Найти в Дзене

Профгигиена полости рта — это лучший подарок себе для здоровья и красоты улыбки

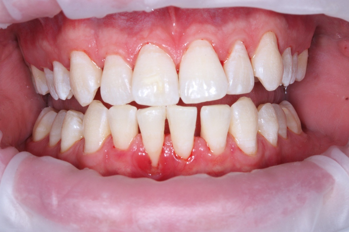
Почему особенно важно посетить процедуру после праздников? Как мы писали ранее, в новогодние праздники многие люди меняют привычный рацион, добавляя в питание много пищевых «агрессоров», пробуют новые блюда, за счет чего повышается риск механических повреждений, пренебрегают режимом. Когда идти к гигиенисту? ♻ Идеально: Через 1-2 недели после последнего праздничного застолья. Эмаль после активных атак успеет немного восстановиться естественным путем. ‼ Срочно обратиться, если вы чувствуете болезненность десен, присутствует кровоточивость при чистке, неприятный запах, который не пропадает, повышенную чувствительность к холодному/горячему, шаткость зубов или обнаружили скол.Обычно процедура длится около 40-60 минут. Запишитесь на гигиену — начните год со здоровья и красоты Вашей улыбки! Для записи звоните по тел.: +7-911-92-77-585 Работа выполнена Барановой Д.А.

Профгигиена полости рта — это лучший подарок себе для здоровья и красоты улыбки.

Почему особенно важно посетить процедуру после праздников?

Как мы писали ранее, в новогодние праздники многие люди меняют привычный рацион, добавляя в питание много пищевых «агрессоров», пробуют новые блюда, за счет чего повышается риск механических повреждений, пренебрегают режимом.

Когда идти к гигиенисту?

♻ Идеально: Через 1-2 недели после последнего праздничного застолья. Эмаль после активных атак успеет немного восстановиться естественным путем.

‼ Срочно обратиться, если вы чувствуете болезненность десен, присутствует кровоточивость при чистке, неприятный запах, который не пропадает, повышенную чувствительность к холодному/горячему, шаткость зубов или обнаружили скол.Обычно процедура длится около 40-60 минут.

Запишитесь на гигиену — начните год со здоровья и красоты Вашей улыбки!

Для записи звоните по тел.: +7-911-92-77-585

Работа выполнена Барановой Д.А.

-2