Найти в Дзене
Мария Ким

Ультразвуковые критерии венозного застоя

Острое повреждение почек и другие виды органной дисфункции на фоне сердечной недостаточности в первую очередь определяются низким сердечным выбросом и венозным застоем. Это является следствием повышенного давления наполнения сердца. Ранняя ультразвуковая оценка нижней полой вены у постели больного, УЗИ легких для выявления легочного застоя и эхокардиография все чаще используются для оценки застойной сердечной недостаточности и функции левого желудочка у постели больного. Застой нарушает венозный отток от органов брюшной полости (прежде всего почек и печени). Возможна его неинвазивная оценка при помощи допплеровского УЗИ. Этот тип нарушения кровотока связан с застойной дисфункцией органа и ухудшением клинического исхода. В этом обзоре описаны подходы к оценке венозного застоя у постели больного при помощи допплеровской визуализации. Ультразвуковое исследование венозной перегрузки (Venous Excess Ultrasound, VExUS) - это новый протокол ультразвуковой оценки системного застоя и подбора диу
Оглавление
Острое повреждение почек и другие виды органной дисфункции на фоне сердечной недостаточности в первую очередь определяются низким сердечным выбросом и венозным застоем. Это является следствием повышенного давления наполнения сердца. Ранняя ультразвуковая оценка нижней полой вены у постели больного, УЗИ легких для выявления легочного застоя и эхокардиография все чаще используются для оценки застойной сердечной недостаточности и функции левого желудочка у постели больного. Застой нарушает венозный отток от органов брюшной полости (прежде всего почек и печени). Возможна его неинвазивная оценка при помощи допплеровского УЗИ. Этот тип нарушения кровотока связан с застойной дисфункцией органа и ухудшением клинического исхода. В этом обзоре описаны подходы к оценке венозного застоя у постели больного при помощи допплеровской визуализации.

Ультразвуковое исследование венозной перегрузки (Venous Excess Ultrasound, VExUS) - это новый протокол ультразвуковой оценки системного застоя и подбора диуретиков у постели больного. Целью данного обзора является оценка потенциальных возможностей VExUS у пациентов с острой декомпенсированной сердечной недостаточностью. Динамическое допплеровское исследование является перспективным неинвазивным инструментом быстрой оценки при кардиоренальном синдроме и помогает контролировать введение жидкости и диуретиков. Однако его точность зависит от квалификации специалиста, выполняющего УЗИ.

Введение

Ультразвуковое исследование у постели больного (Point-of-care ultrasound, POCUS) является общепринятым методом оценки функции сердца в различных клинических ситуациях, включая состояние при низком сердечном выбросе и венозный застой. POCUS включает оценку сердечного выброса, давление наполнения левого желудочка, ультразвуковых B-линий легких и внесосудистой жидкости легких с плевральным выпотом. Ультразвуковое исследование легких и сердца повышает диагностическую точность оценки застоя в органах у пациента с сердечной недостаточностью. Застой жидкости в органах играет важную роль в патофизиологии сердечной недостаточности и кардиогенного шока. Органоспецифическая ультразвуковая оценка застоя и перфузии имеет важнейшее значение. Имеются убедительные доказательства того, что независимо от снижения сердечного выброса и почечного кровотока у пациентов с сердечной недостаточностью существует эпидемиологическая связь с венозным застоем и снижением скорости клубочковой фильтрации. Mullens et al. сообщают, что при острой сердечной недостаточности высокое ЦВД предсказывает ухудшение функции почек лучше, чем низкий сердечный индекс. Сердечный индекс обратно пропорционально связан с ухудшением функции почек, однако не связан со скоростью клубочковой фильтрации. Дуплексная эхокардиография с допплерометрией показана пациентам с острой сердечной недостаточностью. Этот тест используется для оценки функции, размера, толщины стенки желудочков, а также функции клапанов.

Ультразвуковое исследование нижней полой вены (НПВ) и ультразвуковое исследование легких (УЗЛ) у постели больного с использованием портативных ультразвуковых аппаратов рекомендовано консенсусом Европейского общества кардиологов (European Society of Cardiology, ESC) в качестве комплексного обследования перед выпиской. Они обеспечивают надежную оценку давления в правом предсердии и легочного застоя и быстро отражают динамические изменения в ответ на лечение.

