Добавить в корзинуПозвонить
Найти в Дзене
Доктор Колязина

Лейкоариоз на МРТ: Что делать? Пошаговая инструкция

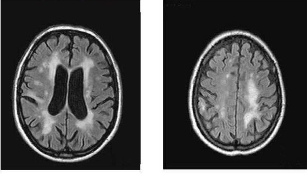
Если в заключении МРТ головного мозга вы увидели слово «лейкоариоз» (или «перивентрикулярный лейкоариоз»), не паникуйте. Это не приговор, а важный сигнал, который говорит об изменении белого вещества мозга. Чаще всего это признак нарушения кровоснабжения мелких сосудов. Ваша главная задача сейчас — не игнорировать эту находку, а выяснить ее причину и взять под контроль. Действуйте последовательно. Шаг 1: Правильный врач для старта Первичным специалистом, который поможет составить план, должен быть невролог (желательно, имеющий специализацию по сосудистым заболеваниям или когнитивным нарушениям). *   Почему невролог? Потому что лейкоариоз чаще всего связан с неврологическими проблемами: хронической ишемией мозга, риском инсульта, когнитивными изменениями. *   Что взять с собой на прием?    *   Диск и заключение МРТ.    *   Все свои медицинские документы (выписки, анализы).    *   Список текущих лекарств.    *   Заранее сформулированные жалобы (есть ли головокружение, шум в ушах, ша

Если в заключении МРТ головного мозга вы увидели слово «лейкоариоз» (или «перивентрикулярный лейкоариоз»), не паникуйте. Это не приговор, а важный сигнал, который говорит об изменении белого вещества мозга. Чаще всего это признак нарушения кровоснабжения мелких сосудов.

Ваша главная задача сейчас — не игнорировать эту находку, а выяснить ее причину и взять под контроль. Действуйте последовательно.

Шаг 1: Правильный врач для старта

-2

Первичным специалистом, который поможет составить план, должен быть невролог (желательно, имеющий специализацию по сосудистым заболеваниям или когнитивным нарушениям).

*   Почему невролог? Потому что лейкоариоз чаще всего связан с неврологическими проблемами: хронической ишемией мозга, риском инсульта, когнитивными изменениями.

*   Что взять с собой на прием?

   *   Диск и заключение МРТ.

   *   Все свои медицинские документы (выписки, анализы).

   *   Список текущих лекарств.

   *   Заранее сформулированные жалобы (есть ли головокружение, шум в ушах, шаткость, ухудшение памяти, внимания, изменения в настроении?).

Шаг 2: Какие анализы и обследования нужны (будьте готовы, что врач может их назначить)

-3

Цель — найти причину поражения сосудов. Основные «мишени» для проверки:

1. Оценка сосудистого риска («золотой стандарт»):

*   Анализы крови: общий анализ крови, липидный профиль (холестерин, ЛПНП, ЛПВП, триглицериды), глюкоза крови и гликированный гемоглобин(исключить диабет), коагулограмма.

*   Контроль давления: необходимо суточное мониторирование артериального давления (СМАД), так как разовые замеры часто не отражают реальной картины.

*   УЗИ сосудов шеи (брахиоцефальных артерий) — чтобы оценить кровоток к мозгу и наличие атеросклеротических бляшек.

*   ЭКГ и консультация кардиолога— для выявления аритмий (особенно фибрилляции предсердий), гипертонии, которые являются главными причинами проблем с сосудами мозга.

2. Исключение других причин:

*   При подозрении на воспалительный или аутоиммунный процесс врач может назначить дополнительные анализы (например, на маркеры воспаления).

*   Если есть нехарактерные симптомы, могут потребоваться дообследования (ЭЭГ, МРТ в другом режиме).

Шаг 3: Что обсудить с врачом? Ключевые вопросы

-4

Чтобы консультация была максимально продуктивной, спросите невролога:

1.  О локализации и степени: «Насколько выражен лейкоариоз по шкале Fazekas (1, 2 или 3 степень)? Он вокруг желудочков или более диффузный?» Это говорит о серьезности изменений.

2.  О вероятной причине: «Как вы считаете, с чем в моем случае это связано скорее всего? С гипертонией, атеросклерозом, другими причинами?»

3.  О рисках: «На что конкретно мне стоит обратить внимание? Повышает ли это находка риск инсульта или когнитивного снижения?»

4.  О лечении и профилактике: Это самый важный блок.

   *   Немедикаментозное: «Какая диета (например, DASH или низкоуглеводная) мне подходит? Какие физические нагрузки (ходьба, плавание) и с какой интенсивностью безопасны и полезны?»

   *   Медикаментозное: «Нужны ли мне препараты для контроля давления, статины (для снижения холестерина), антиагреганты (например, аспирин для «разжижения» крови)?»

5.  О наблюдении: «Как часто мне нужно повторять МРТ и посещать вас? Какие «тревожные звоночки» требуют внепланового визита?»

Краткий алгоритм-памятка:

-5

1.  Запись к неврологу с диском МРТ.

2.  Обследование у кардиолога/терапевта: СМАД, ЭКГ, УЗИ сосудов шеи.

3.  Сдача анализов: липиды, сахар, гликированный гемоглобин, общий анализ крови.

4.  Комплексный разбор результатов со всеми специалистами.

5.  Назначение индивидуальной терапии (образ жизни + лекарства).

6.  Регулярное динамическое наблюдение (раз в 6-12 месяцев).

Важно: Лейкоариоз — это повод серьезно заняться здоровьем своих сосудов. Во многих случаях своевременная коррекция давления, холестерина и образа жизни позволяет значительно замедлить прогрессирование изменений и сохранить ясность ума и качество жизни на долгие годы.

Будьте proactive! Эта находка — ваш шанс повлиять на здоровье мозга в будущем.

---

P.S. Информация носит ознакомительный характер и не заменяет консультации врача. Все назначения должен делать специалист на основе полной клинической картины.