Найти в Дзене

📢 Зачем нужен ретейнер после брекетов

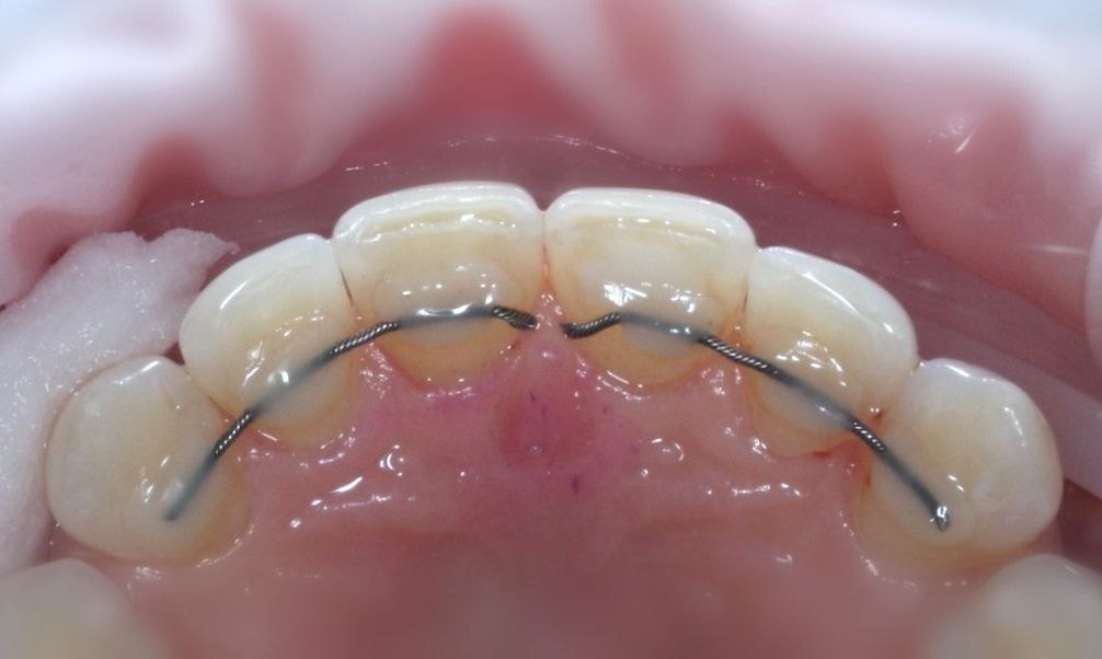
? Дорогие друзья! 🦷 После успешного ношения брекетов важно не забывать о следующем шаге — установке ретейнера. Зачем он нужен? 1️⃣ Сохранение результата. Ретейнер помогает зафиксировать зубы в новом положении, предотвращая их возвращение в прежнюю позицию. 2️⃣ Минимизация дискомфорта. Он обеспечивает плавный переход и помогает привыкнуть к изменениям в прикусе. 3️⃣ Индивидуальный подход. Каждый ретейнер изготавливается с учетом особенностей ваших зубов и челюсти, что гарантирует лучший результат. Не забывайте позаботиться о результатах своего лечения! Если у вас есть вопросы, записывайтесь на консультацию. 💬✨ Ваши зубы — ваша гордость!

📢 Зачем нужен ретейнер после брекетов?

Дорогие друзья! 🦷

После успешного ношения брекетов важно не забывать о следующем шаге — установке ретейнера. Зачем он нужен?

1️⃣ Сохранение результата. Ретейнер помогает зафиксировать зубы в новом положении, предотвращая их возвращение в прежнюю позицию.

2️⃣ Минимизация дискомфорта.

Он обеспечивает плавный переход и помогает привыкнуть к изменениям в прикусе.

3️⃣ Индивидуальный подход.

Каждый ретейнер изготавливается с учетом особенностей ваших зубов и челюсти, что гарантирует лучший результат.

Не забывайте позаботиться о результатах своего лечения! Если у вас есть вопросы, записывайтесь на консультацию. 💬✨

Ваши зубы — ваша гордость!