УЗИ легких важно для выявления застоя в легких, но не оценивает влияние застоя на органы брюшной полости, который приводит к нарушению функции почек и печени у пациентов с правосторонней сердечной недостаточностью. Дисфункция органов при венозном застое вызвана повышением давления в правом предсердии. Повышение давление изменяет характер кровотока в почечной, воротной, печеночных и нижней полой вене. Эти изменения можно количественно оценить при помощи венозной допплерографии. Венозная допплерография на ранних этапах выявляет риск дисфункции органов из-за перегрузки жидкостью или отека.

Нижняя полая вена

Нормальный диаметр нижней полой вены (НПВ) связан с респираторной вариабельностью. В физиологических условиях диаметр НПВ уменьшается, а венозный возврат увеличивается во время вдоха из-за отрицательного внутригрудного давления и меняет направление при положительном внутригрудном давлении. В течение сердечного цикла диаметр НПВ также изменяется (уменьшается в систолу желудочков) у пациентов на спонтанном дыхании. У пациентов в критическом состоянии на диаметр НПВ влияет положение пациента. Американское общество эхокардиографии рекомендует измерять НПВ в положении лежа на спине.

У пациента в критическом состоянии необходимо определить два важных параметра: диаметр нижней полой вены (НПВ) и его вариабельность. В случае острой правожелудочковой недостаточности они указывают на нарушение функции правого желудочка (ПЖ) в некоторых клинических ситуациях.

Оценка диаметра нижней полой вены часто считается неинвазивным способом измерения ЦВД. Измерение ЦВД было описано несколько десятилетий назад и с тех пор стало стандартным методом оценки объема циркулирующей крови и управления инфузионной терапией. Однако последующие исследования указывали на слабую связь между значением ЦВД и объемом циркулирующей крови, а также неспособность прогнозировать гемодинамический ответ на инфузионную нагрузку.

Чтобы оценить изменение диаметра нижней полой вены (НПВ) в течение дыхательного цикла, мы используем индекс коллапса НПВ (IVC collapsibility index, IVCCI). Врач измеряет максимальный (IVCmax) и минимальный (IVCmin) диаметры НПВ на протяжении цикла. IVCCI рассчитывается по формуле (IVCmax - IVCmin) / IVCmax. У пациентов на спонтанном дыхании диаметр НПВ менее 2,1 см с IVCCI более 50% (на вдохе при дыхании через нос) обычно указывает на центральное венозное давление (ЦВД) 0-5 см.вод.ст. Диаметр НПВ менее 2,1 см с IVCCI более 50% (на вдохе при дыхании через нос) обычно указывает на повышенное давление в правом предсердии 10-20 см.вод.ст. IVCCI не валидирован для пациентов на искусственной вентиляции легких с положительным давлением.

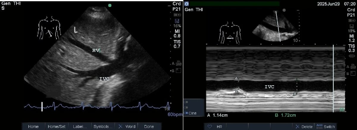
Рис. 1. Датчик в проекции эпигастрия. Демонстрируется печень (L) с нижней полой веной (IVC) и левой печеночной веной (HV)
Рис. 1. Датчик в проекции эпигастрия. Демонстрируется печень (L) с нижней полой веной (IVC) и левой печеночной веной (HV)

Внутригрудное давление является основным фактором, определяющим диаметр нижней полой вены. У человека на спонтанном дыхании на вдохе диаметр нижней полой вены уменьшается по мере нарастания венозного возврата. Выраженный коллапс нижней полой вены может наблюдаться при отрицательном внутригрудном давлении во время форсированного вдоха при респираторном дистрессе и обострении хронической обструктивной болезни легких, что приводит к увеличению венозного возврата в правое предсердие. У пациентов на искусственной вентиляции легких положительное давление в конце выдоха может препятствовать венозному возврату на вдохе из-за повышенного внутригрудного давления. Это давление передается на правое предсердие и нижнюю полую вену (НПВ). У пациентов с низким резервом сердца и зависимостью от преднагрузки, например, с тяжелой гиповолемией, нижняя полая вена (НПВ) демонстрирует сниженную растяжимость, и ее диаметр может не меняться.

