Найти в Дзене

Протезирование после онкологии и удаления

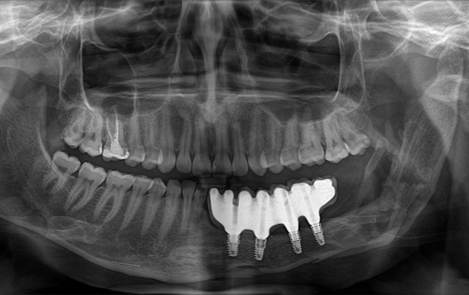
Мы показывали вам протезирование после травмы. Показываем протезирование после онкологии и удаления челюстей. Протезирование после удаления фрагмента челюсти — это огромная сложность. Заключается в том, что постоянное протезирование на имплантате возможно при условии, что мы можем установить в трансплантированную кость импланты. Что достаточно её объема. Помимо этого, ещё высок риск отторжения самой кости или имплантатов. Что касается создания прикуса, никакой протез не будет соответствовать по форме удаленной нижней челюсти на 100%. То есть у нас получается "какая-то" челюсть. Благодаря специальной предоперационной подготовке и послеоперационной реабилитации — не сместившаяся в сторону дефекта и сохранившая центральную линию. Вот в таких сложных условиях, нам удалось создать прекрасную красивую улыбку и функциональный прикус (не смотря на небольшой перекрест, зубы не задевают и не травмируют друг друга и активно участвуют в пережевывании пищи) нашей пациентке.

Мы показывали вам протезирование после травмы.

Показываем протезирование после онкологии и удаления челюстей.

Протезирование после удаления фрагмента челюсти — это огромная сложность. Заключается в том, что постоянное протезирование на имплантате возможно при условии, что мы можем установить в трансплантированную кость импланты. Что достаточно её объема. Помимо этого, ещё высок риск отторжения самой кости или имплантатов.

Что касается создания прикуса, никакой протез не будет соответствовать по форме удаленной нижней челюсти на 100%. То есть у нас получается "какая-то" челюсть. Благодаря специальной предоперационной подготовке и послеоперационной реабилитации — не сместившаяся в сторону дефекта и сохранившая центральную линию.

-2
-3

Вот в таких сложных условиях, нам удалось создать прекрасную красивую улыбку и функциональный прикус (не смотря на небольшой перекрест, зубы не задевают и не травмируют друг друга и активно участвуют в пережевывании пищи) нашей пациентке.