Добавить в корзинуПозвонить
Найти в Дзене

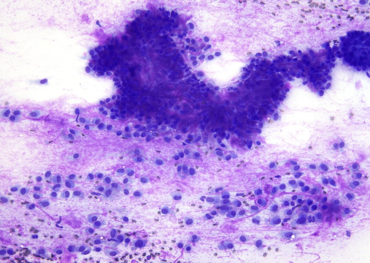
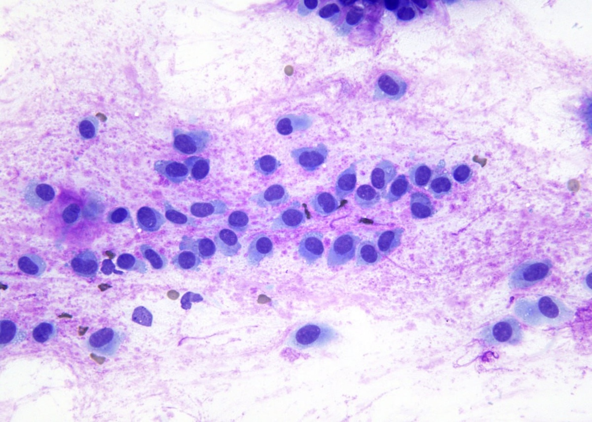
Классическая картина плеоморфной аденомы слюнной железы

Классическая картина плеоморфной аденомы слюнной железы При качественном окрашивании по Романовскому-Гимзе миоэпителиальные клетки всегда ярко выделяются на фоне зернистой стромы. #слюннаяжелеза #цитология

Классическая картина плеоморфной аденомы слюнной железы

При качественном окрашивании по Романовскому-Гимзе миоэпителиальные клетки всегда ярко выделяются на фоне зернистой стромы.

#слюннаяжелеза #цитология

-2
-3