Добавить в корзинуПозвонить
Найти в Дзене
Naked Science

Мышечная масса замедлила старение мозга

Американские исследователи выяснили, что соотношение мышц и скрытого жира на животе связано со старением мозга. Оказалось, что более молодой мозг был у людей с большим количеством мышц. Тела с большей долей мышечной массой и меньшим количеством скрытого жира на животе с большей вероятностью будут иметь более здоровый и молодой мозг. К такому выводу пришли авторы исследования, которое они представят на ежегодном собрании радиологического общества Северной Америки, сообщает EurekAlert. «Более здоровый мозг, в свою очередь, снижает в будущем риск таких заболеваний, как болезнь Альцгеймера» — рассказал старший автор исследования Сайрус Раджи из Института радиологии Маллинкродта Медицинской школы Вашингтонского университета в Сент-Луисе, штат Миссури. Ученым давно известно, что с возрастом мышцы уменьшаются, а скрытый жир на животе увеличивается. Как пояснил Раджи, новое исследование показывает, что эти показатели связаны и со старением мозга. Измерение мышечной и жировой массы в теле — важ

Американские исследователи выяснили, что соотношение мышц и скрытого жира на животе связано со старением мозга. Оказалось, что более молодой мозг был у людей с большим количеством мышц.

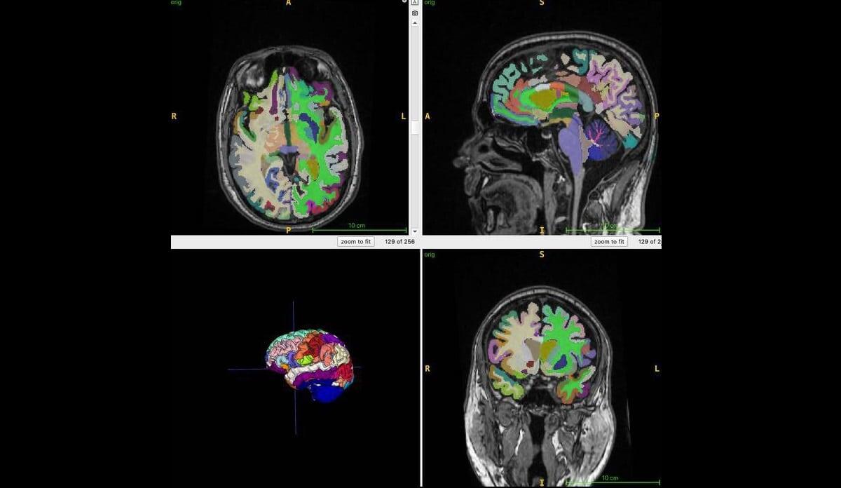
   Карта мозга с цветовой кодировкой показывает пример сегментированных объемов отдельных областей, полученных с помощью объемной МРТ 3D T1. Это используется для вычислений возраста мозга с помощью искусственного интеллекта / © Cyrus Raji, RSNA
Карта мозга с цветовой кодировкой показывает пример сегментированных объемов отдельных областей, полученных с помощью объемной МРТ 3D T1. Это используется для вычислений возраста мозга с помощью искусственного интеллекта / © Cyrus Raji, RSNA

Тела с большей долей мышечной массой и меньшим количеством скрытого жира на животе с большей вероятностью будут иметь более здоровый и молодой мозг. К такому выводу пришли авторы исследования, которое они представят на ежегодном собрании радиологического общества Северной Америки, сообщает EurekAlert.

«Более здоровый мозг, в свою очередь, снижает в будущем риск таких заболеваний, как болезнь Альцгеймера» — рассказал старший автор исследования Сайрус Раджи из Института радиологии Маллинкродта Медицинской школы Вашингтонского университета в Сент-Луисе, штат Миссури.

Ученым давно известно, что с возрастом мышцы уменьшаются, а скрытый жир на животе увеличивается. Как пояснил Раджи, новое исследование показывает, что эти показатели связаны и со старением мозга. Измерение мышечной и жировой массы в теле — важный индикатор состояния мозга и его возраста.

Во время исследования, которое сейчас еще продолжается, ученые обследовали с помощью МРТ тела 1164 здоровых человек из четырех клиник. Женщин среди них было 52%. Средний возраст участников — 55,17 года. Ученые использовали Т1-взвешенные последовательности. При использовании этого метода, жир на МРТ-снимках выглядит светлым, а жидкость — темной. Это помогает оптимально визуализировать мышечную, жировую и мозговую ткани. Алгоритм искусственного интеллекта авторы использовали, чтобы количественно оценить общий нормализованный объем мышц, висцерального жира на животе, подкожного жира и возраста мозга.

Исследователи обнаружили, что более высокое соотношение висцерального жира на животе к мышечной массе связано с большим возрастом мозга. Подкожный жир заметного влияния не оказывал.

Раджи отметил, что рост мышечной массы и снижение висцерального жира — это полезные цели. По его словам, исследование подтвердило широко распространенную гипотезу, что биомаркеры состава тела связаны со здоровьем мозга. Это заложило основу для включения этих биомаркеров в будущие исследования различных методов лечения.