Повышенное внутрибрюшное давление оказывает значительное влияние как на венозный возврат, так и на сердечный выброс и диаметр нижней полой вены. В этих условиях нижняя полая вена теряет эластичность, что снижает ее способность реагировать на изменение внутрисосудистого объема. Это изменение механических свойств может привести к ошибочным сонографическим оценкам, особенно у пациентов на инвазивной искусственной вентиляции легких.

Патологии сердца, препятствующие венозному оттоку, например, дисфункция правого желудочка, тяжелая регургитация трехстворчатого клапана и тампонада сердца, повышают давление в правом предсердии, что в свою очередь приводит к расширению нижней полой вены. Расширение нижней полой вены отражает повышение центрального венозного давления, а не состояние внутрисосудистого объема.

Хотя измерения нижней полой вены позволяют оценить центральное венозное давление (ЦВД), они не являются надежными индикаторами реакции на инфузионную нагрузку. Систематический обзор Paul E Marik et al. показал слабую корреляцию между ЦВД и объемом циркулирующей крови. ЦВД не способно предсказать гемодинамический ответ на инфузионную терапию. ЦВД не следует использовать для принятия клинических решений о контроле инфузионной терапии.

Допплеровская оценка печени

Изменения печеночных (ПВ) и воротной вен (ВВ) являются основным методом оценки венозного застоя и толерантности к жидкости. Каждая из них имеет свои характеристики.

Допплерография печеночных вен

Хотя предпочтительнее оценка правой печеночной вены (из-за ее латеральной ориентации и постоянной трехфазной формы волны), левая печеночная вена может быть более доступна в субмечевидной проекции. Используется секторно-фазированный и конвексный датчики. Для визуализации печеночных вен межреберным, субкостальным и трансабдоминальным доступом используются соответствующие акустические окна. Левая и средняя ПВ визуализируются в субкостальной проекции по среднеключичной или подмышечной линии и в межреберном доступе. Форму волны печеночных вен получают на импульсно-волновом изображении на глубине 2-4 см от места впадения печеночных вен в нижнюю полую вену. Для точной интерпретации необходима параллельная запись электрокардиограммы.

Нормальная форма волны печеночных вен имеет четыре компонента: ретроградную волну А, антеградные волны S и D и переходную волну V (которая может быть антеградной или ретроградной). Волна А соответствует сокращению предсердий. При открытом трехстворчатом клапане кровь продвигается в антеградном направлении к правому желудочку и в ретроградном направлении к нижней полой вене и в печеночные вены, что формирует волну А на допплеровском изображении. Волна S появляется в систолу желудочков. Начальный компонент волны S соответствует диастоле правого предсердия. Доминантный и более поздний компонент волны S обусловлен систолой желудочков. Когда правый желудочек сокращается и выбрасывает кровь, нисходящее движение кольца трехстворчатого клапана к верхушке создает отрицательный градиент давления в правом предсердии. Эта разница давлений в сочетании с ограниченным объемом сердца и перикарда способствует быстрому току крови из печеночных вен в правое предсердие, что отображается в виде S-волны на допплеровской кривой.

Рис. 2. Датчик в проекции эпигастрия. Демонстрируется нижняя полая вена (IVC) и ее респираторная вариабельность, а также воротная вена (PV)
Рис. 2. Датчик в проекции эпигастрия. Демонстрируется нижняя полая вена (IVC) и ее респираторная вариабельность, а также воротная вена (PV)
Рис 3. На диаграмме показаны четыре волны нормальной кривой допплеровского спектра печеночной вены
Рис 3. На диаграмме показаны четыре волны нормальной кривой допплеровского спектра печеночной вены

Зубцы V генерируются при наполнении предсердий. Высота зубца V может варьироваться - она может быть ниже, на уровне или выше базовой линии. У здорового человека в отсутствие венозного застоя систолическая волна (волна S) имеет большую амплитуду, чем диастолическая волна (волна D), то есть S>D. При легком застое амплитуда волны S становится меньше амплитуды волны D (S<D). При тяжелой застойной сердечной недостаточности волна S претерпевает инверсию (систолическую реверсию). Зубец S появляется выше базовой линии, в то время как волна D остается единственным компонентом ниже базовой линии. В случае значительной трикуспидальной регургитации инверсия волны S означает ретроградный венозный кровоток.

