Добавить в корзинуПозвонить
Найти в Дзене

Просто “длинные” зубы? Или опасная патология десны?

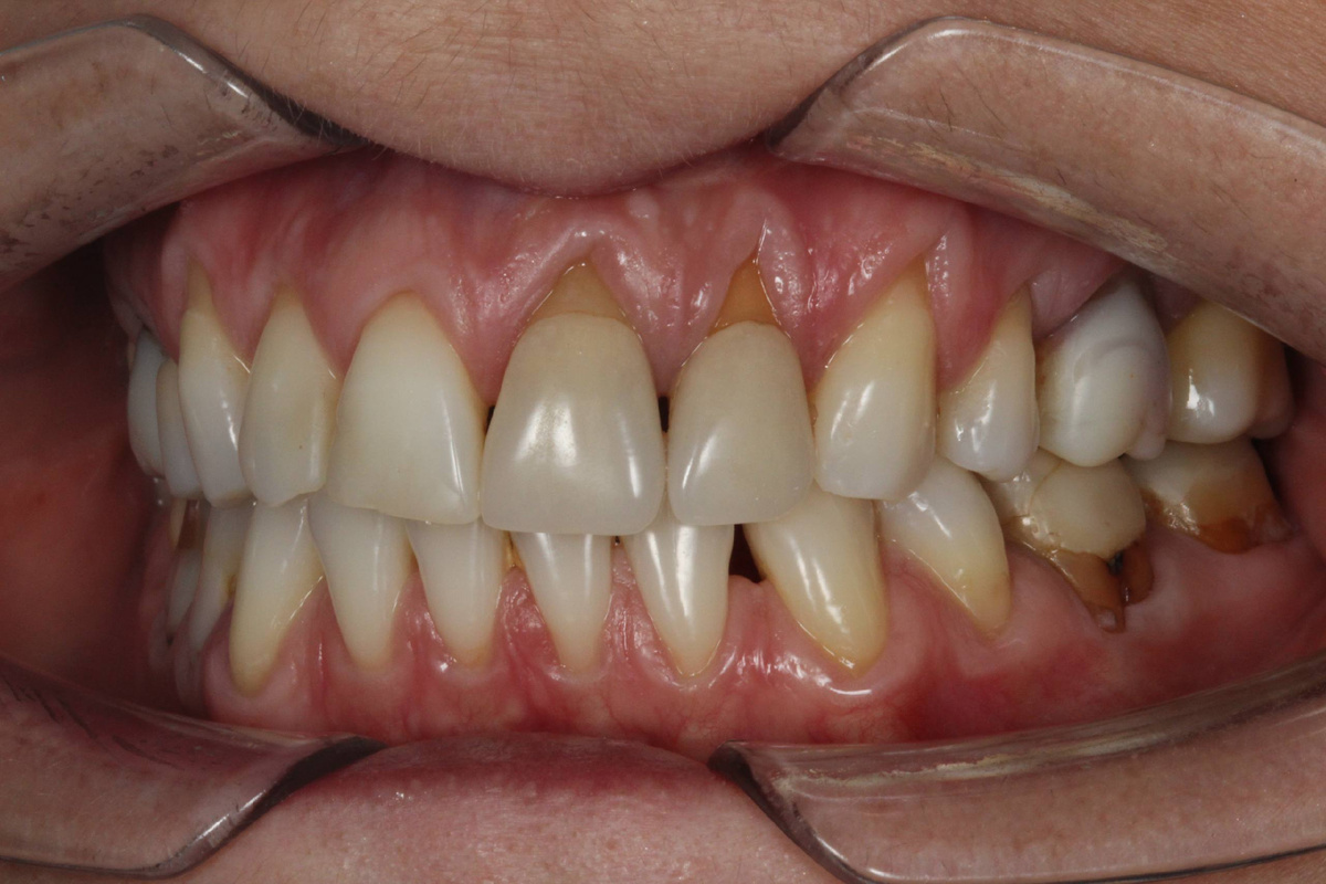
Вместо тысячи слов покажу это фото. Это яркая иллюстрация рецессии десны (у меня таких картинок много, по ходу статьи будут демонстрировать). Сегодня говорим не только о том, как рецессия возникает, но и почему её нельзя игнорировать. К сожалению пациент, который пришел сдаваться стоматологу по причине рецессии, - это эксклюзив. Пока ничего не болит, пока есть чем жевать, люди редко тревожатся из-за десён до такой степени, чтобы добровольно записаться на приём. А стоило бы. Но перейдем от докторского брюзжания к фактам и аргументам. ЧТО ТАКОЕ РЕЦЕССИЯ Гингивальная рецессия - это отступление десны от зуба. ПОЧЕМУ ОНА ВОЗНИКАЕТ 1. Анатомические особенности, а именно - неправильный прикус. Эту причину я выношу первой в списке неспроста. На практике мы видим, что при патологическом прикусе рецессия практически неминуема. Чтобы было понятнее, давайте вспомним, как выглядят зубы сильно возрастных людей. Они пожившие, уставшие, изношенные. Эмаль стерлась, где-то сколы, где-то трещины. То ес
Оглавление

Вместо тысячи слов покажу это фото. Это яркая иллюстрация рецессии десны (у меня таких картинок много, по ходу статьи будут демонстрировать).

