Найти в Дзене

Сильное головокружение и инсульт

Доброго 👋 На этот раз пост для коллег. Хочу поделиться случаем псевдонейронита, с которым я столкнулся не так давно и который оказался инсультом у молодого человека в возрасте 24 лет
По порядку. Синдром псевдонейронита проявляется так же как вестибулярный нейронит жалобами:
1. Непрекращающееся вращательное головокружение.
2. Нарушение равновесия в покое и при ходьбе с тенденцией к падению в

Доброго 👋 На этот раз пост для коллег. Хочу поделиться случаем псевдонейронита, с которым я столкнулся не так давно и который оказался инсультом у молодого человека в возрасте 24 лет

По порядку. Синдром псевдонейронита проявляется так же как вестибулярный нейронит жалобами:

1. Непрекращающееся вращательное головокружение.

2. Нарушение равновесия в покое и при ходьбе с тенденцией к падению в сторону поражения.

3. Тошнота и рвота. Часто, многократные

Никаких субъективных ощущений, характерных больше того или другого нет.

Аналогичные вестибулярному нейрониту проявления проявления могут быть при:

  • вестибулярной мигрени
  • инсульте
  • рассеянном склерозе

Ниже фрагмент статьи о дифф.диагнозе описании "центральных" причин острого вестибулярного синдрома. Ссылку прикреплю дальше

-2

А здесь я даже публиковал видео нистагма при вестибулярном нейроните

Существует иллюзия, что при "центральных" причинах должны быть другие неврологические нарушения:

  • изменённая речь
  • невозможность выполнить мозжечковые пробы
  • снижение мышечной силы

Должны, но могут и не быть. Тому пример данный случай

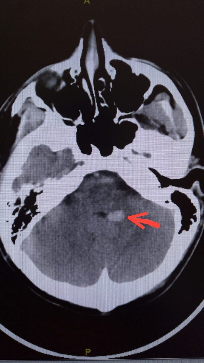
Мозжечковые пробы пациент тоже выполнял. Пробу Ромберга, разве что, было не оценить, ввиду выраженного головокружения и тошноты со рвотой. Кроме горизонтального нистагма 3 ст. , не стихающего, не было в неврологическом статусе иных отклонений. Пациент был направлен на СКТ головного мозга в экстренном порядке, где нашли зону кровоизлияния в левых ножках мозжечка (срез КТ прикрепил)

Парень был переведен в сосудистый центр, где продолжил лечение там, позже был выписан для дальнейшей реабилитации

Также здесь прикрепляю статью уважаемых в вестибулологии авторов на тему вестибулярного нейронита с главой дифференциального диагноза с псевдонейронитом

Ещё больше о причинах головокружения и неустойчивости в моем телеграмм канале

Доктор Постников

С уважением, ваш доктор Постников