Оценка воротной вены

Используется конвексный или фазированный датчик. Он располагается по задней подмышечной линии между девятым и одиннадцатым межреберьем или по средней линии. Воротная вена определяется в каудальной части печени. Стенки воротной вены более гиперэхогенны, чем печеночных вен. Характеристики потока изучаются при помощи импульсно-волновой допплерографии, при этом датчик располагается по центру сосуда.

Портальный венозный поток имеет низкую скорость (10-30 см/с) и обычно монофазный, но может быть и двухфазным. Формы волн ВВ испытывают небольшие изменения на протяжении сердечного цикла, также могут наблюдаться респираторные изменения. Индекс портальной пульсации рассчитывается так:

(V. maximum – V. minimum) / V. maximum × 100%,

где V - скорость. Поток считается аномальным, если индекс пульсации превышает 30%. Кроме того индекс пульсации (pulsatility index, PPI) оценивается, чтобы определить, могут ли незначительные изменения в портальном венозном потоке быть значимыми индикаторами венозного застоя.

Рис 4. Диаграмма допплеровских волн печеночных вен. А - норма (S>D), B - систолический реверс (D>S)
Рис 4. Диаграмма допплеровских волн печеночных вен. А - норма (S>D), B - систолический реверс (D>S)
Рис. 5. А - форма волны кровотока в воротной вене с индексом пульсации 42%; B - изменения, характерные для прогрессирующего венозного застоя
Рис. 5. А - форма волны кровотока в воротной вене с индексом пульсации 42%; B - изменения, характерные для прогрессирующего венозного застоя

При снижении систолического кровотока и венозном застое пульсация увеличивается. При тяжелом застое в печени систолический кровоток исчезает. В тяжелых случаях кровоток может стать ретроградным (от датчика).

Измерение индекса пульсации воротной вены (ВВ) позволяет количественно оценить изменение кровотока на протяжении сердечного цикла и указывает на застой в печени. Индекс 30% с высокой вероятностью свидетельствует о застое в печени и связан с более высокой частотой неблагоприятных исходов со стороны почек (ОШ 2,2; 95% ДИ 1,3-3,6).

Венозная допплерография почек

Провести допплерографию почек можно в положении лежа на спине, используя субкостальный доступ в проекции подмышечной линии. Маркер импульсного допплера размещается над междолевыми сосудами. Форма волны обычно считается адекватной, когда артериальный (выше базовой линии) и венозный (ниже базовой линии) компоненты видны в течение двух и более сердечных циклов. Допплеровская кривая почечных вен обычно имеет непрерывный монофазный поток ниже базовой линии, постепенно прерывающийся двумя фазами, аналогично волнам S и D в печеночных венах. Венозный застой ухудшается, когда волна S становится меньше, а волна D более выраженной (подобная картина и в печени). Наконец, волна S полностью исчезает, остается только монофазная волна D.

Рис. 6. А. Нормальные волны допплеровского кровотока внутрипочечных вен и их изменения при венозном застое. B. Количественная оценка внутрипочечного венозного кровотока с использованием индекса почечного венозного стаза (RVSI). Повышение RVSI наблюдается при прогрессировании венозного застоя. A - артериальный кровоток, V - венозный кровоток.
Рис. 6. А. Нормальные волны допплеровского кровотока внутрипочечных вен и их изменения при венозном застое. B. Количественная оценка внутрипочечного венозного кровотока с использованием индекса почечного венозного стаза (RVSI). Повышение RVSI наблюдается при прогрессировании венозного застоя. A - артериальный кровоток, V - венозный кровоток.

