Добавить в корзинуПозвонить
Найти в Дзене
Доктор, что это?

😱 Два года звона в ушах оказались симптомом опухоли мозга

Британский пенсионер, бывший IT-специалист Даррен Харрис на протяжении двух лет страдал от тиннитуса — постоянного звона в ушах. Многочисленные обследования долгое время не выявляли причину жалоб. 🔍 Лишь после консультации нейрохирурга выяснилось: у пациента неоперабельная опухоль головного мозга. Единственным возможным вариантом лечения стала гамма-ножевая радиохирургия. 🧠 Как проходило лечение ▪️ Врачи создали точную 3D-модель опухоли ▪️ На новообразование направили более 300 сфокусированных лучей излучения ▪️ Метод позволяет разрушать опухолевые клетки без разрезов и повреждения здоровых тканей 💊 Процедура оказалась эффективной — лечение помогло стабилизировать состояние пациента. Стоимость терапии составила £35 тыс., расходы покрыла медицинская страховка. ⚠️ Почему эта история важна Тиннитус чаще всего связан с: ▪️ возрастными изменениями слуха ▪️ воздействием шума ▪️ заболеваниями уха и сосудов ❗️ Но стойкий односторонний звон, особенно сопровождающийся головной болью, нар

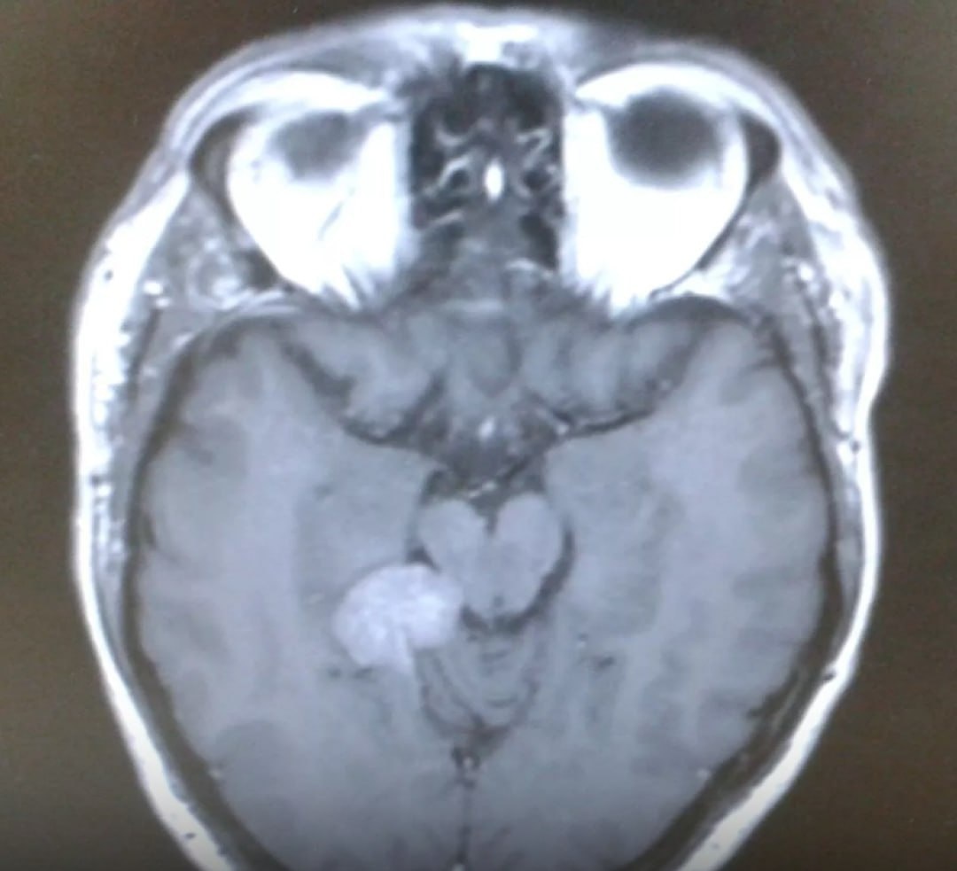
😱 Два года звона в ушах оказались симптомом опухоли мозга

Британский пенсионер, бывший IT-специалист Даррен Харрис на протяжении двух лет страдал от тиннитуса — постоянного звона в ушах. Многочисленные обследования долгое время не выявляли причину жалоб.

🔍 Лишь после консультации нейрохирурга выяснилось: у пациента неоперабельная опухоль головного мозга. Единственным возможным вариантом лечения стала гамма-ножевая радиохирургия.

🧠 Как проходило лечение

▪️ Врачи создали точную 3D-модель опухоли

▪️ На новообразование направили более 300 сфокусированных лучей излучения

▪️ Метод позволяет разрушать опухолевые клетки без разрезов и повреждения здоровых тканей

💊 Процедура оказалась эффективной — лечение помогло стабилизировать состояние пациента. Стоимость терапии составила £35 тыс., расходы покрыла медицинская страховка.

⚠️ Почему эта история важна

Тиннитус чаще всего связан с:

▪️ возрастными изменениями слуха

▪️ воздействием шума

▪️ заболеваниями уха и сосудов

❗️ Но стойкий односторонний звон, особенно сопровождающийся головной болью, нарушением равновесия, слуха или зрения — повод для углубленного обследования, включая МРТ головного мозга.

🧑‍⚕️ Вывод

Постоянные симптомы, которые долго не находят объяснения, нельзя игнорировать. Даже «безобидный» звон в ушах иногда может быть первым сигналом серьёзного заболевания.

👨‍⚕️Канал ДЧЭ l ❓Вопросы врачам

-2