Добавить в корзинуПозвонить
Найти в Дзене
Екатерина Ляпина

Шесть месяцев без аппарата — результат стабилен

! Полгода назад мы сняли расширяющий аппарат с верхней челюсти у нашего маленького пациента. 🌼 Сегодня на контрольном осмотре вижу отличную картину: верхняя челюсть сохранила свою ширину, никакого рецидива не произошло!💫 Это именно то, чего мы добивались при лечении — стабильный результат, который сохраняется после снятия аппарата.🍾 Теперь наш план простой: контрольные осмотры раз в полгода и наблюдение за тем, как красиво прорезываются постоянные зубы🦷 В детской ортодонтии очень важно не только получить нужный результат, но и удержать его. Поэтому такие контрольные визиты — неотъемлемая часть лечения. Родители часто спрашивают: «А вдруг всё вернётся назад?» Вот наглядный пример того, что при правильном подходе результат остаётся стабильным. Помните: завершение активного лечения не означает полное окончание наблюдения. Контроль динамики — залог долгосрочного успеха! 🫡 Как проходят контрольные визиты у ваших детей после ортодонтического лечения? Показываетесь ортодонту? 🌸

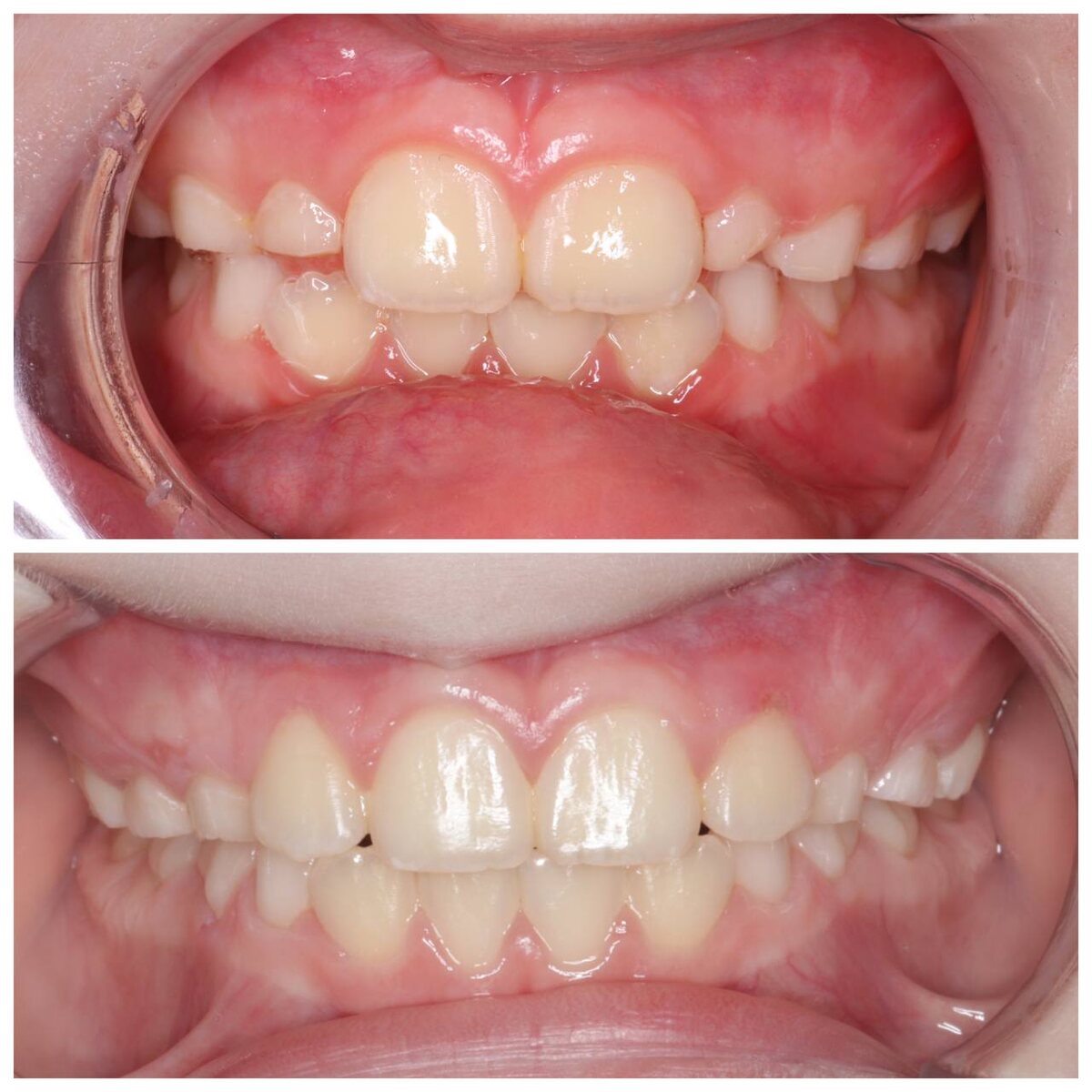
Шесть месяцев без аппарата — результат стабилен!

Полгода назад мы сняли расширяющий аппарат с верхней челюсти у нашего маленького пациента. 🌼

Сегодня на контрольном осмотре вижу отличную картину: верхняя челюсть сохранила свою ширину, никакого рецидива не произошло!💫

Это именно то, чего мы добивались при лечении — стабильный результат, который сохраняется после снятия аппарата.🍾

Теперь наш план простой: контрольные осмотры раз в полгода и наблюдение за тем, как красиво прорезываются постоянные зубы🦷

В детской ортодонтии очень важно не только получить нужный результат, но и удержать его. Поэтому такие контрольные визиты — неотъемлемая часть лечения.

Родители часто спрашивают: «А вдруг всё вернётся назад?» Вот наглядный пример того, что при правильном подходе результат остаётся стабильным.

Помните: завершение активного лечения не означает полное окончание наблюдения. Контроль динамики — залог долгосрочного успеха! 🫡

Как проходят контрольные визиты у ваших детей после ортодонтического лечения? Показываетесь ортодонту? 🌸

-2