Добавить в корзинуПозвонить
Найти в Дзене

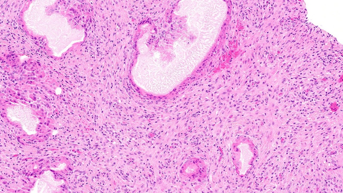
Случай веретеноклеточной гистиоцитарной псевдоопухоли молочной железы

Случай веретеноклеточной гистиоцитарной псевдоопухоли молочной железы 🔬 Реактивное веретеноклеточное образование из гистиоцитов, вероятно, являющееся выраженной формой жирового некроза. Название этого образования длиннее самого процесса, но оно точно отражает его природу. #молочнаяжелеза #гистология #псевдоопухоль

Случай веретеноклеточной гистиоцитарной псевдоопухоли молочной железы 🔬

Реактивное веретеноклеточное образование из гистиоцитов, вероятно, являющееся выраженной формой жирового некроза. Название этого образования длиннее самого процесса, но оно точно отражает его природу.

#молочнаяжелеза #гистология #псевдоопухоль