Найти в Дзене

Чёрные треугольники между зубами. Откуда они берутся и можно ли их убрать

Иногда ко мне приходит пациент с идеальной, на первый взгляд, улыбкой: зубы ровные, белые, прикус исправлен, ортодонтическое лечение позади. И он садится в кресло с одной фразой:
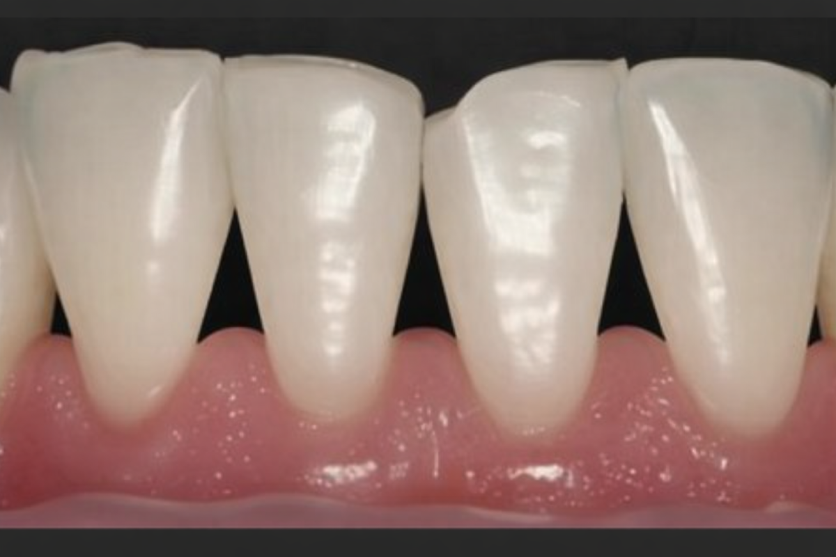
«Анна Александровна, всё хорошо… но вот эти чёрные дырочки между зубами сводят с ума. Мне казалось, после брекетов будет только лучше. Что пошло не так?» Эти «чёрные дырочки» - то, что мы называем чёрными треугольниками и это одна из самых неприятных эстетических проблем в зоне улыбки, потому что никакое отбеливание и никакие «голливудские» фильтры в телефоне их не прячут. Между зубами, в норме, находится десневой сосочек - треугольный участок десны, который заполняет пространство от края десны до точки контакта зубов. Когда всё в порядке, вы его почти не замечаете: зубы как будто плотно «прилегают» друг к другу, никакого «окна» на уровне десны нет. Чёрный треугольник - это ситуация, когда этот сосочек уменьшился в объёме или исчез, и между зубами на уровне десны появилось пустое пространство. Оно выглядит тём
Оглавление

Иногда ко мне приходит пациент с идеальной, на первый взгляд, улыбкой: зубы ровные, белые, прикус исправлен, ортодонтическое лечение позади.

И он садится в кресло с одной фразой:
«Анна Александровна, всё хорошо… но вот эти чёрные дырочки между зубами сводят с ума. Мне казалось, после брекетов будет только лучше. Что пошло не так?»

Эти «чёрные дырочки» - то, что мы называем чёрными треугольниками и это одна из самых неприятных эстетических проблем в зоне улыбки, потому что никакое отбеливание и никакие «голливудские» фильтры в телефоне их не прячут.

«Чёрные треугольники» - что это?

Между зубами, в норме, находится десневой сосочек - треугольный участок десны, который заполняет пространство от края десны до точки контакта зубов. Когда всё в порядке, вы его почти не замечаете: зубы как будто плотно «прилегают» друг к другу, никакого «окна» на уровне десны нет.

Чёрный треугольник - это ситуация, когда этот сосочек уменьшился в объёме или исчез, и между зубами на уровне десны появилось пустое пространство. Оно выглядит тёмным, почти чёрным, потому что за ним - глубина полости рта, куда не попадает свет.

Важно понимать: чёрный треугольник - это не просто “дырка между зубами”, а следствие того, что либо десна, либо кость (а чаще и то, и другое) уже потеряны.

Немного анатомии (от чего вообще зависит, будет треугольник или нет), здесь сходится несколько факторов:

Во-первых, форма зуба.
Мы привыкли говорить о трёх формах передних зубов: квадратная, овальная и треугольная.