Важным параметром, получаемым при помощи допплерографии почечных вен, является внутрипочечный венозный поток (intrarenal venous flow, IRVF). IRVF является индикатором почечного застоя. По мере прогрессирования застоя будет появляться прерывистый рисунок потока. Возможны четыре формы измененной волны: непрерывная, пульсирующая, прерывистая, двухфазная прерывистая (венозные пики во время систолы и диастолы) и монофазная прерывистая (венозный пик во время диастолы). Изменения в допплерографии почечных вен могут быть количественно оценены с использованием отношения времени венозного потока ко времени сердечного цикла - индекса почечного венозного стаза (renal venous stasis index, RVSI). RVSI является отношением, которое количественно определяет долю времени сердечного цикла, в которое не происходит оттока в почечных венах. Он рассчитывается по следующей формуле: (Время сердечного цикла - время венозного кровотока)/время сердечного цикла.

Монофазный паттерн и выраженные изменения в IVRF при допплеровском ультразвуковом исследовании могут быть маркером венозного застоя у пациентов с правожелудочковой сердечной недостаточностью, особенно после операции на сердце. Появление монофазных волн независимо связано с острым повреждением почек. Паттерн IRVF демонстрирует сильную корреляцию с клиникой венозного застоя после операции на сердце. Наличие прерывистого паттерна IRVF свидетельствует о развитии почечного застоя и неблагоприятном прогнозе.

У пациентов, поступивших с клиникой острой сердечной недостаточности, в раннем периоде после выписки застойный тип IRVF связан с повышением уровня сывороточного креатинина. В случаях сохраняющегося застоя в почках у пациентов с уже развившейся дисфункцией почек, наблюдается значительно более высокий уровень креатинина на исходном уровне и спустя 90 дней после выписки. Однако положительный ответ на диуретики смягчал эту корреляцию.

Альтернативные методы допплеровской диагностики венозного застоя

Допплерография бедренных вен (Femoral venous doppler, FVD)

Бедренная вена (БВ) оценивается при помощи высокочастотного линейного датчика (10-14 МГц). Линейный датчик располагается примерно на 1 см ниже паховой связки, параллельно ей. Маркер линейного датчика обращен краниально. Локализуется короткая ось бедренной артерии, после чего датчик поворачивается на 90 градусов и исследуется продольная ось БВ. Бедренная вена исследуется в положении лежа на спине при помощи двумерной импульсно-волновой допплерографии и цветной допплерографии. Волны FVD описываются как нормальные, пульсирующие и пульсирующие с обратным потоком. Пульсирующие и пульсирующие с обратным потоком волны FVD считаются признаками венозного застоя.

Было проведено много исследований оценки БВ как суррогата НПВ. Например, индекс коллапса (collapsibility index, CI) НПВ не коррелирует с CI подключичной вены, внутренней яремной вены и БВ у пациентов с перегрузкой объемом. Таким образом поверхностные венозные сосуды не могут оцениваться альтернативно НПВ. Отсутствие корреляции может быть связано с механическим сдавлением поверхностно расположенных вен во время измерения. Венозный застой оценивался у взрослых пациентов после операции на сердце при помощи протокола VExUS и исследования FVD. Точность VExUS и FVD в оценке венозного застоя составила 80,37 (95% ДИ 71,5-87,4) и 74,7 (95% ДИ 65,4-82,6) соответственно. FVD умеренно коррелирует с данными VExUS и может быть простым и надежным методом оценки венозного застоя. Однако FVD менее надежна при повышенном внутрибрюшном давлении, циррозе печени и респираторном дистрессе. Она не показательна при тромбозе глубоких вен и дает противоречивые результаты при варикозном расширении вен с недостаточностью сафенофеморального соустья.

Внутренняя яремная вена (ВЯБ)

Внутренняя яремная вена (ВЯБ) - это поверхностный сосуд, легко сжимаемый, расположенный вблизи сонной артерии и проходящий под грудино-ключично-сосцевидной мышцей, легко визуализируется при ультразвуковом исследовании.

