Найти в Дзене
БЫТЬ ХИРУРГОМ

Новый год приближается, работа продолжается

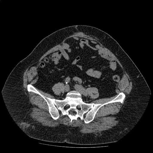
Прошлая неделя была щедра на большие интересные грыжи. Пациентка средних лет с интересным анамнезом. В другой больнице пациентке была выполнена IPOM-пластика по поводу пупочной грыжи. Но, что то пошло не так. Сетка инфицировалась и ее удалили уже через открытый разрез. Конечно же пациентка считает, что ей инфекцию "занесли" (но об этом в отдельном посте). Грыжевой выпячивание естественно вернулось, ещё в худшем варианте. Максимальная ширина дефекта 12 см. Пациентка с лишним весом, но попытки снижения веса безуспешны. Итого: пациентка с лишним весом, с рецидивной грыжей, с лапаротомией, грыжа большого размера (W3), шириной 12 см. Коллеги, какие у кого мысли? #хирургГлаголев #грыжа #сепарационнаяпластика #1хирургиягкб29

Новый год приближается, работа продолжается.

Прошлая неделя была щедра на большие интересные грыжи.

Пациентка средних лет с интересным анамнезом.

В другой больнице пациентке была выполнена IPOM-пластика по поводу пупочной грыжи. Но, что то пошло не так. Сетка инфицировалась и ее удалили уже через открытый разрез. Конечно же пациентка считает, что ей инфекцию "занесли" (но об этом в отдельном посте).

Грыжевой выпячивание естественно вернулось, ещё в худшем варианте.

Максимальная ширина дефекта 12 см.

Пациентка с лишним весом, но попытки снижения веса безуспешны.

Итого: пациентка с лишним весом, с рецидивной грыжей, с лапаротомией, грыжа большого размера (W3), шириной 12 см.

Коллеги, какие у кого мысли?

#хирургГлаголев

#грыжа

#сепарационнаяпластика

#1хирургиягкб29

-2
-3
-4