Сегодня говорим не только о том, как рецессия возникает, но и почему её нельзя игнорировать.

К сожалению пациент, который пришел сдаваться стоматологу по причине рецессии, - это эксклюзив. Пока ничего не болит, пока есть чем жевать, люди редко тревожатся из-за десён до такой степени, чтобы добровольно записаться на приём. А стоило бы. Но перейдем от докторского брюзжания к фактам и аргументам.

ЧТО ТАКОЕ РЕЦЕССИЯ

Гингивальная рецессия - это отступление десны от зуба.

ПОЧЕМУ ОНА ВОЗНИКАЕТ

1. Анатомические особенности, а именно - неправильный прикус.

Эту причину я выношу первой в списке неспроста. На практике мы видим, что при патологическом прикусе рецессия практически неминуема. Чтобы было понятнее, давайте вспомним, как выглядят зубы сильно возрастных людей. Они пожившие, уставшие, изношенные.

-2

Эмаль стерлась, где-то сколы, где-то трещины. То есть зубы, как любая, тонко организованная живая система устают. У них есть запас прочности. И этот запас зависит от условий труда, от адекватности нагрузки. А при неправильном прикусе говорить об адекватной нагрузке не приходится.

Когда прикус нарушен, на некоторые участки десны и кости действует увеличенная сила. Это создает точки максимального нажима, и в таких точках давление на десневой край и костную основу зуба может зашкаливать. Со временем такая нагрузка приводит к микротрещинами и повреждению мягких тканей. Также чрезмерные нагрузки могут нарушать нормальное кровоснабжение в этих зонах, лишая ткани необходимого питательных веществ и кислорода. Если кратко, неправильный прикус создает идеальные условия для развития рецессии десны именно в тех местах, где нагрузка максимальна.

На фото рецессия у пациентки с патологией прикуса. Девушке 37 лет. Она прошла лечение у ортодонта и мы провели пластику десны. чтобы закрыть оголенные участки.
На фото рецессия у пациентки с патологией прикуса. Девушке 37 лет. Она прошла лечение у ортодонта и мы провели пластику десны. чтобы закрыть оголенные участки.

2. Гингивит, пародонтит

Гингивит — это воспаление десен, которое часто возникает из-за накопления налёта и камня. Бактерии, обитающие в толще отложений разрушают эпителий десны и выделяют токсины.Со временем воспалительный процесс затрагивает и саму костную ткань под десной — альвеолярную кость. Если гингивит длится долго, без лечения и наблюдения, начинается истончение кости, десны начинают отступать — появляется рецессия.

Посмотрим на фото. Здесь видно, как налёт внедряется под десну, отодвигая её. Помимо простого механического воздействия отложений мы должны учитывать ту самую бактериальную атаку, о которой написал выше.

3. Неправильно установленные протезы и ортопедические конструкции (коронки, виниры)

  • Неплотно установленная коронка может травмировать десну вокруг опорного зуба.
  • При неплотном прижимании моста развивается гингивит в области опорных зубов.
  • При отсутствии адекватного прилегания съемного протеза в мягких тканях появляется постоянный инфекционный очаг, что способствует развитию гингивита и, как следствие, рецессии.
-5

4. Агрессивная гигиена

Такое простое действие, как интенсивная чистка, не добавляет здоровья зубам и деснам. Мягкие ткани не любят жесткой щетины, дикого нажима, яростного трения. Однако люди, которые уже в группе риска по рецессии из-за гингивита, нарушения прикуса, склонности к образовании камня, как раз-таки склонны увлекаться усиленной чисткой. Это такая ловушка. Нам кажется, если помощнее давить на щетку, то твердого налета будет меньше, бактерии сбегут из самых темных закоулков, десны станут здоровее. На самом деле важна техника чистки, продолжительность и скрупулезность, а не сила атаки.

ПОЧЕМУ РЕЦЕССИЮ НЕЛЬЗЯ ИГНОРИРОВАТЬ

Потому что это не просто эстетический изъян, а угроза.

1. Развивается повышенная чувствительность, при которой прохладный воздух при вдохе становится обжигающим.
2. Для кариеса открывается доступ к самой уязвимой части зуба, к шейке корня.
3. Повышенный риск развития клиновидных дефектов.
4. Если не лечить, рецессия будет прогрессировать и создавать условия для развития пародонтита.
5.В запущенных случаях не исключено расшатывание зубов.

КАК ДЕЙСТВОВАТЬ

Сразу простимся с иллюзиями. Консервативное лечение возможно только на ранней стадии и волшебного пластыря, мази, отвара, который за пару недель вернет десну на место, нет. Есть комплекс мер, который позволит затормозить процесс и, если будет устранена причина, поможет десне постепенно принять нормальный вид.

