Найти в Дзене
Viru Clinic

Зуб болит при жевании? Разбираем реальный случай восстановления

"Немного дискомфортно жевать на одной стороне" — именно с такой жалобой к нам обратился пациент. Казалось бы, мелочь. Но именно эти "мелочи" часто скрывают серьёзные проблемы. После И вот почему важно не откладывать визит к стоматологу. Что обнаружили на диагностике? При осмотре мы выявили кариозное поражение зуба — те самые разрушенные ткани, которые и вызывали дискомфорт. Кариес коварен: он не всегда болит сразу, но постепенно разрушает зуб изнутри. Кариес Если бы пациент пришёл чуть позже, последствия могли быть серьёзнее: Глубокое поражение и воспаление нерва Необходимость удаления нерва (депульпирование) В худшем случае — потеря зуба Но мы успели вовремя. Как проходило лечение? Всё прошло комфортно и предсказуемо: Шаг 1: Анестезия
Никакой боли — современные препараты работают быстро и мягко. Шаг 2: Коффердам
Это специальная защитная плёнка, которая изолирует зуб от слюны и бактерий. Звучит сложно? На деле — это гарантия стерильности и качества пломбы. Шаг 3: Удаление поражённ
Оглавление

"Немного дискомфортно жевать на одной стороне" — именно с такой жалобой к нам обратился пациент. Казалось бы, мелочь. Но именно эти "мелочи" часто скрывают серьёзные проблемы.

После
После

И вот почему важно не откладывать визит к стоматологу.

Что обнаружили на диагностике?

При осмотре мы выявили кариозное поражение зуба — те самые разрушенные ткани, которые и вызывали дискомфорт. Кариес коварен: он не всегда болит сразу, но постепенно разрушает зуб изнутри.

Кариес
Кариес

Если бы пациент пришёл чуть позже, последствия могли быть серьёзнее:

  • Глубокое поражение и воспаление нерва
  • Необходимость удаления нерва (депульпирование)
  • В худшем случае — потеря зуба

Но мы успели вовремя.

Как проходило лечение?

Всё прошло комфортно и предсказуемо:

Шаг 1: Анестезия

Никакой боли — современные препараты работают быстро и мягко.

Шаг 2: Коффердам

Это специальная защитная плёнка, которая изолирует зуб от слюны и бактерий. Звучит сложно? На деле — это гарантия стерильности и качества пломбы.

Шаг 3: Удаление поражённых тканей

Аккуратно, под контролем, убираем только то, что необходимо. Здоровые ткани остаются нетронутыми.

Шаг 4: Восстановление формы

Используем современный композитный материал, который:

  • Точно повторяет анатомию зуба
  • Обеспечивает плотный контакт с соседними зубами
  • Выглядит естественно

-3

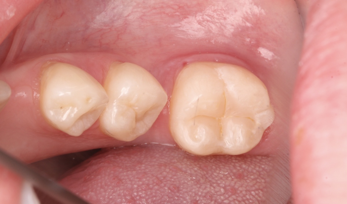
Результат: зуб как новый

После лечения пациент получил:
✅ Полностью восстановленный зуб

✅ Комфорт при жевании

✅ Естественный внешний вид

✅ Уверенность в том, что зуб будет служить долгие годы

После
После

Почему важно не затягивать?

Многие откладывают визит к стоматологу, думая: "Ну, потерплю ещё немного". Но кариес не ждёт. Чем дольше вы тянете, тем:

  • Сложнее лечение
  • Дороже стоимость
  • Выше риск осложнений

А ведь на ранней стадии всё решается быстро, без боли и с минимальным вмешательством.

Как понять, что пора к врачу?

Обратите внимание на эти сигналы:

  • Дискомфорт или боль при жевании
  • Чувствительность к холодному/горячему
  • Застревание пищи между зубами
  • Тёмные пятна на эмали
  • Неприятный запах изо рта

Если хоть один пункт про вас — не откладывайте визит.

Почему пациенты выбирают нас?

В клинике Viru в Санкт-Петербурге мы создали все условия для вашего комфорта:

💎 Опытные врачи — наш терапевт Анна Фурса провела сотни успешных реставраций

💎
Современные материалы — используем композиты последнего поколения

💎
Безболезненное лечение — качественная анестезия и бережный подход

💎
Работа под микроскопом — высочайшая точность и сохранение здоровых тканей

💎
Премиальный сервис — атмосфера заботы и уважения

Забота о зубах — это инвестиция в себя

Здоровые зубы — это не только красивая улыбка. Это:

  • Комфорт в повседневной жизни
  • Уверенность в общении
  • Профилактика серьёзных проблем
  • Экономия времени и денег в будущем

Не ждите, когда "само пройдёт". Позаботьтесь о своих зубах сегодня — и они будут радовать вас долгие годы.

Больше полезных статей читайте на нашем канале и подписывайтесь, чтобы не пропустить свежий выпуск.

Официальный сайт стоматологической клиники в Санкт-Петербурге ViRU

Наш соцсети: Телеграм. Вконтакте

Телефон: +7 (812) 565-35-26