Добавить в корзинуПозвонить
Найти в Дзене
Доктор Малышев

История про грыжу, которая исчезла. Или как мы готовили к лыжам за 3 месяца

Сентябрь. В кабинет заходит девушка , и я сразу вижу – движется осторожно, как будто несёт на спине что-то хрупкое Доктор, я наклонилась завязать шнурки – и как ударило током. Прострел в пояснице, боль отдаёт в ягодицу. Массаж делала, к мануальщику ходила – легче на день-два, потом всё возвращается. Друг посоветовал ко мне. Спасибо этому другу.
Что я увидел на осмотре
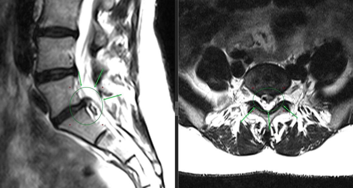
Провёл стандартный нейро-ортопедический осмотр. У нас в клинике это обязательный протокол – набор тестов, которые либо подтверждают гипотезу, либо её ломают. И тесты мне сказали то, что я уже понял из рассказа: классика жанра – разрыв межпозвонкового диска с грыжей. Наклон + прострел + боль в ягодицу = L5-S1 просит о помощи. Направил на МРТ. И да – грыжа диска L5-S1. Всё сходится.
А теперь самое интересное Пациентка не просто хотела «чтобы не болело». У неё была цель: зима, лыжи, горы. Она активная – тренируется, ходит в походы. И вот эта боль выбила её из жизни. Три месяца в запасе до лыжного сезона. «Сможем?» – спра

Сентябрь. В кабинет заходит девушка , и я сразу вижу – движется осторожно, как будто несёт на спине что-то хрупкое

Доктор, я наклонилась завязать шнурки – и как ударило током. Прострел в пояснице, боль отдаёт в ягодицу. Массаж делала, к мануальщику ходила – легче на день-два, потом всё возвращается.

Друг посоветовал ко мне. Спасибо этому другу.



Что я увидел на осмотре

Провёл стандартный нейро-ортопедический осмотр. У нас в клинике это обязательный протокол – набор тестов, которые либо подтверждают гипотезу, либо её ломают.

И тесты мне сказали то, что я уже понял из рассказа: классика жанра – разрыв межпозвонкового диска с грыжей. Наклон + прострел + боль в ягодицу = L5-S1 просит о помощи.

Направил на МРТ.

И да – грыжа диска L5-S1. Всё сходится.

А теперь самое интересное

Пациентка не просто хотела «чтобы не болело». У неё была цель: зима, лыжи, горы.

Она активная – тренируется, ходит в походы. И вот эта боль выбила её из жизни. Три месяца в запасе до лыжного сезона.

«Сможем?» – спрашивает она.

«Сможем», – отвечаю я.

Что мы сделали


План был такой: курс лечения по методу резорбции – уменьшения грыжи диска.

  • Иглорефлексотерапия
  • Лазер
  • Плазмотерапия (уколы обогащённой тромбоцитами плазмы)

    Плюс – и это главное – упражнения.

Потому что без них любой результат временный. Тело должно вспомнить, как двигаться правильно, как держать поясницу стабильной, как распределять нагрузку.

Курс прошёл.

Пациентка занималась дома.

Я периодически контролировал технику и корректировал нагрузку.

✅А дальше – две недели назад

Приходит на контрольный приём. Со свежим МРТ в руках.

Открываю снимок.

Грыжи нет.

Читаю ещё раз.

Грыжи нет.

Смотрю на пациентку – она улыбается:

«Доктор, я уже месяц как забыла, что такое боль. Готова к лыжам».

Почему я рассказываю эту историю
Потому что это не чудо.

Это результат грамотного подхода: точная диагностика + современные методы лечения + работа пациента над собой.

Грыжа может уменьшиться. Боль может уйти.

Но для этого нужно действовать, а не ждать, когда «само пройдёт» или надеяться на массаж раз в неделю.

Сейчас она где-то точит лыжи и планирует маршруты.

А я сижу и думаю: вот за такие истории я и люблю свою работу.