Добавить в корзинуПозвонить
Найти в Дзене
INDUSTRY3D

RadioMatrix от Stratasys: 3D-печать анатомии, неотличимой от реальной на КТ

RadioMatrix от Stratasys: 3D-печать анатомии, неотличимой от реальной на КТ Stratasys выводит на рынок США материал RadioMatrix для PolyJet-принтеров. Его ключевая особенность — возможность точно настраивать рентгеноконтрастность, имитируя плотность кости, жира или сосудов. 🩻 На сканах такие модели отклоняются от реальных тканей всего на 1 единицу Хаунсфилда! Это революция для обучения радиологов и тестирования медоборудования, предлагающая повторяемую и масштабируемую альтернативу дорогим кадаврам и ограниченным фантомам. Подробнее в статье: industry3d.ru/radiomatrix-3d-pechat-anatomii-neotlichimoj-ot-realnoj-na-kt/ Подписывайтесь на новости индустрии: https://dzen.ru/id/624aac9084d0f80f23bf0aee

RadioMatrix от Stratasys: 3D-печать анатомии, неотличимой от реальной на КТ

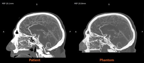
Stratasys выводит на рынок США материал RadioMatrix для PolyJet-принтеров. Его ключевая особенность — возможность точно настраивать рентгеноконтрастность, имитируя плотность кости, жира или сосудов. 🩻

На сканах такие модели отклоняются от реальных тканей всего на 1 единицу Хаунсфилда! Это революция для обучения радиологов и тестирования медоборудования, предлагающая повторяемую и масштабируемую альтернативу дорогим кадаврам и ограниченным фантомам.

Подробнее в статье: industry3d.ru/radiomatrix-3d-pechat-anatomii-neotlichimoj-ot-realnoj-na-kt/

Подписывайтесь на новости индустрии: https://dzen.ru/id/624aac9084d0f80f23bf0aee