Во-первых, избавляемся от камня и налета с помощью профгигиены и проводим её каждые 6 месяцев. Далее получаем от пародонтолога чёткие инструкции, как и чем чистить зубы, что привнести в свою гигиену, а от чего избавиться. Выполняем назначение врача: что наносить, чем полоскать, как наблюдать (противовоспалительные гели, специальные растворы, пасты с антисептиками).

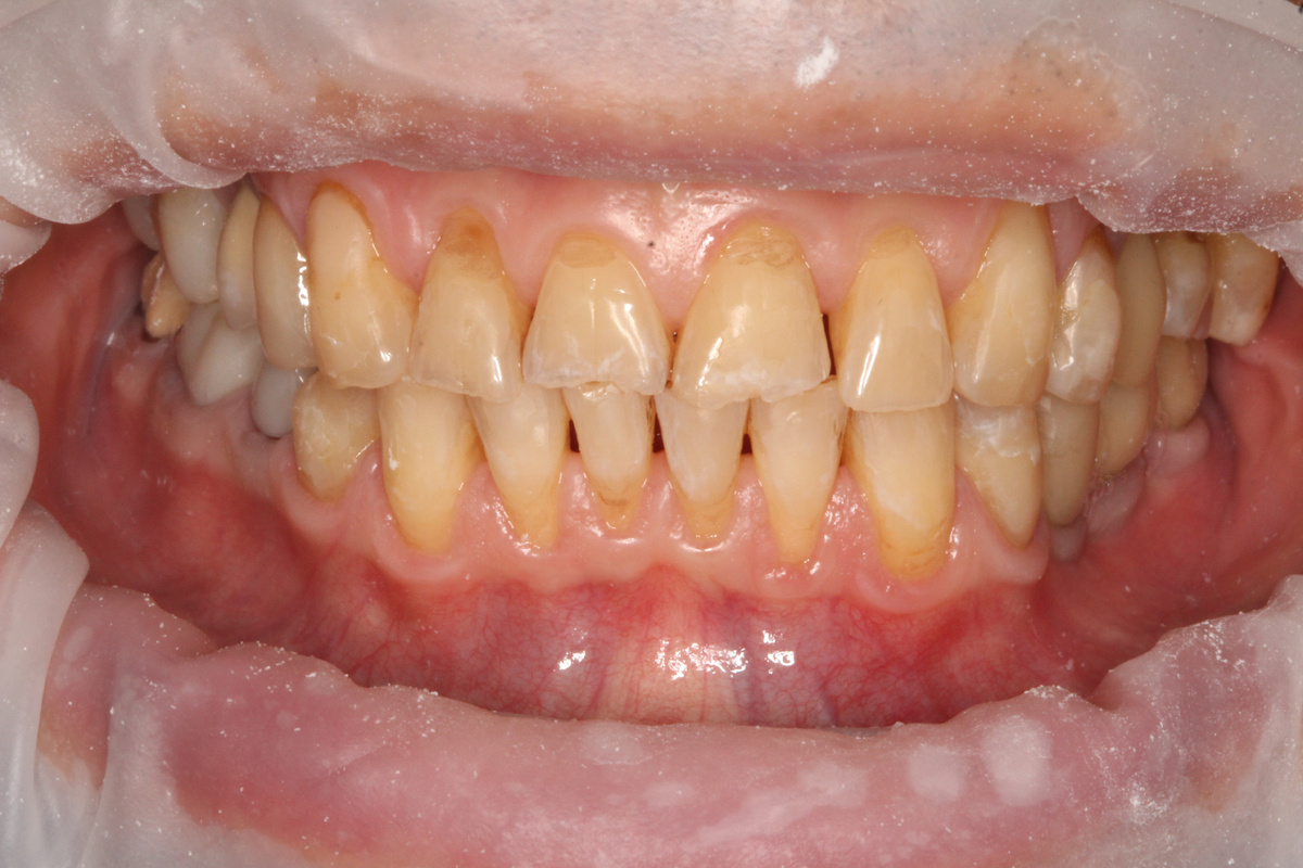
Серьезная степень рецессии требует операции — гингивопластики. Операция выполняется с использованием собственной ткани пациента — небольшого сегмента тканей нёба со стороны противолежащей дуги зубов.

Процедура проводится амбулаторно. Обезболиваем, берём трансплантат, очищаем область операции, накладываем ткань-донор, фиксируем швами. Обычно на все манипуляции врач тратит 1,5-2 часа. Кровотечения обычно прекращается через 30-40 минут после операции. После процедуры пациенту необходимо строго соблюдать рекомендации врача по питанию и гигиене рта (не чистить зубы в течение первых 30-60 минут, использовать безвредные дезинфицирующие растворы).

Давайте посмотрим на результаты операции нашего пародонтолога.

КОГДА ИДТИ К СТОМАТОЛОГУ?

При первых признаках рецессии десны важно не откладывать визит к специалисту. Обратите внимание на следующие сигналы тревоги:

  • Десна хотя бы незначительно отсутпила
  • Неприятная чувствительность зубов
  • Повышенное количество зубного камня
  • Изменение цвета десен
Регулярные осмотры у стоматолога помогут выявить проблему на ранних стадиях и избежать серьезных последствий.