Добавить в корзину
Позвонить
Найти в Дзене
Войти
Международная Школа Цитологии и Медицинская Школа Инноваций
55 подписчиков
Подписаться
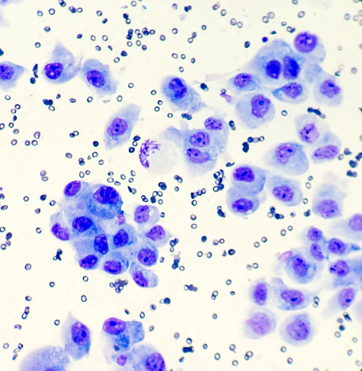
Митотическая фигура при аденокарциноме лёгкого
16 декабря 2025
16 дек 2025
~1 мин
Митотическая фигура при аденокарциноме лёгкого. Объектив 40x. #цитология #легкое #митоз
Митотическая фигура при аденокарциноме лёгкого. Объектив 40x. #цитология #легкое #митоз
...
Читать далее
Митотическая фигура при аденокарциноме лёгкого.
Объектив 40x.
#цитология #легкое #митоз
Здоровье и медицина
3,97 млн интересуются
Следить за темой
97534251.1338.1775906758680.26276