Найти в Дзене

Разбираем клинический случай

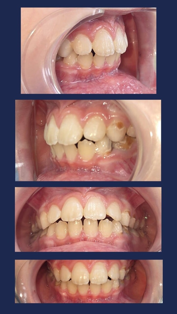
⭕️ Коллеги, приветствуем! Сегодня будем разбирать клинический случай, которым поделилась Врач Жеймо Светлана Ивановна Пациент: Девочка, 9 лет Анамнез: Пациентка с задержкой психо-речевого развития (ЗПРР). Направлена нейрофизиологом и остеопатом. Запрос смежных специалистов: Расширение верхней челюсти для нивелирования внутрикостных компрессий черепа и улучшения краниальной ритмики. Клиническая картина и сложности: Привычное ротовое дыхание (рот постоянно открыт).⠀ Сложность: Пациентка неконтактна для проведения диагностических процедур — снятие слепков невозможно из-за поведенческих особенностей. Тактика лечения: Учитывая невозможность снятия оттисков, мы отказались от изготовления индивидуальных аппаратов в пользу стандартных миофункциональных корректоров. Этапы терапии:⠀ — Коррекция миофункциональных нарушений: Борьба с вредными привычками (ротовое дыхание, положение языка). В работе применялся корректор Habit corrector⠀ — Активное лечение: Переход на Occlus-o-guide для дальней

⭕️ Коллеги, приветствуем! Сегодня будем разбирать клинический случай, которым поделилась Врач Жеймо Светлана Ивановна

Пациент:

Девочка, 9 лет

Анамнез:

Пациентка с задержкой психо-речевого развития (ЗПРР). Направлена нейрофизиологом и остеопатом.

Запрос смежных специалистов:

Расширение верхней челюсти для нивелирования внутрикостных компрессий черепа и улучшения краниальной ритмики.

Клиническая картина и сложности:

Привычное ротовое дыхание (рот постоянно открыт).⠀

Сложность:

Пациентка неконтактна для проведения диагностических процедур — снятие слепков невозможно из-за поведенческих особенностей.

-2
-3

Тактика лечения:

Учитывая невозможность снятия оттисков, мы отказались от изготовления индивидуальных аппаратов в пользу стандартных миофункциональных корректоров.

Этапы терапии:⠀

— Коррекция миофункциональных нарушений: Борьба с вредными привычками (ротовое дыхание, положение языка). В работе применялся корректор Habit corrector

— Активное лечение: Переход на Occlus-o-guide для дальнейшей коррекции прикуса и положения зубов.⠀

📌 Если вы тоже хотите поделиться своими результатами и опытом использования нашей продукцией, отметьте нас в своем посте хештегом #omegaorthoкс или присылайте нам свои работы.⠀

📞 Телефон: +7 (911) 705-62-22

✉️ E-mail: spb@omega-ortho.ru⠀

#omegaortho #omegaorthoкс #omegaorthoinfo #клиническийслучайomegaortho #geniusmetal #memdental