Добавить в корзинуПозвонить
Найти в Дзене

С имплантами можно забыть о брекетах!?

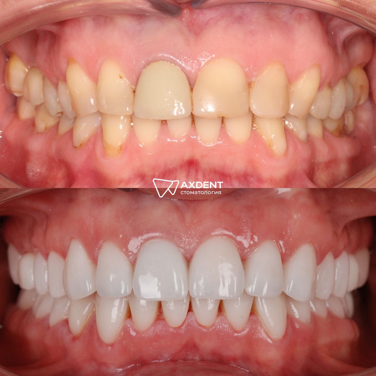
Что такое преображение зубов? Это не только визуальная картинка. Создавая новую улыбку, мы приводим все параметры зубочелюстной системы к общему знаменателю. И в большинстве случаев для такого знаменателя нужно исправлять прикус. 👉 Сначала проводим терапевтическое лечение (лечим кариесы, пульпиты, гранулемы) 👉 Затем работаем с прикусом 👉 Потом устанавливаем импланты 👉 В финале - протезирование керамикой Не всегда возможна коррекция прикуса, если во рту есть импланты. Иногда перед ортодонтическом лечением мы вынуждены удалять их и устанавливать новые после окончания ортодонтического этапа. Эта пациентка пришла к нам с давно установленными имплантами. Но наш ортодонт спланировал коррекцию прикуса так, чтобы брекеты не помешали их спокойному существованию. Такие манёвры не всегда возможны, но без разбора ставить крест на возможности ортолечения при наличии зубных протезов, ошибочно. Всё индивидуально и нужно думать о том, как минимизировать траты пациента. Начали коррекцию в феврале 2

Что такое преображение зубов? Это не только визуальная картинка. Создавая новую улыбку, мы приводим все параметры зубочелюстной системы к общему знаменателю. И в большинстве случаев для такого знаменателя нужно исправлять прикус.

👉 Сначала проводим терапевтическое лечение (лечим кариесы, пульпиты, гранулемы)

👉 Затем работаем с прикусом

👉 Потом устанавливаем импланты

👉 В финале - протезирование керамикой

Не всегда возможна коррекция прикуса, если во рту есть импланты. Иногда перед ортодонтическом лечением мы вынуждены удалять их и устанавливать новые после окончания ортодонтического этапа.

Эта пациентка пришла к нам с давно установленными имплантами. Но наш ортодонт спланировал коррекцию прикуса так, чтобы брекеты не помешали их спокойному существованию. Такие манёвры не всегда возможны, но без разбора ставить крест на возможности ортолечения при наличии зубных протезов, ошибочно. Всё индивидуально и нужно думать о том, как минимизировать траты пациента.

Начали коррекцию в феврале 24-го, закончили в сентябре 25-го. Затем пародонтолог закрыл рецессии, вернув деснам нормальный объем. Мы получили красивые зубные дуги и правильную физиологичную окклюзию. У пациентки созрело желание сделать улыбку не просто здоровой, а по-настоящему красивой и яркой.

Наступил этап протезирования. Поменяли коронки на имплантах, установили коронки на своих зубах и полувиниры во фронтальной области. Закончили только-только и сразу показываем вам. Пациентка счастлива, что Новый год встретит с обезоруживающе эстетичной улыбкой! И ваша улыбка может стать такой, какой вы хотите.