У «квадратных» зубов коронка практически одинаковой ширины от режущего края до шейки - у таких зубов, при условии здоровой десны, чёрные треугольники возникают реже.

У «треугольных» зубов коронка заметно сужается к шейке - то есть в районе десны зуб уже. И даже небольшая потеря ткани десны сразу даёт видимый треугольный просвет.

Во-вторых, точка (а точнее - зона) контакта между зубами. Словосочетание «контактная точка» несколько обманчиво, в реальности это не точка в геометрическом смысле, а небольшая плоскость, и от того, где именно она расположена и какой длины, сильно зависит, сможет ли сосочек «закрыть» пространство или нет.

Если контакт слишком короткий и расположен высоко, ближе к режущему краю, а десна уже потеряла часть высоты - между зубами inevitably останется треугольное окно.

В-третьих, уровень кости между зубами. Десневой сосочек опирается не в воздух, а на межзубную костную перегородку, чем ниже ушла кость (при пародонтите или после длительного воспаления), тем меньше высота, которую может занять сосочек  и тем выше шанс получить чёрный треугольник.

-2

Основные причины:

1. Хроническое воспаление дёсен и пародонтит

Самая частая история, которую я вижу. Годы недостаточной гигиены, мягкий налёт между зубами, который никто не вычищает, минерализуется в камень. Камень постоянно давит на десну, вокруг него живут бактерии, выделяющие токсины.

Сначала десна реагирует воспалением: краснеет, отекает, кровит при чистке. Потом воспаление уходит глубже: начинает рассасываться кость между зубами, десневой сосочек теряет опору, «сползает» и уменьшается в объёме. И вот, между двумя зубами, которые раньше стояли «как один», появляется чёрный треугольник, иногда один, иногда целый ряд.

2. Ортодонтическое лечение (особенно у взрослых)

Здесь важно сразу сказать честно: брекеты сами по себе сосочек не “съедают”.

Что происходит на практике:
- при скученности зубы «наслаиваются» друг на друга, их коронки закрывают межзубное пространство, и реальную высоту сосочка и уровень кости оценить сложно. Когда ортодонт выравнивает зубной ряд, зубы занимают анатомически правильное положение… и то, что раньше было спрятано, становится видно: тонкие треугольные зубы + уже сниженный уровень кости + контакт высоко, итог - чёрный треугольник.

Отдельная история - пациенты с уже имеющимся пародонтитом, которых сразу отправляют на брекеты без стабилизации десны. В таких случаях вероятность треугольников после лечения очень высока.

3. Особая форма зубов и контактных поверхностей

У людей с явно треугольной формой передних зубов даже при здоровом пародонте риск появления чёрных треугольников выше.

Если при этом реставрации (пломбы, виниры) выполнены так, что контактная область короткая и расположена слишком коронально, сосочку просто не хватает высоты, чтобы заполнить пространство.

Иногда проблему создаём мы, врачи, когда на пломбе или коронке не формируем правильный контакт и рельеф.

4. Травматичная гигиена

Парадокс: из желания «почистить лучше» пациенты иногда буквально вычищают себе сосочек. Жёсткие щётки, агрессивная работа ёршиками или зубной нитью, постоянная травма одной и той же области - в результате мягкая ткань истончается и уходит.

5. Сочетание факторов

На практике почти всегда это не одна, а комбинация причин: возраст, хроническое воспаление, особенности формы зубов, перенесённое ортодонтическое лечение, ошибки в реставрациях, травматичная гигиена.

Это только эстетика или есть риски для здоровья?

Для пациента чёрные треугольники - это в первую очередь про внешний вид: улыбка кажется «дырявой», в щели забивается пища, иногда появляется лёгкое шипящее дыхание при речи, человек начинает стесняться крупным планом улыбаться на фото.

Но для врача это ещё и маркер перенесённой или текущей болезни пародонта:

- значит, уже была потеря кости между зубами;

- значит, десна работала в режиме хронического воспаления;

- значит, нагрузка на оставшуюся кость распределяется иначе, и прогноз соседних зубов тоже меняется.