Обследование пациента проводится в положении полулежа с приподнятой шеей на 30-45 градусов. Используется высокочастотный линейный датчик (10 МГц), который размещается непосредственно под углом нижней челюсти (примерно на 5 см) в области грудино-ключично-сосцевидной мышцы. Помимо B-режима, диаметр ВЯВ и его динамические изменения при пробе Вальсальвы можно измерить в М-режиме ультразвукового исследования.

Коэффициент диаметра яремной вены (Jugular Vein Diameter Ratio, JVDR) - это отношение максимального диаметра при маневре Вальсальвы к диаметру в конце фазы выдоха. У здоровых людей и пациентов с контролируемым застоем диаметр ВЯВ в состоянии покоя 0,1-0,15 см. Маневр Вальсальвы увеличивает диаметр ВЯВ до 1 см. У пациентов без застоя JVDR составляет 4 и более. JVDR менее 2 свидетельствует о венозном застое (диаметр ВЯВ в состоянии покоя увеличен). В другом исследовании изучалось изменение площади поперечного сечения при маневре Вальсальвы. Признаком повышенного давления в правом предсердии и гиперволемии при сердечной недостаточности считается увеличение площади поперечного сечения правой внутренней яремной вены менее чем на 66% по сравнению с пробой Вальсальвы.

Рис. 7. Измерение внутренней яремной вены (IJV). Диаметр ВЯВ изменяется в М-режиме с использование линейного высокочастотного датчика (10 МГц) в состоянии покоя на выдохе (0,28 см) и при пробе Вальсальвы (1,41 см). Соотношение между максимальным (во время выполнения пробы Вальсальвы) и минимальным (в состоянии покоя) диаметрами (JDVR) равно 5 (норма).
Рис. 7. Измерение внутренней яремной вены (IJV). Диаметр ВЯВ изменяется в М-режиме с использование линейного высокочастотного датчика (10 МГц) в состоянии покоя на выдохе (0,28 см) и при пробе Вальсальвы (1,41 см). Соотношение между максимальным (во время выполнения пробы Вальсальвы) и минимальным (в состоянии покоя) диаметрами (JDVR) равно 5 (норма).
Рис. 8. 1 - конец выдоха, 2 - маневр Вальсальвы (V MAN). JVDR составляет 1,48 (менее 2) у пациента с острой сердечной недостаточностью.
Рис. 8. 1 - конец выдоха, 2 - маневр Вальсальвы (V MAN). JVDR составляет 1,48 (менее 2) у пациента с острой сердечной недостаточностью.

В систематическом обзоре не выявлено доказательств надежности JVDR. У амбулаторных пациентов с сердечной недостаточностью низкий JVDR может наблюдаться при высоком уровне NT-proBNP в плазме, однако коррелирует с показателями инвазивного измерения давления в правом предсердии и признаками дисфункции правого желудочка.

Ультразвуковое исследование внутренней яремной вены может использоваться, когда нижняя полая вена недоступна из-за плохого акустического окна при ожирении, вздутии кишечника, наличии хирургической раны. Следует проявлять осторожность при интерпретации ультразвукового исследования внутренней яремной вены в случаях хронической легочной гипертензии, тромбоэмболии легочной артерии или тампонады сердца, когда гиповолемия может наблюдаться при увеличенном диаметре внутренней яремной вены.

Ультразвуковая оценка венозного застоя

Система оценки венозного застоя при ультразвуковом исследовании (Venous Excess in Ultrasound Score, VExUS) - это система оценки тяжести венозного застоя, разработанная Beaubien-Souligny et al. в 2020 году. Изначально система была разработана для прогнозирования развития острого повреждения почек (ОПП) у пациентов, перенесших операцию на сердце. VExUS включает измерение диаметра нижней полой вены (НПВ) и допплеровские показатели кровотока в печеночной, воротной и междолевой почечных венах для оценки степени тяжести венозного застоя.

У пациентов с правожелудочковой сердечной недостаточностью комбинация допплеровского ультразвукового исследования печени и воротной вены, проведенная врачами, прошедшими обучение POCUS, является ценным инструментом оценки венозной гипертензии. Это легкодоступный метод исследования гемодинамики, позволяющий разработать стратегию лечения.

