Найти в Дзене
MY ORT

Пациентка с аллергией на металл: как мы провели ортодонтическое лечение без брекетов

Иногда в моей практике бывают пациенты с нарушением функции сустава, сложными патологиями и ограничениями, которые усложняют выбор методов лечения. Я, как лечащий врач-ортодонт, хочу рассказать вам о клиническом случае пациентки с дисфункцией сустава и скученностью зубов, у которой наблюдалась аллергия на металл, из-за чего брекеты ей были просто противопоказаны. Пациентка обратилась ко мне с выраженными болями в области височно-нижнечелюстного сустава. Она жаловалась на дискомфорт при жевании, болезненные ощущения при движении нижней челюстью и ощущение усталости мышц. Кроме этого, ее беспокоила скученность зубов и неэстетичное положение верхнего правого клыка. Я провела комплексную диагностику, включающую фотопротокол, цифровое сканирование, анализ КЛКТ и ТРГ. На этапе диагностики и подготовки к лечению выяснилось, что у пациентки есть выраженная аллергическая реакция на металл (никель), а это полностью исключает использование брекетов любого типа (металлических, керамических и сапф
Оглавление

Иногда в моей практике бывают пациенты с нарушением функции сустава, сложными патологиями и ограничениями, которые усложняют выбор методов лечения. Я, как лечащий врач-ортодонт, хочу рассказать вам о клиническом случае пациентки с дисфункцией сустава и скученностью зубов, у которой наблюдалась аллергия на металл, из-за чего брекеты ей были просто противопоказаны.

Жалобы пациента

Пациентка обратилась ко мне с выраженными болями в области височно-нижнечелюстного сустава. Она жаловалась на дискомфорт при жевании, болезненные ощущения при движении нижней челюстью и ощущение усталости мышц. Кроме этого, ее беспокоила скученность зубов и неэстетичное положение верхнего правого клыка.

Диагностика

Я провела комплексную диагностику, включающую фотопротокол, цифровое сканирование, анализ КЛКТ и ТРГ. На этапе диагностики и подготовки к лечению выяснилось, что у пациентки есть выраженная аллергическая реакция на металл (никель), а это полностью исключает использование брекетов любого типа (металлических, керамических и сапфировых), поскольку дуги на брекетах в любом случае содержат никель.

Также была обнаружена значительная скученность зубов, отсутствие места для прорезывания 13-го зуба и ранее перенесенная дисфункция височно-нижнечелюстного сустава, которая требует строгого функционального подхода.

Снимок сустава на ТРГ
Снимок сустава на ТРГ

План лечения

На основании полученных данных диагностики и осмотра, мной был составлен комплексный план лечения с учетом всех ограничений и особенностей пациентки:

  1. Сплинт-терапия для стабилизации сустава и снятия болей.
  2. Ортодонтическое лечение на элайнерах, как единственный полностью неметаллический вариант лечения.
  3. Коррекция с учетом сложности перемещений зубов и необходимости создания места для клыка.
  4. Установка ретейнеров для закрепления результата.

Лечение

1 Этап. Сплинт-терапия

На первом этапе была проведена сплинт–терапия для стабилизации сустава и снятия мышечного напряжения. Это помогло полностью устранить болевой синдром. После завершения ношения сплинта у пациентки стабилизировались функция и положение суставных головок.

2 Этап. Лечение на элайнерах

Из-за того, что аллергия исключила любую возможность ношения брекетов, мы выбрали лечение на элайнерах. Несмотря на сложность и особенности пациентки, элайнеры эффективно справились со своей задачей:

  1. Была проведена дистализация,
  2. Создано место для верхнего правого клыка,
  3. Устранена скученность зубов.
Дистализация - ортодонтическая процедура для перемещения зубов в сторону задней части рта, в область моляров и премоляров.

Пациентка хорошо соблюдала все мои рекомендации, поэтому лечение шло по плану и без осложнений. Всего было проведено три коррекции — это стандартная практика в подобных клинических случаях.

Последняя коррекция была выполнена по пожеланиям самой пациентки, потому что ей не нравилось положение верхних резцов, но из-за больших пломб и разницы в форме зубов абсолютной симметрии добиться ортодонтическими методами было просто невозможно. Поэтому нам пришлось проконсультироваться с ортопедом, чтобы пациентку все полностью устраивало.

Протезирование в любом случае было показано пациентке, так как у нее были большие пломбы на жевательных зубах и стояли временные накладки. Это типичная ситуация у пациентов с дисфункцией суставов после прохождение сплинт-терапии.