Поэтому чёрные треугольники - это не категория «ой, да это просто некрасиво», а повод разобраться, на каком этапе была потеря тканей и остановлен ли процесс сейчас.

Можно ли убрать чёрные треугольники полностью?

Самый честный ответ: иногда - да, иногда - частично, иногда - получается только аккуратно замаскировать. Универсального решения нет.Тактика всегда зависит от того, что именно потеряно: кость, десна, контактная площадь зубов - или всё вместе.

-3

Шаг 1. Порядок с пародонтом - зона ответственности вашего лечащего врача

Любая работа с формой зубов или с десной не имеет смысла, если в зоне чёрного треугольника продолжается воспаление. Этим блоком в моей команде занимается пародонтолог, который ведёт вас постоянно. Его задача:

- провести полноценную диагностику пародонта (зондирование, рентген, при необходимости КЛКТ);

- убрать камень и мягкий налёт, научить гигиене;

- стабилизировать воспаление, вылечить гингивит/пародонтит, если они есть.

И только когда пародонтолог говорит: «Воспаления нет, ткани стабилизированы», мы возвращаемся к вопросу, что можно сделать с самим треугольником и есть ли там хирургическая задача.

Шаг 2. Работа с формой зубов - ортодонт и ортопед

Во многих случаях часть проблемы решается без хирургии, за счёт изменения формы коронок и точки контакта, это уже зона ответственности ортодонта и ортопеда/терапевта.

Какие варианты могут обсуждаться:

- тонкая шлифовка боковых поверхностей и последующая коррекция положения зубов (ортодонтическая сепарация + движение зубов так, чтобы контактная область «спустилась» ниже);

- реставрация композитом с формированием более длинной контактной зоны - когда материалом аккуратно «достраивают» зуб в нужной части;

- виниры в эстетически сложных случаях, когда есть дополнительные показания (форма, цвет, сколы).

Моя роль здесь - оценить риски для десны и кости, подсказать коллегам, где проходит граница «можно» и «опасно для пародонта». Я не делаю реставрации и сепарацию, но всегда смотрю на них глазами хирурга по мягким тканям.

Шаг 3. Моя зона - хирургия мягких тканей

Если есть выраженная рецессия, десна сильно ушла, оголены шейка и корень зуба, мы можем обсуждать хирургические варианты:

- пластические операции на мягких тканях, пересадка трансплантата с нёба или из соседней зоны, микрохирургические техники увеличения объёма сосочка;

- в отдельных, очень локальных случаях - малоинвазивные методики увеличения объёма мягких тканей (например, с использованием гиалуроновой кислоты, если анатомия это позволяет и мы понимаем ограничения такого подхода).

Здесь моя задача - быть максимально деликатной к тканям и честной к прогнозу. Хирургия мягких тканей - это не волшебная кнопка «как было раньше», а работа в тех условиях, которые нам диктует анатомия.

Даже при безупречной технике мы опираемся на то, что есть:
если кость между зубами уже значительно утрачена, точка контакта стоит слишком высоко, а межзубная перегородка не может «поддержать» достаточный объём десны, вернуть сосочек к тому виду, который был до болезни, чаще всего невозможно.

В таких случаях цель операции  улучшить контур, защитить ткани, сделать улыбку мягче и комфортнее, насколько это позволяет конкретная клиническая ситуация.

Чёрные треугольники - это всегда про историю ваших тканей: сколько лет десна жила в состоянии воспаления, как давно была утрачена кость, что с зубами делали раньше и как за ними ухаживали.Когда мы это честно признаём, становится проще и с ожиданиями, и с решениями.

Моя задача как хирурга мягких тканей не обещать «идеальную картинку», а:

- улучшить контур и эстетику настолько, насколько позволяет анатомия;

- закрыть уязвимые зоны и защитить оголённые участки корней;

- стабилизировать ситуацию, чтобы завтра не стало хуже, чем сегодня.

И, как показывает практика, когда у пациента есть понимание почему появились чёрные треугольники и что реально можно сделать в его случае, на смену раздражению и разочарованию приходит другое чувство - ощущение, что есть план и есть команда, которая знает, что делает.

А дальше мы просто идём по этому плану шаг за шагом.