Найти в Дзене

Почему я никогда не соглашусь просто приклеить коронку обратно (даже на Уницем), если культя зуба похожа на острый конус

Вы поставили коронку, рассчитывая закрыть вопрос на десятилетия, но она выпадает уже через полгода, врач ее «подклеивает», и ситуация повторяется.
Обычно в кабинете звучат стандартные объяснения: вы съели что-то вязкое, слишком сильно надавили или цемент не схватился. Вам ставят коронку на «более прочный» материал, но спустя время вы снова чувствуете, что она шатается.
Если коронка слетает
Оглавление

Вы поставили коронку, рассчитывая закрыть вопрос на десятилетия, но она выпадает уже через полгода, врач ее «подклеивает», и ситуация повторяется. 

Обычно в кабинете звучат стандартные объяснения: вы съели что-то вязкое, слишком сильно надавили или цемент не схватился. Вам ставят коронку на «более прочный» материал, но спустя время вы снова чувствуете, что она шатается.

Если коронка слетает регулярно без экстремальных нагрузок, дело почти наверняка не в вашей жевательной активности или качестве клея. Скорее всего, проблема в геометрии обточки.

Разбираем, почему так происходит и что с этим делать.

Роль цемента в фиксации

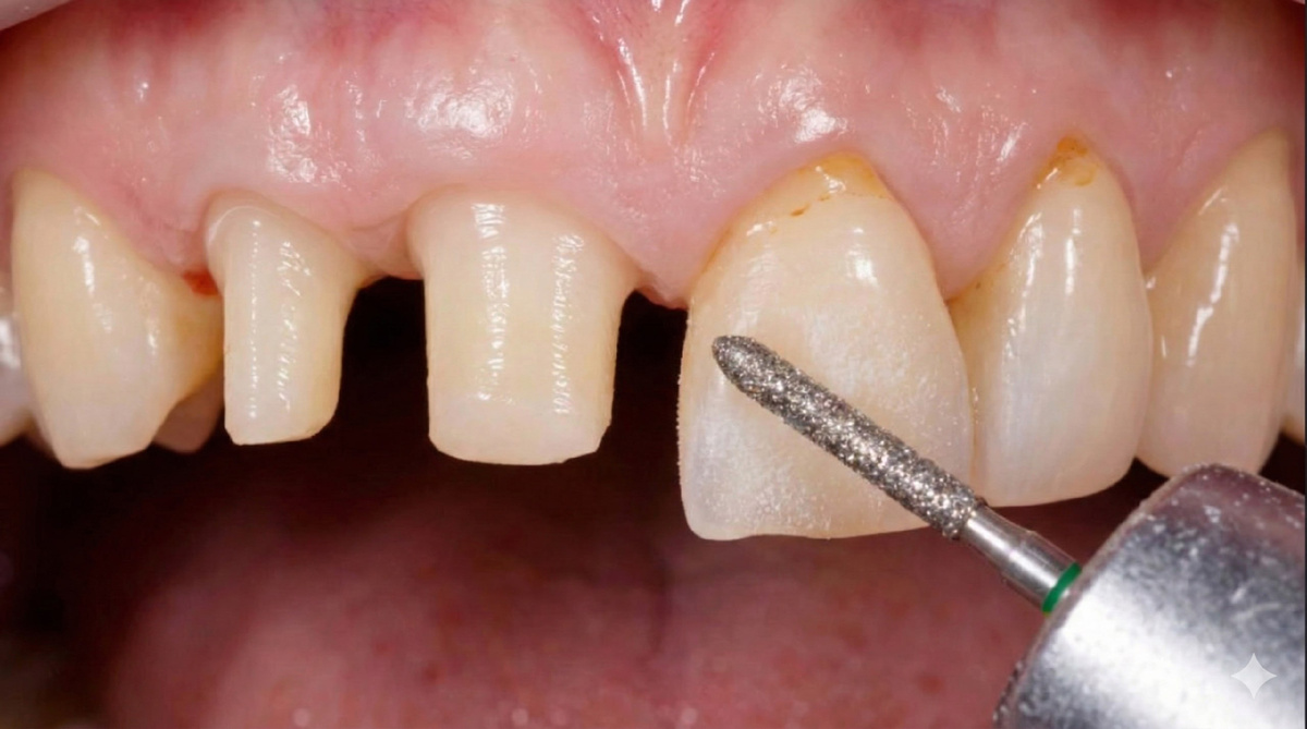
Цемент в ортопедии - это скорее герметик, который заполняет микропустоты и исключает попадание бактерий под конструкцию. Настоящая фиксация происходит благодаря физике, а точнее - силе трения. Коронка должна надеваться на зуб как плотный колпачок или наперсток.