3 Этап. Ортопедический этап

Ортопед провел функциональное протезирование резцов от двойки до двойки (четыре центральных резца). Это позволило добиться идеальной эстетики и правильной формы зубов. Также были восстановлены жевательные зубы, которые ранее были с большими пломбами и временными накладками после сплинт-терапии.

4 Этап. Установка ретейнеров без металла

Из-за аллергии пациентки на никель мы не могли использовать металлический ретейнер. Поэтому я нашла прекрасное решение с использованием стекловолоконного шинирования, чтобы стабилизировать нижние резцы. Наверху у нее ретейнера не будет, потому что коронки, которые нам изготовил ортопед, не смогут нормально склеиться с ретейнером.

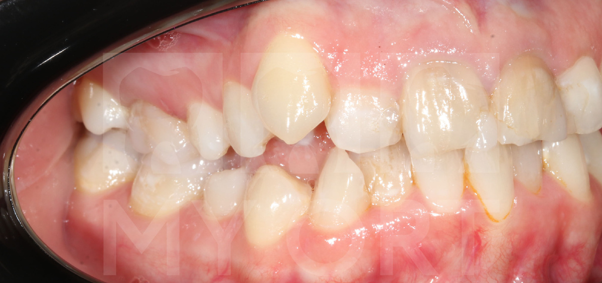
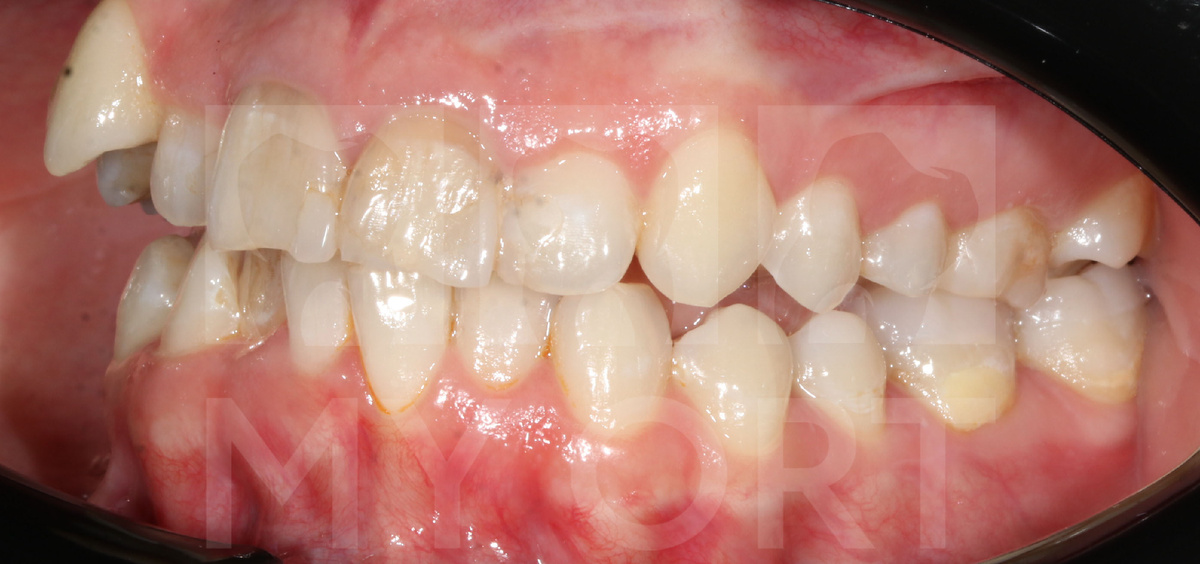
Результат. Фото до и после лечения

Чего мы смогли добиться после трёх с половиной лет лечения:

  1. Болевой синдром в суставе был полностью устранен.
  2. Функция височно-нижнечелюстного сустава стабилизировалась.
  3. Устранена скученность зубов.
  4. Была достигнута эстетика зубов и улыбки.
До и ПОСЛЕ лечения. Результат после 3.5 лет
До и ПОСЛЕ лечения. Результат после 3.5 лет

Пациентка осталась счастлива. Самое главное, что боли ее больше не беспокоят. У нее был период небольшого обострения, я ей подсказала и объяснила, что необходимо делать, для поддержания мышечного баланса и стабильности сустава. Сейчас у нее все прекрасно и абсолютно все стабильно.

Как проходило ваше лечение на элайнерах? Какие были результаты? Если есть вопросы, задавайте их в комментариях.

Автор статьи: Николаева Дарья Игоревна — врач-ортодонт, гнатолог