Добавить в корзинуПозвонить
Найти в Дзене
Mavie Clinique

Как проходит процедура отбеливания зубов?

В нашей клинике мы используем современную систему отбеливания зубов Amazing White Premium, и обычно она проходит в несколько этапов: 🦷 1. Консультация и осмотр Перед процедурой стоматолог: осматривает полость рта и эмаль; проверяет на наличие кариеса, трещин, воспаления десен; оценивает исходный оттенок зубов, чтобы подобрать оптимальный план. Это важно: если есть налёт или камень — сначала может понадобиться профессиональная гигиена полости рта. 🛡️ 2. Подготовка полости рта Обезболивание обычно не требуется — технология щадящая.  На мягкие ткани (дёсны, губы) наносят защитный гель или используют специальный коффердам, чтобы отбеливающий состав не дотрагивался до нежной слизистой. Устанавливаются ретракторы (маленькие резиновые расширители), чтобы десна были отведены и поверхность зубов хорошо просматривалась. 💧 3. Нанесение отбеливающего геля На эмаль наносится специальный гель, который готов к применению и не требует смешивания. 🔆 4. Активация света Гель активируется LED-лампой
Оглавление

В нашей клинике мы используем современную систему отбеливания зубов Amazing White Premium, и обычно она проходит в несколько этапов:

🦷 1. Консультация и осмотр

Перед процедурой стоматолог:

  • осматривает полость рта и эмаль;
  • проверяет на наличие кариеса, трещин, воспаления десен;
  • оценивает исходный оттенок зубов, чтобы подобрать оптимальный план.

Это важно: если есть налёт или камень — сначала может понадобиться профессиональная гигиена полости рта.

🛡️ 2. Подготовка полости рта

  • Обезболивание обычно не требуется — технология щадящая. 
  • На мягкие ткани (дёсны, губы) наносят защитный гель или используют специальный коффердам, чтобы отбеливающий состав не дотрагивался до нежной слизистой.
  • Устанавливаются ретракторы (маленькие резиновые расширители), чтобы десна были отведены и поверхность зубов хорошо просматривалась.

💧 3. Нанесение отбеливающего геля

На эмаль наносится специальный гель, который готов к применению и не требует смешивания.

🔆 4. Активация света

Гель активируется LED-лампой холодного света (без ультрафиолета и перегрева), что ускоряет образование активного кислорода, который проникает в микропоры эмали и расщепляет пигменты. 

Обычно делают несколько циклов по ~15 минут светового воздействия за один визит (например, 2–3 цикла). 

🪥 5. Финальные этапы

  • Гель смывают с зубов.
  • Часто проводят реминерализацию — наносится минерализующий гель, который укрепляет эмаль после отбеливания. 
  • Стоматолог сравнивает результат цветом до/после и даёт рекомендации по уходу. 

⏱️ Сколько времени занимает

Вся процедура обычно длится около 45–60 минут за один визит. 

💡 Что важно знать

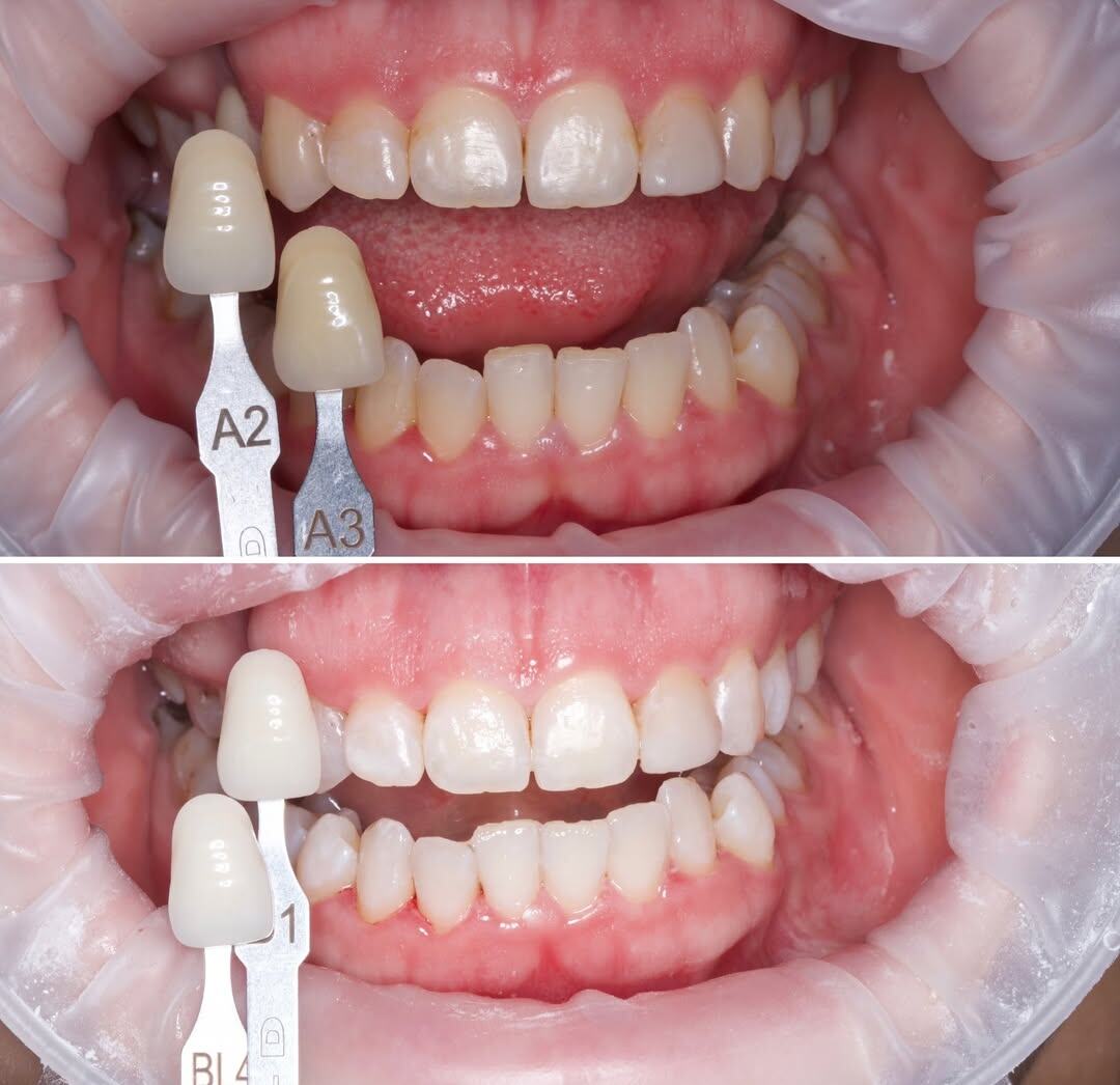
✔ Результат заметен сразу — зубы могут осветлиться на несколько тонов.

На фото- работа доктора Аманды Дадаевны
На фото- работа доктора Аманды Дадаевны

✔ Процедура считается безопасной и комфортной благодаря холодной активации и контролю специалиста — обычно без болевых ощущений.

✔ Эффект может сохраняться от 1–2 лет при правильном уходе и избегании красящих продуктов. 

Записаться на процедуру можно по телефону: +74950030301

Мы находимся по адресу: г. Москва, ул. Зубовский бульвар, д. 15, с 4