Найти в Дзене
Parodoctor

Элайнеры для подростка 13 лет - особенности исправления прикуса растущего организма. Вестибулярное супраположение клыков, узкие челюсти

Эта история длилась 2 года. Юная пациентка, можно сказать, росла на наших глазах - а мы меняли ей прикус планомерно. Обдуманно, контролируемо - с 13 лет до 15. Изначальный запрос был на устранение выпирающих клыков на верхней челюсти: Слава цифровым слепкам, а то с фотографиями у нас в те времена были большие проблемки, смазанное нечто имеется. Ладно, покажу и фото: Но вот просто взять и переместить клыки, не затрагивая другие зубы - скажем так, задача фантастическая. Не получится. Да и тут всё требовало переработки - дистальный прикус, узкая нижняя челюсть, зубы завалены на верхней челюсти нёбно, на нижней язычно. Одна ветвь нижней челюсти длиннее другой, к тому же. Большой кейс! Больше 40 капп. Два года работы (с коррекцией). Подросток за это время вырос и это тоже нужно было учитывать. Детские кейсы отличаются от взрослых, они сложнее. Из плюсов - обошлись без удаления четвёртых зубов, без минивинтов, без брекетов. Но с резинками - эластичные тяги стимулировали рост нижней челюсти
Оглавление

Эта история длилась 2 года. Юная пациентка, можно сказать, росла на наших глазах - а мы меняли ей прикус планомерно. Обдуманно, контролируемо - с 13 лет до 15.

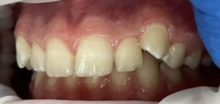
Изначальный запрос был на устранение выпирающих клыков на верхней челюсти:

Цифровой слепок челюстей перед ортодонтическим вмешательством
Цифровой слепок челюстей перед ортодонтическим вмешательством

Слава цифровым слепкам, а то с фотографиями у нас в те времена были большие проблемки, смазанное нечто имеется. Ладно, покажу и фото:

Но вот просто взять и переместить клыки, не затрагивая другие зубы - скажем так, задача фантастическая. Не получится. Да и тут всё требовало переработки - дистальный прикус, узкая нижняя челюсть, зубы завалены на верхней челюсти нёбно, на нижней язычно. Одна ветвь нижней челюсти длиннее другой, к тому же.

Большой кейс! Больше 40 капп. Два года работы (с коррекцией). Подросток за это время вырос и это тоже нужно было учитывать. Детские кейсы отличаются от взрослых, они сложнее.

Из плюсов - обошлись без удаления четвёртых зубов, без минивинтов, без брекетов. Но с резинками - эластичные тяги стимулировали рост нижней челюсти (скачок роста), это работает только у детей и подростков.

Растущий организм - отдельная история. Подросток в 13 и в 15 - два разных человека. В капах должны быть заложены движения с поправкой на рост. Иногда, исправление прикуса у детей и подростков включает в себя несколько смен кап, от активных до тормозящих. Всё очень интересно.

-3

Почему важно учитывать суставы (ВНЧС) при исправлении прикуса (у всех)

Зубы - это система, их нельзя рассматривать по одиночке. Подвинешь один - подвинутся и остальные. А ещё есть важнейшее анатомическое образование - сустав, их в голове 2 и они очень сложны (не такие, как у собачки "клац-клац"). При перекосах челюстей о них думаем в первую очередь.

Иногда, картинно ровный прикус убивает суставы - он «правильный» по учебнику, но нефизиологичный для конкретного пациента.

План Ксении Владимировны Снитковой - расширить челюсти, выровнять ряды, нормализовать соотношение и поставить клыки на место. решено было идти по пути постепенной дистализации, перемещая каждый зуб постепенно и отдельно.

Сниткова Ксения Владимировна - исправление прикуса подростка на элайнерах

Основной этап длился 1.5 года, пациентка должна была носить резинки постоянно. Помним, что элайнеры нужно носить 22 часа в сутки, допуская нахождение без них всего лишь 2 часа в день. Лично мне, взрослому человеку, сложно соблюдать данное правило (и я его нарушаю) - а как там у подростков обстоят дела с дисциплиной, неведомо. Возможно, иногда лучше выбирать брекет-систему, тут уж от пациента мало что зависит, снять он их не сможет. Однако, эмаль данной девушки могла не пережить брекеты - очаги деминерализации присутствовали ещё до вмешательства, не хотелось усугубить ситуацию. Всё же, гигиена с элайнерами даётся проще.

Основной этап закончен, перешли к ревизии, так как ортодонту было до чего докопаться:

Коррекции заложены в стоимость данного кейса (он максимальный), работаем до результата.

После Ксения Владимировна хотела ещё докрутить верхние двойки, она точно страдает перфекционизмом усиленным. Но родители решили - результат отличный, теперь важнее решить вопрос деминерализации эмали. И это правильно. Девочка пойдёт на Icon в другую клинику, мы не лечим терапевтически людей до 18 лет.

Результаты лечения на элайнерах

Всё смыкается, всё жуётся, проблем нет (не шучу, не обманываю, не прикалываюсь):

Ровные зуб, правильное соотношение челюстей, здоровые суставы. Фундамент на всю жизнь.

Верх - ретейнер пока не устанавливали, установим после Icon:

До и после
До и после

Нижняя челюсть с ретейнером:

До и после
До и после

Корни не рассосались, кость осталась в норме, честно:

ОПТГ из КТ
ОПТГ из КТ

Когда прикус правильный - нагрузка распределяется равномерно. Зубы не истираются, дёсны не "уползают", суставы в норме. Оценить по достоинству проделанную работу можно будет лет через 20-30, когда у сверстников с неисправленной патологией прикуса проблемы будут, а у этой девушки (к тому моменту взрослой женщины) - нет.

-9

Вывод

Детский и подростковый возраст - идеальное время для исправления прикуса. Челюсти растут, зубы двигаются легче, можно использовать потенциал роста. То есть, можно растить челюсти правильно. Это не означает, что в 50 лет прикус исправить нельзя, это означает лишь то, что у юных людей больше возможностей для ортодонта.

Элайнеры, как я не устану писать и показывать, работают даже в сложных случаях. Условие одно - носить капы, резинки, всё то, что доктор прописал.

Работа ортодонта Снитковой Ксении Владимировны, которая хотела ещё докрутить и которой всегда хочется ещё лучше сделать. Кто тоже помешан на перфекционизме, записывайтесь.

Больше ортодонтических статей в подборке:

Ортодонтические варианты | Parodoctor | Дзен

Вопросы задавайте в моём Telegram-канале - там я их точно увижу и отвечу. В Дзене сотни комментариев под сотнями статей и я физически не успеваю всё мониторить - не смотрю и не отвечаю, никого не удаляю (все вопросы к Дзен, обиды направляйте площадке). В Telegram все вопросы в одном месте, удобно отвечать, можно фото прикрепить. Так что жду в тг:

Parodoctor

С уважением, Лежачёва Наталия Александровна, хирург-пародонтолог и главный врач стоматологии Parodent.