Найти в Дзене
Parodoctor

Делаем "All-on-4", планируем "All-on-6" - поэтапная имплантация при тотальной атрофии на верхней челюсти

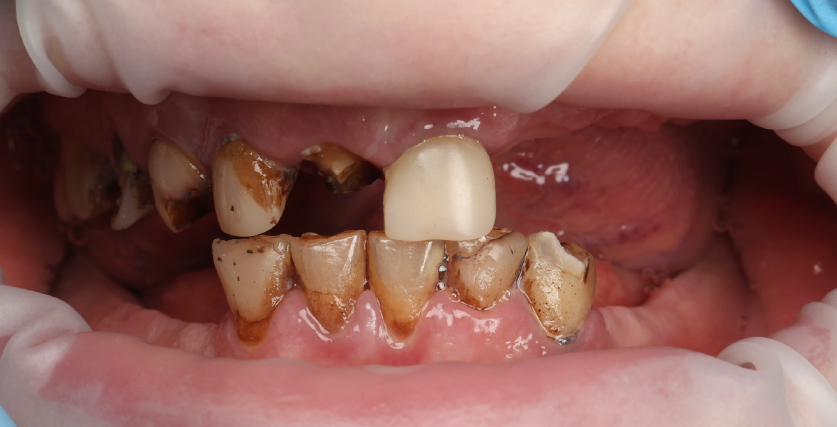
Если посмотреть на фото зубов "до", любому станет понятно - всё плохо. Но мы попытались найти варианты спасения, не рубили "с плеча", ведь первичная картика может быть очень обманчивой. Ортопед долго продумывал план. Даже предложил вариант - какой-никакой, но вариант. С оговоркой: - "Это может продержаться очень недолго. Работа бесперспективная, но если хотите попробовать... То, может быть... Но, моя искренняя, настоятельная рекомендация - сходите к ХИРУРГУ". И был услышан. Хирург согласился с опасениями ортопеда. На верхней челюсти спасать нечего. Зубы разрушены критически: На КТ картина не лучше: Мало того, что зубы никуда не годятся, так ещё и кости для полноценной имплантации жевательнойгруппы зубов нет: Гайморовы пазухи огромные (пневматические). Опустились так низко, что, местами, до них всего несколько несчастных мм кости. Работа намечается интереснаи и нестандартная, как и у всех наших пациентов (поэтому и делиться клиническими случаями каждый раз интересно). Предложение хиру
Оглавление

Если посмотреть на фото зубов "до", любому станет понятно - всё плохо. Но мы попытались найти варианты спасения, не рубили "с плеча", ведь первичная картика может быть очень обманчивой.

Ортопед долго продумывал план. Даже предложил вариант - какой-никакой, но вариант. С оговоркой: - "Это может продержаться очень недолго. Работа бесперспективная, но если хотите попробовать... То, может быть... Но, моя искренняя, настоятельная рекомендация - сходите к ХИРУРГУ".

И был услышан.

Диагностика - между плохо и очень плохо

Хирург согласился с опасениями ортопеда. На верхней челюсти спасать нечего. Зубы разрушены критически:

-2

На КТ картина не лучше:

Мало того, что зубы никуда не годятся, так ещё и кости для полноценной имплантации жевательнойгруппы зубов нет:

Дефицит костной ткани в области пазухи
Дефицит костной ткани в области пазухи

Гайморовы пазухи огромные (пневматические). Опустились так низко, что, местами, до них всего несколько несчастных мм кости.

Работа намечается интереснаи и нестандартная, как и у всех наших пациентов (поэтому и делиться клиническими случаями каждый раз интересно).

Планирование оперативного вмешательства

Предложение хирурга было нестандартным, но логичным.

  1. Первый этап - удалить 5 фронтальных зубов на верхней челюсти, а один жевательный зуб оставить. Во фронтальном отделе ещё осталась кость для имплантации. Поставить 4 имплантата по протоколу "All-on-4". Сделать временный протез на всю челюсть (короткий).
  2. Второй этап - через несколько месяцев (4-6) провести синус-лифтинги в боковых отделах с двух сторон. Нарастить кость там, где её критически не хватает для восстановления жевательных зубов.
  3. Третий этап - через 4-6 месяцев после каждого синус-лифтинга установить дополнительные имплантаты в боковые отделы. Превратить "All-on-4" в "All-on-6".

