Найти в Дзене
Прайм-Стоматология

До и после: как ZOOM 4 меняет улыбки наших пациентов

Отбеливание — одна из самых популярных процедур в эстетической стоматологии. Однако вокруг вокруг неё ходит множество мифов: одни пациенты боятся, что улыбка станет неестественно белой, другие — что эффект окажется слишком слабым. Мифам про отбеливание мы посвятили отдельную статью, читайте здесь. Конечно, результат отбеливания зависит от множества факторов, включая индивидуальные особенности эмали, образ жизни и исходный оттенок зубов🦷. В этой статье мы хотим показать вам, как на самом деле выглядят зубы реальных пациентов после процедуры, которые, как и многие, мечтали об уверенной и сияющей улыбке! 📍 Кейс 1. Пациент Марковой Елены Валерьевны — ведущего врач-стоматолога, специалиста по лечению зубов под микроскопом, эстетическим реставрациям и отбеливанию клиники ПРАЙМ. Пациент П. Обратился в ПРАЙМ с жалобой на тусклый и неравномерный оттенок зубов. После проведения профессионального отбеливания с использованием передовой системы ZOOM 4 WhiteSpeed его улыбка стала заметно светлее

Отбеливание — одна из самых популярных процедур в эстетической стоматологии. Однако вокруг вокруг неё ходит множество мифов: одни пациенты боятся, что улыбка станет неестественно белой, другие — что эффект окажется слишком слабым.

Мифам про отбеливание мы посвятили отдельную статью, читайте здесь.

Конечно, результат отбеливания зависит от множества факторов, включая индивидуальные особенности эмали, образ жизни и исходный оттенок зубов🦷.

В этой статье мы хотим показать вам, как на самом деле выглядят зубы реальных пациентов после процедуры, которые, как и многие, мечтали об уверенной и сияющей улыбке!

Доктора клиник ПРАЙМ работают с ZOOM 4 White Speed — это последнее поколение знаменитой системы профессионального отбеливания зубов Philips Zoom
Доктора клиник ПРАЙМ работают с ZOOM 4 White Speed — это последнее поколение знаменитой системы профессионального отбеливания зубов Philips Zoom

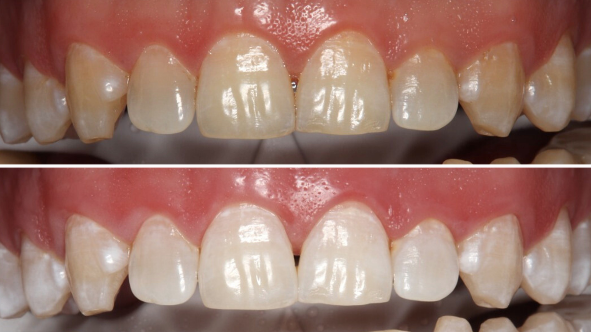
📍 Кейс 1. Пациент Марковой Елены Валерьевны — ведущего врач-стоматолога, специалиста по лечению зубов под микроскопом, эстетическим реставрациям и отбеливанию клиники ПРАЙМ.

Пациент П. Обратился в ПРАЙМ с жалобой на тусклый и неравномерный оттенок зубов. После проведения профессионального отбеливания с использованием передовой системы ZOOM 4 WhiteSpeed его улыбка стала заметно светлее и по-настоящему сияющей — без ущерба для здоровья эмали!

Сеть клиник ПРАЙМ тщательно следит за соблюдением протоколов отбеливания: обязательно проводится правильная подготовка, укрепляется эмаль, чтобы процедура прошла максимально комфортно и принесла отличный результат. А после процедуры доктора выдают подробные рекомендации, чтобы белоснежная улыбка радовала Вас, как можно дольше!

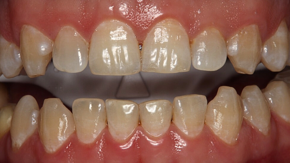
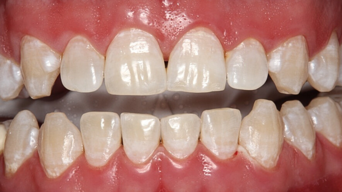
📍 Кейс 2. Пациент Заичкиной Павлины Евгеньевны — ведущего врача-стоматолога, специалиста по лечению зубов под микроскопом, эстетическим реставрациям и отбеливанию клиники ПРАЙМ.

Пациента М. не устраивала эстетика зоны улыбки: его беспокоили скол на переднем зубе и неравномерный оттенок эмали. Поэтому он обратился в ПРАЙМ к Павлине Евгеньевне, которая провела эстетическую реставрацию и профессиональное отбеливание с использованием системы ZOOM 4 White Speed. Результат превзошёл ожидания пациента — теперь он улыбается с уверенностью!

Если вы давно мечтаете о сияющей улыбке — не откладывайте отбеливание на потом. Запишитесь на консультацию к врачам сети ПРАЙМ уже сегодня!

Единый номер сети клиник — (4912)292-000.

_________________________________

Наши клиники в г. Рязань:

◾ Есенина, 110

◾ Советской армии, 9

◾ Бирюзова, 28а

◾ Интернациональная, 23

◾ Полетаева, 34 (клиника корпоративного университета)

https://www.prime-med.ru/