Добавить в корзинуПозвонить
Найти в Дзене
Naked Science

Новый препарат «омолодит» кости и хрящи

Каждый пятый житель США сталкивается с остеоартритом, вызванный старением или травмой. Однако ученые разработали препарат, который в перспективе сможет восстанавливать поврежденные хрящи и возвращать подвижность суставов. Ученые из Стэнфордского университета разработали препарат, помогающий восстанавливать поврежденные хрящи и возвращать подвижность суставов. Как показали исследования на мышах, инъекция блокирует активность белка, участвующего в старении, и обращает вспять естественную потерю хряща в коленных суставах. Результаты исследования опубликованы в журнале Science. Предварительные исследования показали, что лечение также может предотвратить развитие артрита после травм колена, таких как разрыв передней крестообразной связки. С такими травмами часто сталкиваются профессиональные спортсмены и любители. Ученые проверили разработку на образцах человеческой ткани после операций по замене коленного сустава. Эти образцы включали внеклеточный матрикс в суставе и клетки хондроцитов, ге

Каждый пятый житель США сталкивается с остеоартритом, вызванный старением или травмой. Однако ученые разработали препарат, который в перспективе сможет восстанавливать поврежденные хрящи и возвращать подвижность суставов.

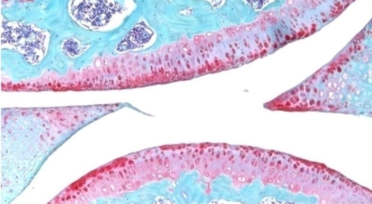
   Коленный сустав пожилой мыши после введения препарата. Красный цвет указывает на хрящ / © Nidhi Bhutani, Science
Коленный сустав пожилой мыши после введения препарата. Красный цвет указывает на хрящ / © Nidhi Bhutani, Science

Ученые из Стэнфордского университета разработали препарат, помогающий восстанавливать поврежденные хрящи и возвращать подвижность суставов. Как показали исследования на мышах, инъекция блокирует активность белка, участвующего в старении, и обращает вспять естественную потерю хряща в коленных суставах. Результаты исследования опубликованы в журнале Science.

Предварительные исследования показали, что лечение также может предотвратить развитие артрита после травм колена, таких как разрыв передней крестообразной связки. С такими травмами часто сталкиваются профессиональные спортсмены и любители.

Ученые проверили разработку на образцах человеческой ткани после операций по замене коленного сустава. Эти образцы включали внеклеточный матрикс в суставе и клетки хондроцитов, генерирующие хрящ. Они отреагировали на лечение, образуя новый, функциональный хрящ.

Белок 15-PGDH, также известный как герозим, — это фермент, который с возрастом становится более активным. Этот фермент обнаружили эти же исследователи в 2023 году. Белок также приводит к потере функции тканей. Заблокировав функции 15-PGDH с помощью небольшой молекулы, исследователи выяснили, что это приводит к увеличению мышечной массы и выносливости старых животных. Экспрессия 15-PGDH у молодых мышей, напротив, привела к сокращению и ослаблению их мышц. Герозим также участвует в регенерации костей, нервов и клеток крови.

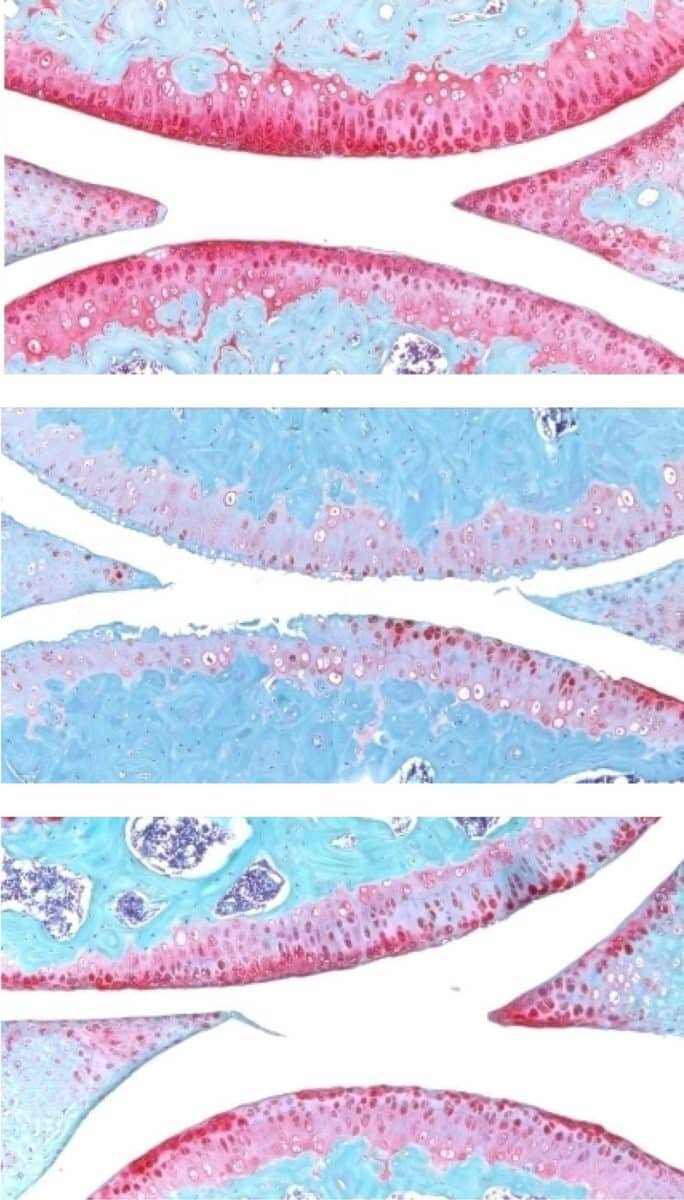
   Коленный сустав молодой мыши (вверху), пожилой мыши (в середине) и пожилой мыши после введения препарата (внизу). Красный цвет указывает на хрящ / © Nidhi Bhutani, Science
Коленный сустав молодой мыши (вверху), пожилой мыши (в середине) и пожилой мыши после введения препарата (внизу). Красный цвет указывает на хрящ / © Nidhi Bhutani, Science

Результаты исследования показали, что можно регенерировать хрящ, потерянный из-за старения или артрита, с помощью перорального препарата или местной инъекции. Это избавляет пациентов от замены коленного и тазобедренного суставов. Препарата сейчас находится на стадии клинических испытаний.