Добавить в корзинуПозвонить
Найти в Дзене

Методика УЗИ околощитовидных желез

Методы визуализации околощитовидных желез Роль методов визуализации околощитовидных желез (ОЩЖ) при отсутствии в них патологических изменений невелика, поскольку в этом случае выявить ОЩЖ не удается из-за небольших размеров и низкого метаболического статуса. Однако при патологически измененных ОЩЖ (гиперплазия, аденома и др.) существующие методы визуализации достаточно информативны. Методы визуализации измененных ОЩЖ: Сцинтиграфия с ⁹⁹ ͫͫ Тс-Sestamibi Ультразвуковое исследование Компьютерная томография Магниторезонансная томография Показания к ультразвуковому исследованию ОЩЖ: Подозрение на первичный гиперпаратиреоз у пациентов с гиперкальциемией и повышенным уровнем паратгормона, остеопорозом, рецидивирующим уролитиазом. Подозрение на вторичный гиперпаратиреоз у пациентов с хронической болезнью почек, дифференциальная диагностика диффузной и узловой гиперплазии ПЩЖ. Синдромы множественной эндокринной неоплазии. Семейный изолированный первичный гиперпаратиреоз. Рецидив гиперпаратирео
Оглавление

Методы визуализации околощитовидных желез

Роль методов визуализации околощитовидных желез (ОЩЖ) при отсутствии в них патологических изменений невелика, поскольку в этом случае выявить ОЩЖ не удается из-за небольших размеров и низкого метаболического статуса.

Однако при патологически измененных ОЩЖ (гиперплазия, аденома и др.) существующие методы визуализации достаточно информативны.

Методы визуализации измененных ОЩЖ:

  • Сцинтиграфия с ⁹⁹ ͫͫ Тс-Sestamibi
  • Ультразвуковое исследование
  • Компьютерная томография
  • Магниторезонансная томография

Показания к ультразвуковому исследованию ОЩЖ:

  • Подозрение на первичный гиперпаратиреоз у пациентов с гиперкальциемией и повышенным уровнем паратгормона, остеопорозом, рецидивирующим уролитиазом.
  • Подозрение на вторичный гиперпаратиреоз у пациентов с хронической болезнью почек, дифференциальная диагностика диффузной и узловой гиперплазии ПЩЖ.
  • Синдромы множественной эндокринной неоплазии.
  • Семейный изолированный первичный гиперпаратиреоз.
  • Рецидив гиперпаратиреоза.
  • Множественное поражение ПЩЖ.
  • Сопутствующая патология щитовидной железы и лимфатических узлов шеи.
  • Отсутствие возможности проведения сцинтиграфии или отказ пациента от проведения радионуклидного исследования.
  • Проведение ультразвукового исследования перед выполнением тонкоигольной аспирационной пункционной биопсии ПЩЖ.
  • Планирование и контроль хирургического и малоинвазивного лечения гиперпаратиреоза.

Методика УЗИ околощитовидных желез

Положение пациента – лежа на спине, шея обнажена.

Голова пациента запрокинута, для чего можно использовать валик.

Датчик – линейный частотой 5,0-15,0 МГц (средняя частота 7,5 МГц).

Основные позиции датчика при УЗИ ОЩЖ те же, что и при УЗИ ЩЖ:

Поиск околощитовидных желез проводится по задним поверхностям боковых долей щитовидной железы.

  • 1 позиция – Датчик в проекции щитовидной железы в поперечной плоскости; при необходимости - в проекции каждой боковой доли в отдельности.
  • 2 позиция – Датчик в проекции щитовидной железы правой боковой доли в продольной плоскости с наклонами вправо-влево.
  • 3 позиция – Датчик в проекции щитовидной железы левой боковой доли в продольной плоскости с наклонами вправо-влево.
  • + Полипозиционное исследование передней поверхности шеи с осмотром лимфоузлов и мягких тканей шеи.
-2
-3

Околощитовидные железы при УЗИ в норме

В норме околощитовидные железы располагаются по задней поверхности боковых долей щитовидной железы и обычно не визуализируются.

Поэтому ультразвуковое исследование ОЩЖ в основном имеет значение при развитии их патологических изменений (гиперплазия, аденома, рак и др.).

Отсутствие визуализации ОЩЖ в первую очередь связано с тем, что, начиная с пубертата, в них происходит увеличение количества жировых клеток, и к зрелому возрасту содержание жира в нормальной ОЩЖ может достигать 20-80% от объема органа.

У взрослых нормальные ОЩЖ, содержащие большое количество жировых клеток, в отличие от ЩЖ практически не визуализируются на фоне жировой клетчатки.