От птеригоидных имплантатов решили отказаться в этот раз. Обычно они спасают при дефиците кости, позволяют избежать синус-лифтинга или минимизировать его. Но тут пазухи настолько огромные, а кости настолько мало, что без масштабного синус-лифтинга всё равно никуда. Проще нарастить кость и поставить короткие имплантаты с широкими лопастями.

Операция - "All-on-4" с иммедиат-протезом при дефиците тканей

Подготовка в полном цифровом протоколе. КТ, внутриротовое сканирование, моделирование техником-цифровиком, подбор имплантатов хирургом. Поскольку прикус не фиксирован (зубы разрушены, высота прикуса потеряна), использовали специальные скан-маркеры и нёбные маячки для точного позиционирования, делали КТ:

КТ со сканмаркерами и маячками
КТ со сканмаркерами и маячками

Напечатали хирургические шаблоны.

День операции. Удалили фронтальные зубы - они вышли легко, как молочные. Установили 4 имплантата строго по шаблону:

Проверили первичную стабильность (торки) "Пингвином" - отлично всё.

Сразу установили иммедиат-протез:

-7

Работа с дефицитом десны

Отдельная проблема - катастрофический дефицит тканей. Десна атрофировалась вместе с костью. Если оставить как есть, вокруг имплантатов не будет защитного барьера.

Взяли соединительнотканный трансплантат с нёба:

-8

Большой лоскут, но и дефицит большой. Подшили кое-где к десне в области некоторых имплантатов.

Слизистую подшили прямо к протезу (на фото выше можно увидеть этот финт). Да, это выглядит странно - десна пришита к пластмассе. Но так может сформироваться более правильный контур. Протез типа FP1 - только "зубы" без розовой пластиковой десны. Вся десна своя, живая - природоподобие, доступное тем, кто не потерял большой объём кости по высоте.

В будущем, возможно, потребуются дополнительные пластики. Но это решим по ситуации.

Временный адаптационный проез длительного ношения с индивидуальной титановой балкой

Через неделю после операции сняли иммедиат-протез и установили новый, усиленный индивидуальной титановой балкой и сделанный из более прочного материала. Балка обеспечивает жёсткость конструкции, не даёт имплантатам сместиться даже минимально.

Не фотографировали сразу - было много крови. Слизистую опять подшивали к протезу, формировали контуры.

Через неделю на контроле сфотографировали:

-9

Виден тёмный налёт от полосканий антисептиками:

-10

Слизистая, местами, просела, но это тоже ожидаемо в данном случае. Либо ткани адаптируются и опустятся сами (часто бывает при протезах FP1), либо сделаем пластику позже.

Дальнейший план

Сейчас человек ходит с "All-on-4" на верхней челюсти, протез короткий (по технологии так надо).

Через вемя - синус-лифтинги, нужны с 2 сторон. Поднимем дно гайморовых пазух.

Далее, после приживления синусов - установка дополнительных имплантатов. Планируем Any Ridge - это корейские имплантаты с широкими лопастями, но короче стандартных. Хорошо удерживаются в кости.

В финале "All-on-4" превратится в "All-on-6". Нагрузка распределится равномернее, конструкция станет надёжнее.

На нижней челюсти фронтальные зубы остаются свои. Там другая проблематика, другие решения.

Лечение будет долгим и сложным. Когда-нибудь поделюсь этапами или финальным результатом. Но это отдельная эпопея.

Вывод

В добрый путь! Каждая патология - уникальна и требует индивидуального подхода.

Больше наших тотальных работ в подборке:

Тотальные работы на имплантатах. | Parodoctor | Дзен

Вопросы задавайте в моём Telegram-канале - там я их точно увижу и отвечу. В Дзене сотни комментариев под сотнями статей и я физически не успеваю всё всегда мониторить. В Telegram все вопросы в одном месте, удобно отвечать, можно фото прикрепить. Так что жду в тг:

Parodoctor

С уважением, Лежачёва Наталия Александровна, хирург-пародонтолог и главный врач стоматологии Parodent, СПб.