Найти в Дзене
Звезда Алтая

Растет заболеваемость пневмонией: как распознать опасность у себя и близких

Растет заболеваемость пневмонией: как распознать опасность у себя и близких В Республике Алтай зафиксирована тревожная статистика по пневмонии. За 10 месяцев 2025 года диагноз подтвержден у 1185 человек. Только на прошлой неделе госпитализированы 27 пациентов с внебольничной пневмонией, среди них — четверо детей. Почему это важно? Пневмония остается серьезным заболеванием, которое легко спутать с обычной простудой. Однако последствия промедления с лечением могут быть тяжелыми, о чем свидетельствует стопроцентная госпитализация всех выявленных на прошлой неделе случаев. Тревожные звоночки: когда бить тревогу? Главная опасность — это стойкая высокая температура (выше 38°C), которая не спадает более трех дней. К другим критическим симптомам врачи относят: • Одышку в состоянии покоя (более 20 вдохов в минуту); • Боль в груди, усиливающуюся при вдохе; • Сильную слабость и потливость; • Кашель, особенно с мокротой необычного цвета. Особое внимание стоит уделить детям и пожилым родственни

Растет заболеваемость пневмонией: как распознать опасность у себя и близких

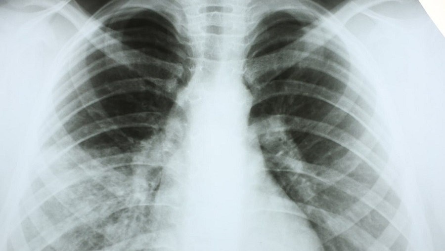
В Республике Алтай зафиксирована тревожная статистика по пневмонии. За 10 месяцев 2025 года диагноз подтвержден у 1185 человек. Только на прошлой неделе госпитализированы 27 пациентов с внебольничной пневмонией, среди них — четверо детей.

Почему это важно?

Пневмония остается серьезным заболеванием, которое легко спутать с обычной простудой. Однако последствия промедления с лечением могут быть тяжелыми, о чем свидетельствует стопроцентная госпитализация всех выявленных на прошлой неделе случаев.

Тревожные звоночки: когда бить тревогу?

Главная опасность — это стойкая высокая температура (выше 38°C), которая не спадает более трех дней. К другим критическим симптомам врачи относят:

• Одышку в состоянии покоя (более 20 вдохов в минуту);

• Боль в груди, усиливающуюся при вдохе;

• Сильную слабость и потливость;

• Кашель, особенно с мокротой необычного цвета.

Особое внимание стоит уделить детям и пожилым родственникам: у них болезнь может проявляться не явно, через быструю утомляемость, отказ от еды или посинение губ.

При первых же подозрениях на воспаление легких необходимо немедленно обратиться к врачу — своевременная диагностика и лечение спасают жизни.

Роспотребнадзор по РА