Найти в Дзене
Прайм-Стоматология

Удалить или спасти? Врач ПРАЙМа рассказал о границах возможного в стоматологии

В «Прайм-стоматологию» часто обращаются пациенты, которые стоят перед непростым выбором: сохранить зуб или удалить его. Многим ранее отказывали в лечении в других клиниках, ссылаясь на сложный клинический случай. И действительно — благодаря современным технологиям, передовому оборудованию и высокой квалификации врачей сегодня удаётся спасти даже те зубы, которые ещё недавно считались безнадёжными. Однако есть ситуации, когда сохранение зуба невозможно— не из-за недостатка технологий или опытных докторов, а из-за анатомических и других ограничений. 📍 В этой статье мы честно и по делу расскажем: когда удаление — не приговор, а единственно верное решение. Разобраться в данном вопросе помог Артём Андреевич Тишков — ведущий врач-стоматолог терапевт, ортопед ПРАЙМа, специалист по лечению зубов под микроскопом. - Зубы можно сохранить во многих случаях, но есть некоторые исключения, когда это объективно невозможно. К таким ситуациям относятся: 🚩 вертикальный перелом корня зуба, 🚩 отсутствие

В «Прайм-стоматологию» часто обращаются пациенты, которые стоят перед непростым выбором: сохранить зуб или удалить его. Многим ранее отказывали в лечении в других клиниках, ссылаясь на сложный клинический случай.

И действительно — благодаря современным технологиям, передовому оборудованию и высокой квалификации врачей сегодня удаётся спасти даже те зубы, которые ещё недавно считались безнадёжными.

Однако есть ситуации, когда сохранение зуба невозможно— не из-за недостатка технологий или опытных докторов, а из-за анатомических и других ограничений.

📍 В этой статье мы честно и по делу расскажем: когда удаление — не приговор, а единственно верное решение.

Разобраться в данном вопросе помог Артём Андреевич Тишков — ведущий врач-стоматолог терапевт, ортопед ПРАЙМа, специалист по лечению зубов под микроскопом.

Артём Андреевич занимается не только сложным эндодонтическим лечением, но и протезированием зубов.
Артём Андреевич занимается не только сложным эндодонтическим лечением, но и протезированием зубов.

- Зубы можно сохранить во многих случаях, но есть некоторые исключения, когда это объективно невозможно.

К таким ситуациям относятся:

🚩 вертикальный перелом корня зуба,

🚩 отсутствие достаточного количества здоровых тканей зуба для его дальнейшего восстановления,

🚩 сильная подвижность зуба (3-й степени) на фоне генерализованного пародонтита тяжелой степени с выраженной убылью костной ткани вокруг зуба,

🚩 крайне некорректное предыдущее лечение, которое невозможно качественно исправить (встречается редко, но бывает),

🚩 ограниченное открывание рта, при котором физически невозможно подобраться к причинному зубу и провести качественное лечение,

🚩 ещё одно важное ограничение - общее состояние здоровья пациента. Отдельно стоит выделить системные противопоказания для сложного зубосохраняющего лечения. Например, серьезные заболевания (сердечно-сосудистые в стадии декомпенсации, онкология, некоторые иммунные нарушения) или прием препаратов, влияющих на заживление (например, бисфосфонаты). В таких случаях длительное эндодонтическое лечение или сложная зубосохраняющая операция (резекция верхушки корня) могут представлять риск для общего здоровья. Тогда удаление зуба становится более безопасным выбором.

В остальных случаях — зуб сохранить можно!

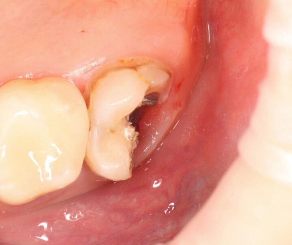
🔎Кейсы из практики Артёма Андреевича: зубы, которые сохранить невозможно.

Безусловно, перед любыми манипуляциями необходимо провести оценку состояния зуба и полноценную диагностику. Только после этого можно принимать взвешенное решение о его дальнейшей судьбе.

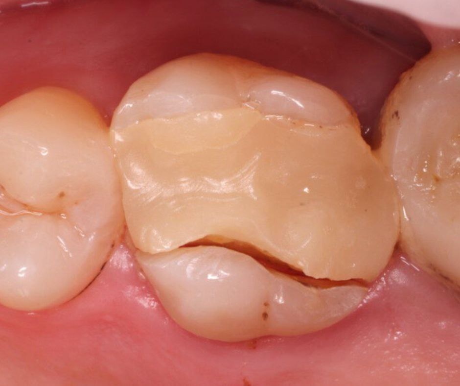
🔎 Ещё один кейс из практики доктора: зуб, который удалось сохранить.

Важную роль играет мотивация пациента. У меня есть правило: если человек действительно хочет сохранить зуб всеми возможными способами, и я вижу малейший шанс на успех, и при этом пациент проявляет максимальную осознанность и принимает все возможные риски и издержки, то в таком случае я берусь за работу.

Я всегда за предсказуемость и долгосрочный результат. Если после всех диагностических процедур прогноз для зуба остается неблагоприятным, а его сохранение откровенно грозит потерей времени, денег и здоровья зубов и окружающих их тканей — удаление становится единственно верным и ответственным решением. Это решение, принятое в интересах здоровья всей вашей полости рта на долгие годы вперед.

Если вы находитесь в состоянии выбора «удалить, нельзя спасти» или «удалить нельзя, спасти», то жду вас у себя на приёме!

Записаться на консультацию по восстановлению зуба к Артёму Андреевичу в ПРАЙМ можно по телефону — (4912)292-000.

_________________________________

Наши клиники в г. Рязань:

◾ Есенина, 110

◾ Советской армии, 9

◾ Бирюзова, 28а

◾ Интернациональная, 23

◾ Полетаева, 34 (клиника корпоративного университета)

https://www.prime-med.ru/