы:

  • высокая прочность и устойчивость к нагрузкам;
  • отсутствие металлического каркаса, что исключает появление тёмной линии у десны;
  • биосовместимость и хорошая переносимость тканями полости рта;
  • стабильность цвета и формы на протяжении многих лет;
  • возможность точного подбора оттенка под естественные зубы пациента.

Благодаря этим характеристикам цирконий позволяет создавать реставрации, которые неотличимы от натуральных зубов.

Показания к установке циркониевых коронок

Коронки из диоксида циркония применяются в следующих клинических ситуациях:

  • значительное разрушение коронковой части зуба;
  • изменение цвета зуба, не поддающееся отбеливанию;
  • наличие старых, неэстетичных реставраций;
  • нарушение формы или длины фронтальных зубов;
  • восстановление зубов после лечения корневых каналов;
  • комплексная эстетическая реабилитация улыбки.

Решение о выборе метода лечения принимается индивидуально, после тщательной диагностики и оценки прогноза сохранности зуба.

Как проходит процесс эстетической реставрации

Эстетическая реставрация циркониевыми коронками проводится поэтапно и требует точного планирования.

На первом этапе выполняется консультация, фотопротокол и рентгенологическое обследование. Врач оценивает состояние зубов, прикус и положение десны. Далее обсуждаются пожелания пациента по форме и цвету будущих зубов.

После подготовки зубов проводится цифровое сканирование, на основании которого в лаборатории изготавливаются коронки. Перед окончательной фиксацией выполняется примерка, позволяющая оценить эстетику, посадку и комфорт.

Финальный этап — постоянная фиксация коронок и рекомендации по уходу.

Клинический случай: реставрация фронтальных зубов циркониевыми коронками

Врач: Малыхина Татьяна Михайловна

Клинический случай, выполненный врачом Малыхиной Татьяной Михайловной
Клинический случай, выполненный врачом Малыхиной Татьяной Михайловной

Исходная ситуация

Пациент обратился с жалобами на неудовлетворительный внешний вид передних зубов. Основные проблемы включали различие в цвете, нарушение формы, наличие старых реставраций и общее ощущение негармоничной улыбки. Эстетический дефект вызывал дискомфорт при общении и фотографировании.

На этапе диагностики было установлено, что консервативные методы коррекции не позволят достичь стабильного и прогнозируемого результата.

План лечения

После анализа клинической ситуации было принято решение провести эстетическую реставрацию фронтальных зубов с использованием коронок из диоксида циркония. Данный вариант позволял восстановить правильную анатомию зубов, добиться естественного оттенка и обеспечить долговечность результата.

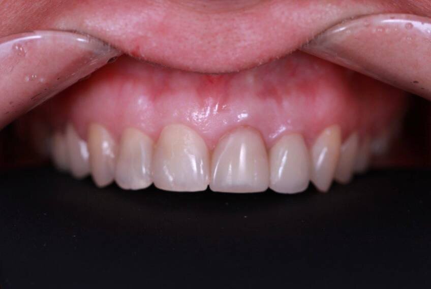
Результат

Клинический случай, выполненный врачом Малыхиной Татьяной Михайловной
Клинический случай, выполненный врачом Малыхиной Татьяной Михайловной

После завершения лечения улыбка пациента приобрела гармоничный и естественный вид. Форма зубов стала пропорциональной, цвет — равномерным и соответствующим индивидуальным особенностям пациента. Коронки органично интегрировались в зубной ряд и визуально не отличались от натуральных зубов.

Пациент отметил не только эстетические изменения, но и повышение уверенности в себе.

Долговечность и уход за циркониевыми коронками

При соблюдении рекомендаций по уходу циркониевые коронки служат в среднем 10–15 лет и более. Для поддержания результата необходимо:

  • регулярно чистить зубы два раза в день;
  • использовать дополнительные средства гигиены;
  • проходить профессиональную чистку;
  • посещать профилактические осмотры у стоматолога.

Заключение

Коронки из диоксида циркония являются одним из наиболее современных и надёжных способов эстетической реставрации фронтальных зубов. Они позволяют восстановить не только функцию, но и внешний вид зубов, обеспечивая естественный и долговечный результат.

Работы, выполненные в клинике «Эстетика Дентал», основаны на индивидуальном подходе, точной диагностике и применении современных технологий.

С заботой о вашей улыбке, клиника «Эстетика Дентал»
https://esteticadental.ru

Доступна возможность онлайн записи

https://booking.medflex.ru/?source=3&user=601b117d874c07a2ce06f68a6458f3af&filial=22687&type=doctors

г. Голицыно, ул. Советская 59

Наши контакты:

📞 +74959462046

📞 +79169467305