Добавить в корзинуПозвонить
Найти в Дзене
НИИ Антропогенеза

Примерно год назад мы выложили для наших подписчиков микрофотографию селезёнки

Примерно год назад мы выложили для наших подписчиков микрофотографию селезёнки Теперь выкладываем микрофотографию той же селезёнки, окрашенной по Перльсу (иногда пишут "по Перлсу"), фиксация ткани 10 % формалином, объектив 20х Данный метод основан на реакции трёхвалентного железа с гексацианоферратом калия (II), или жёлтой кровяной солью, в кислой среде В результате химической реакции образуется окрашенная в синий цвет соль с романтическим названием "берлинская лазурь" (прогульщики школьной химии срочно лезут в справочники) В селезёнке происходит разрушение эритроцитов и захват последних макрофагами Особенно много макрофагов обнаруживается вокруг капилляров в специальных макрофагальных муфтах Макрофаги фагоцитируют эритроциты и лизируют их внутри лизосом Железо, извлечённое из гемоглобина, связывается со специальным белком-хранилищем - ферритином В дальнейшем оно снова используется организмом для построения гемоглобина и прочих железосодержащих белков

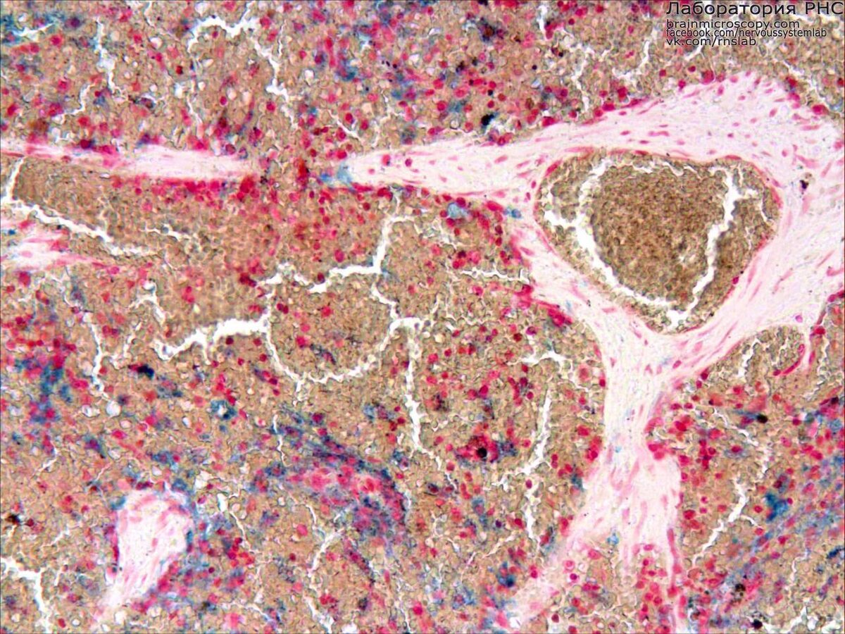
Примерно год назад мы выложили для наших подписчиков микрофотографию селезёнки

Теперь выкладываем микрофотографию той же селезёнки, окрашенной по Перльсу (иногда пишут "по Перлсу"), фиксация ткани 10 % формалином, объектив 20х

Данный метод основан на реакции трёхвалентного железа с гексацианоферратом калия (II), или жёлтой кровяной солью, в кислой среде

В результате химической реакции образуется окрашенная в синий цвет соль с романтическим названием "берлинская лазурь" (прогульщики школьной химии срочно лезут в справочники)

В селезёнке происходит разрушение эритроцитов и захват последних макрофагами

Особенно много макрофагов обнаруживается вокруг капилляров в специальных макрофагальных муфтах

Макрофаги фагоцитируют эритроциты и лизируют их внутри лизосом

Железо, извлечённое из гемоглобина, связывается со специальным белком-хранилищем - ферритином

В дальнейшем оно снова используется организмом для построения гемоглобина и прочих железосодержащих белков