Еще одним моментом, затрудняющим выполнение УЗИ ОЩЖ, является то, что их количество может широко варьировать: около 80% людей имеют 4 ОЩЖ, что условно принимается за норму; в то же время около 6% людей имеют 5 ОЩЖ, 13% - 3, гораздо реже встречается меньшее (1-2) и большее (6-15) количество желез.

Помимо количества вариабельными могут быть размеры и форма ОЩЖ.

Неизмененные ОЩЖ могут определяться в виде однородных изоэхогенных или повышенной эхогенности образований чаще овальной, округлой или бобовидной формы с ровными четкими контурами длиной до 6 мм (максимум до 8 мм), шириной до 5 мм и толщиной до 4 мм, лучше всего визуализирующихся при продольном сканировании.

Обнаружить нормальные паращитовидные железы можно в первую очередь в местах их типичной локализации по задней поверхности долей щитовидной железы.

Верхние ОЩЖ обычно находятся на уровне верхних или средних сегментов долей ЩЖ по их задней поверхности.

Нижние ОЩЖ обычно визуализируются по задней поверхности нижних полюсов долей ЩЖ или ниже нее по ходу сосудов, идущих к нижним полюсам, при этом они часто располагаются на 1-2 см каудальнее нижних полюсов долей.

-4
-5

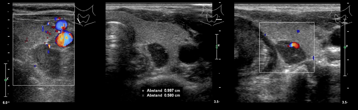
Возможности УЗИ в оценке состояния околощитовидных желез

В норме в ОЩЖ имеется достаточно большое содержание жировых клеток, что делает сложным их визуализацию.

При гиперплазии или аденоматозной трансформации ОЩЖ происходит увеличение количества паратиреоцитов и редукция жировых клеток, в результате чего эхогенность желез снижается, размеры ОЩЖ увеличиваются, и они отчетливо визуализируются при УЗИ.

Описан признак «трех кругов» (triple circle sign): при этом в поперечном срезе визуализируются три округлых образования, являющихся изображением внутренней яремной вены (ВЯВ), общей сонной артерии (ОСА) и увеличенной ОЩЖ.

В режиме серой шкалы измененные ОЩЖ определяются в виде овальных, округлых или вытянутой формы гипоэхогенных образований чаще однородной структуры с ровными четкими контурами и размерами от 5-7 мм до 40 мм и более.

Реже (около 30%) структура ОЩЖ может быть неоднородной за счет зон повышенной эхогенности, анэхогенных и гиперэхогенных включений, связанных с наличием склеротических изменений, зон кистозной дегенерации и кальцификатов.

-6
-7
-8
-9

УЗИ имеет ограничения в выявлении эктопированных ОЩЖ, которые в 3-22% случаев бывают смещены в средостение, тимус, ткань щитовидной железы и т.д.

Важна оценка васкуляризации измененных ОЩЖ в режиме ЦДК/ЭДК: обычно их гиперваскуляризация ассоциируется с первичным или вторичным гиперпаратиреозом.

Выделяют 5 вариантов васкуляризации ОЩЖ по данным ЦДК (Mazzeo S. и соавт., 1997): I - отсутствие сигналов кровотока; II – очаговый кровоток в области сосудистого полюса на периферии железы; III - усиленный периферический кровоток; IV - усиленный центральный кровоток (паренхиматозный); V - усиленный центральный и периферический кровоток.

Предложена классификация васкуляризации ОЩЖ (Onoda N. И соавт., 2003), основанная на раздельной оценке периферического и центрального кровотока по трехбалльной системе, согласно которой, кровоток может отсутствовать (0 степень), может быть умеренным (1 степень) или интенсивным (2 степень).

В спектральном допплеровском режиме систолическая скорость кровотока в измененных ОЩЖ составляет 15-50 см/с (в среднем 30 см/с).

-10
-11
-12

Некоторое значение в ультразвуковой диагностике измененных ОЩЖ имеет эластография (компрессионная эластография и эластография сдвиговой волны).

Патологически измененные ОЩЖ определяются как эластические образования.

В большинстве случаев измененные ОЩЖ менее жесткие, чем неизмененная ткань ЩЖ и узловые образования ЩЖ.

При эластографии сдвиговой волны значения модуля Юнга в ОЩЖ составляют от 5,2 до 28,6 кПа (в среднем 10-12 кПа).

Определенные трудности при эластографии могут возникнуть при малых размерах ОЩЖ, вытянутой их форме, глубоком уровне залегания, а также при передаточной пульсации от сосудистого пучка шеи, создающей артефакты и влияющей на точность оценки элистичности образования.

-13
-14
-15
-16

Автор - Иогансен Юрий Александрович, врач ультразвуковой диагностики, кандидат медицинских наук.