Чем более вертикальными и параллельными друг другу врач оставил стенки вашего зуба, тем больше площадь их соприкосновения с коронкой. Именно это трение сопротивляется сдвигу и не дает коронке «выскочить» с зуба.

В идеале обточенный зуб должен напоминать цилиндр или усеченный конус с очень легким наклоном стенок.

Ошибки в геометрии обточки

Теперь представьте, что вместо аккуратного цилиндра врач выточил из вашего зуба острый конус. Убрал слишком много тканей по бокам, и культя стала похожа на пирамиду.

С точки зрения механики происходит потеря площади контакта, и коронка теперь не обхватывает зуб, а просто «сидит» на его верхушке. Любая нагрузка (особенно боковая, когда вы жуете пищу) заставляет коронку скользить по наклонным стенкам вниз, и она соскальзывает.

Даже если врач возьмет самый современный и дорогой цемент, это не поможет. Попытка удержать коронку на «пирамиде» клеем равносильна попытке удержать наперсток на кончике иглы. До первого серьезного укуса он продержится, а дальше физика возьмет свое.

-2

Последствия неправильной обточки

Форма пирамиды опасна для здоровья самого зуба:

Риск перелома. Чтобы создать такую узкую форму, врачу приходится спиливать колоссальный объем родных тканей (эмали и дентина). Зуб становится тонким и хрупким, а при жевательной нагрузке он может просто сломаться под корень.

Гибель нерва. Агрессивная обточка часто приводит к перегреву или вскрытию пульповой камеры (где находится нерв) - это прямой путь к воспалению, удалению нерва и лечению каналов, что делает зуб еще более уязвимым.

Как понять, что у вас «пирамида»

Пациент не может заглянуть себе в рот во время обточки, но есть верные признаки, которые должны вас насторожить:

  • Рецидивы. Коронка слетает регулярно без экстремальных причин (вы не грызли орехи или кости).
  • Смена врачей не помогает. Если разные доктора просто меняют цемент, но никто не обсуждает форму зуба - это тревожный звонок.
  •  Визуальный осмотр. Если у вас есть возможность увидеть снимок или сам зуб в зеркало (когда коронка слетела), обратите внимание на форму. Если зуб похож на острый штырек или тонкий конус, то проблема найдена.

Методы восстановления культи 

Если вы поняли, что стали жертвой «пирамидальной» обточки, просто приклеивать коронку обратно бессмысленно. Нужно менять тактику.

Грамотные ортопеды предлагают такие варианты:

Восстановление геометрии. Врач может попытаться «надстроить» стенки зуба с помощью композитных материалов или специальных вкладок, чтобы вернуть культе правильную цилиндрическую форму.

Вкладка вместо культи. Если тканей мало, изготавливают культевую вкладку, которая искусственно создает нужный объем и параллельность стенок.

Радикальное решение. Если корень ослаблен переточкой или треснул, к сожалению, зуб придется удалить и заменить имплантом.

Если ваша коронка снова оказалась у вас в руках, не спешите винить себя или производителя цемента. Найдите врача, который оценит форму культи. Возможно, небольшая коррекция или восстановление формы зуба сэкономит вам годы хождений по клиникам и спасет зуб от удаления.

Подписывайтесь на канал, если хотите разбираться в качестве лечения и не переплачивать за переделки.