Добавить в корзинуПозвонить
Найти в Дзене

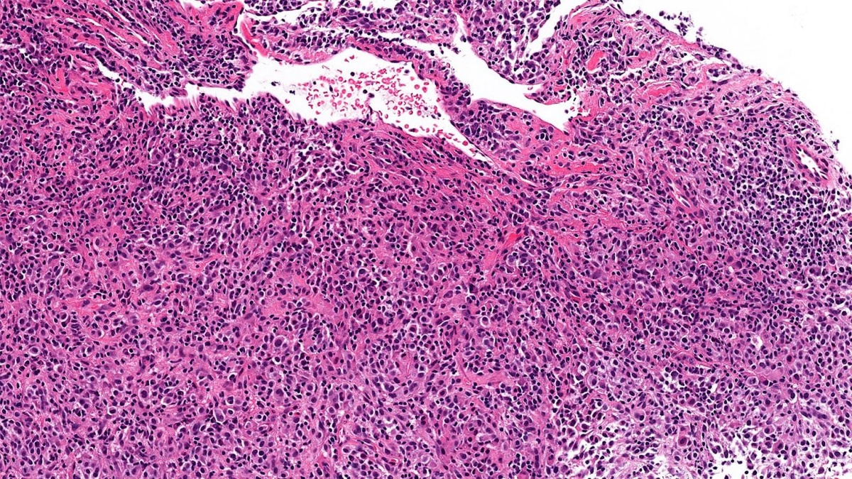
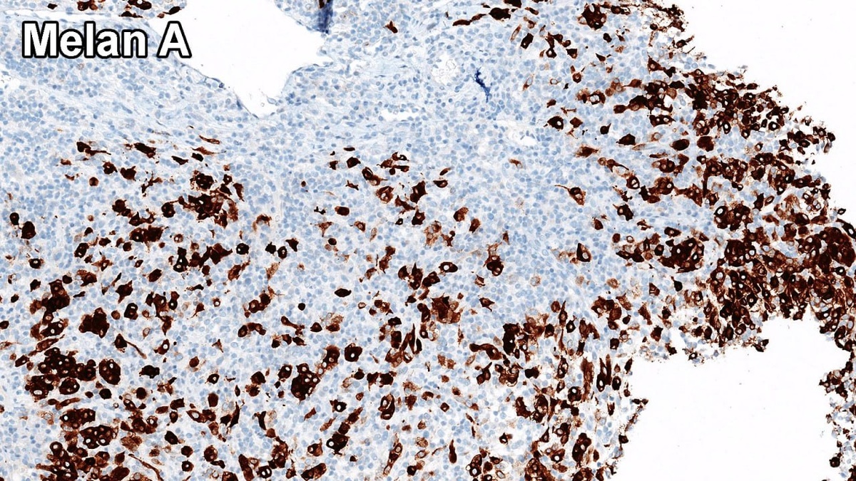
Случай метастатической меланомы в молочной железе

Случай метастатической меланомы в молочной железе 🔬 Метастатическая меланома в молочной железе — явление редкое, но вполне возможное. Как известно, меланома заслуженно носит репутацию «великого имитатора». В данном случае она может приобретать плазмоцитоидную морфологию (как показано на фото) и имитировать картину инвазивной дольковой карциномы. #молочнаяжелеза #гистология #меланома

Случай метастатической меланомы в молочной железе 🔬

Метастатическая меланома в молочной железе — явление редкое, но вполне возможное.

Как известно, меланома заслуженно носит репутацию «великого имитатора». В данном случае она может приобретать плазмоцитоидную морфологию (как показано на фото) и имитировать картину инвазивной дольковой карциномы.

#молочнаяжелеза #гистология #меланома

-2