Добавить в корзинуПозвонить
Найти в Дзене

Кот и Пёс в очень сложной ситуации. СРОЧНО нужна помощь 🙏🙏🙏

Здравствуйте, дорогие друзья! Вчера свозили в клинику Ласку и Пончика. Огромное вам спасибо за помощь в оплате приема! У Ласки застарелый перелом одной лапы. На второй лапе перелом свежий, воспаление, болезненный отек. В понедельник нужно везти на операцию. Пончик. У пончика снизился аппетит. Решили его тоже показать доктору. У мальчика колит. Назначено лечение. Лечить будем в приюте и парень перемещается из вольера в нашу дружную компанию к Алтану, Риске, Черному и остальным. Визит к врачу обошелся приюту почти в 5000 рублей. КРУПА. Сегодня на крупяном складе пусто. Лена упросила поставщика привезти нам крупу. Он пообещал поставить сегодня, но с условием, что мы погасим долг за 2 дня. На крупу за 2 дня нужно собрать 71 000 рублей. Зарплата. Сегодня день Х. День, когда производится расчет с ребятами за отработанную неделю. Я уже писала, что сегодня к выплате 89 500 рублей. На нашей сборной карте сейчас 37 882,79 рублей. Нам предстоит собрать 123 тысячи рублей.🙈 И помогай нам
Оглавление

Здравствуйте, дорогие друзья!

Вчера свозили в клинику Ласку и Пончика.

Огромное вам спасибо за помощь в оплате приема!

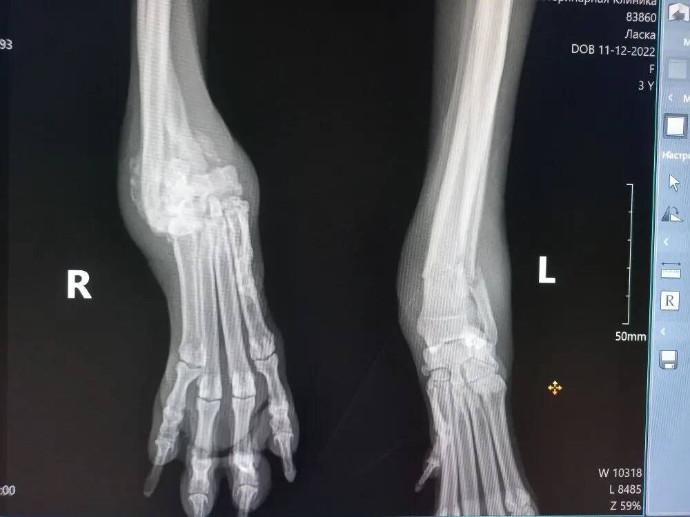
У Ласки застарелый перелом одной лапы. На второй лапе перелом свежий, воспаление, болезненный отек.

-2
-3

В понедельник нужно везти на операцию.

Пончик.

У пончика снизился аппетит. Решили его тоже показать доктору.

-4
-5

У мальчика колит. Назначено лечение. Лечить будем в приюте и парень перемещается из вольера в нашу дружную компанию к Алтану, Риске, Черному и остальным.

-6

Визит к врачу обошелся приюту почти в 5000 рублей.

-7

КРУПА.

Сегодня на крупяном складе пусто.

Лена упросила поставщика привезти нам крупу. Он пообещал поставить сегодня, но с условием, что мы погасим долг за 2 дня.

На крупу за 2 дня нужно собрать 71 000 рублей.

Зарплата.

Сегодня день Х. День, когда производится расчет с ребятами за отработанную неделю.

Я уже писала, что сегодня к выплате 89 500 рублей.

На нашей сборной карте сейчас 37 882,79 рублей.

-8

Нам предстоит собрать 123 тысячи рублей.🙈

И помогай нам, Бог 🙏

Помочь приюту можно следующим образом:

Принимаем от Вас посылки:
Wildberries - Улан-Удэ ул. Камова д. 3
Ozon - Улан-Удэ ул. Королёва д. 14
телефон для смс 983-452-37-98

-9

Карта Т-Банка (Тинькофф) 2200 7017 7182 6838
На имя Любовь Вячеславовна Г.
Карта привязана к телефону 983-452-37-98

Карта Т-Банка копилка на вольеры
2200 7017 7066 9205
На имя Галина Владимировна З.
Карта привязана к телефону 985-955-93-35

!!! По возможности пишем:
"На помощь животным" или
"Добровольное пожертвование"

КНОПКА для пожертвований

Помощь через donationalerts

Мы на RuTube

Мы в МАХ

Мы в Telegram

Мы в WhatsApp

Мы в ВКонтакте

👍 👍 👍 Ставьте лайки 👍 👍 👍

🔁Делайте репосты наших статей🔁

🙏 Спасибо всем огромное 🙏