Для пациентов, перенесших кардиохирургическое вмешательство, VExUS может прогнозировать острое повреждение почек. Выраженный застой имеет наибольшую корреляцию с последующим развитием острого повреждения почек (ОПП). При тяжелой степени застоя VExUS определяет расширение нижней полой вены (НПВ) 2 см и более в сочетании как минимум с двумя другими выраженными отклонениями от нормы.

По протоколу VExUS сначала необходимо оценить нижнюю полую вену (НПВ), затем печеночные, воротную и внутрипочечные вены. Допплеровские волны венозного кровотока классифицируются как нормальные, умеренно аномальные и значительно аномальные.

Обзор, использующий систему классификации Rola et al., рекомендует оценивать признаки полнокровия нижней полой вены, а затем индивидуально печеночных, воротной и почечных вен на предмет нормы, легкого или тяжелого застоя. На основании этих оценок VExUS вводит следующую классификацию: степень 0 (нет застоя), степень 1 (легкий застой), степень 2 (тяжелый застой в одном органе) и степень 3 (тяжелый застой по крайней мере в двух из трех систем органов). Это новый инструмент изучения патофизиологии кардиоренального синдрома путем прямого измерения давления во внутрипочечных венах, а не посредством определения ЦВД. Прерывистый IRVF, особенно монофазный паттерн, является показанием к своевременной дегидратационной терапии или прекращению инфузии.

VExUS и ответ на диуретики

Может существовать связь между результатами VExUS и эффективностью диуретиков во время госпитализации по поводу сердечной недостаточности. Небольшое когортное исследование продемонстрировало худший эффект от диуретиков у пациентов с тяжелыми нарушениями по VExUS по сравнению с группой пациентов с 0 и 1 степенью венозного застоя, независимо от уровня креатинина при поступлении и предшествующего опыта приема петлевых диуретиков. Положительный тест RVSI способен предсказать низкую эффективность от диуретиков (p = 0,001). Пациенты с острым повреждением почек, которым требовалась высокая доза фуросемида при степени застоя более 1, при улучшении показателя VExUS в течение 48 часов, прожили без заместительной почечной терапии (ЗПТ) на 28 дней больше. У пациентов, госпитализированных с острым коронарным синдромом, вероятность развития ОПН возрастает с ухудшением степени венозного застоя по VExUS: VExUS 0 - 10,8%; VExUS 1 - 23,8%; VExUS 2 - 75%; VExUS 3 - 100% (p=0,001, ОШ 67,5; 95% ДИ 2,21-23,7). В проспективном исследовании на 81 пациенте, перенесшем катетеризацию правых отделов сердца, VExUS точно выявил венозный застой по сравнению с результатами катетера Сван-Ганца. VExUS эффективно выявляет повышение давления в правом предсердии и острое повреждение почек у госпитализированных пациентов, а также предсказывает ответ на диуретики.

Правожелудочковая сердечная недостаточность и легочная гипертензия

Наиболее надежным методом выявления легочной гипертензии остается катетеризация правых отделов сердца (КПС). Спорным методом является измерение центрального венозного давления.

В проспективном исследовании Longino et al. оценили корреляцию между давлением в правом предсердии и степенью венозного застоя по VExUS (диаметром нижней полой вены) у пациентов, перенесших катетеризацию правых отделов сердца. Была выявлена статистически значимая положительная корреляция между давлением в правом предсердии и степенью тяжести венозного застоя по VExUS (p<0,001). Система VExUS способна указать на давление в правом предсердии (right atrial pressure, RAP) 10 мм.рт.ст. и выше. Это более точная диагностика, чем изолированное измерение диаметра нижней полой вены (НПВ) или индекса коллапса.

Исследование на 124 пациентах с сердечной недостаточностью подтверждает эти наблюдения. Оценка динамических изменений правой внутренней яремной и нижней полой вены во время дыхательного цикла повышает точность неинвазивного определения давления наполнения в правом предсердии. В этом исследовании представлена 3-балльная шкала ультразвуковой диагностики волемического статуса у пациентов с сердечной недостаточностью. Эта шкала включает отсутствие респираторной вариабельности правой внутренней яремной вены, диаметр нижней полой вены в конце выдоха 21 мм и более, отсутствие респираторного коллапса в нижней полой вене. Шкала с высокой эффективностью позволяет выявить повышенное давление в правом предсердии (10 мм.рт.ст. и более) и является более эффективной, чем изолированное исследование нижней полой вены. Шкала показала слабую связь с давлением заклинивания легочной артерии.

Прогнозирование по VExUS

Ухудшение функции почек отмечается у пациентов с острой сердечной недостаточностью и степенью венозного застоя 3 по VExUS. У этих пациентов повышен риск резистентности к диуретикам, чаще требуется инотропная / вазопрессорная поддержка, худший прогноз госпитализации. У 125 пациентов с тяжелой ОПН ультразвуковые признаки застоя были связаны с высокой смертностью и не связаны риском тяжелых почечных осложнений в течение 30 дней.

Исследования

Одно из исследований направлено на выявление связи между допплерографическими признаками венозного застоя и необходимостью заместительной почечной терапии (ЗПТ), а также смертностью у пациентов с септическим шоком. Это рандомизированное контролируемое исследование (РКИ) ANDROMEDA-SHOCK 2, оценивающее управление гемодинамикой в реанимации при септическом шоке. В исследование включено не менее 350 взрослых пациентов, у которых развился септический шок, соответствующий критериям Sepsis-3 в течение 4 часов. Первичными исходами считаются потребность в ЗПТ или смерть в течение 28 дней от момента развития шока.

В другом исследовании протокол неинвазивной ультразвуковой диагностики у пациентов с сепсисом будет сочетать ультразвуковую оценку легких с протоколом VExUS (VExLUS), чтобы помочь врачам контролировать инфузионную терапию. Вторичной целью исследования является оценка связи между результатами VExLUS и негативными эффектами агрессивной инфузии, выявление связи между венозным застоем, выявленным при УЗИ почек и развитием острого повреждения почек, продолжительностью госпитализации и смертностью.

Ограничения

Особенности пациента реанимации могут препятствовать эффективности ультразвукового исследования. Избыточная жировая прослойка, распространенные отеки, некоторые имплантированные медицинские устройства могут снизить точность диагностики. Плохая четкость ультразвукового изображения снижает точность диагностики. VExUS является оператор-зависимым протоколом, его результаты следует оценивать в контексте общего состояния пациента. Следует помнить, что индекс пульсации и скорость кровотока в воротной вене снижаются по мере прогрессирования жировой дистрофии печени. У пациентов с циррозом печени индекс артериальной пульсации обычно повышен и прямо коррелирует с градиентом давления в печеночных венах. У пациентов с тяжелой трикуспидальной регургитацией может наблюдаться систолический реверс при допплерографии печеночных вен даже при нормальном давлении наполнения сердца. Использование VExUS без понимания его технических ограничений может привести к клиническим ошибкам.

Заключение

Венозный застой - ключевой механизм патофизиологии почечной недостаточности при различных заболеваниях, поражающих сердце и почки. Допплеровское исследование вен и оценка состояния различных органов - единственный доступный инструмент оценки полиорганного застоя, который может помочь врачам контролировать внутрисосудистый объем в различных ситуациях. VExUS обладает хорошей прогностической ценностью. Ультразвуковой контроль "у постели больного" дает врачам реанимации очевидные преимущества.

Рис. 9. Компоненты системы диагностики венозного застоя при ультразвуковом исследовании (VExUS). S - систола, D - диастола, L - печень, HV - печеночная вена, IVC - нижняя полая вена.
Рис. 9. Компоненты системы диагностики венозного застоя при ультразвуковом исследовании (VExUS). S - систола, D - диастола, L - печень, HV - печеночная вена, IVC - нижняя полая вена.
Источник: Zouheir Ibrahim Bitar et al. "Ultrasound indicators of organ venous congestion: a narrative review", Annals of Intensive Care.