Добавить в корзинуПозвонить
Найти в Дзене
Ferra.ru

Американец забыл пароль от… вживлённого в руку чипа

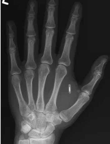
Американский иллюзионист и молекулярный биолог из Миссури по имени Цзы Тэн Ван решил как-то провести эксперимент: он вживил в ладонь микро-чип RFID, чтобы использовать его в своих выступлениях. Всё было хорошо (местам) до недавнего момента. Идея была в том, что зритель касается его руки смартфоном, и на экране появляется заранее подготовленный «магический» эффект. Однако задумка оказалась не такой впечатляющей. Часто у зрителей была отключена функция считывания RFID, а использование собственного телефона выглядело «недостаточно эффектно». В итоге фокусник перестал применять чип в выступлениях и решил перепрограммировать его — сначала записал туда биткоин-адрес, затем прикрепил ссылку на мем на Imgur. Со временем ссылка перестала работать, и он решил заменить её на новую. Но тут возникла проблема: он полностью забыл установленный пароль к чипу. Ван поделился рентгеновским снимком руки, где хорошо виден тот самый чип, и пошутил, что теперь он «потерял доступ к технологии, находящейся вну

Американский иллюзионист и молекулярный биолог из Миссури по имени Цзы Тэн Ван решил как-то провести эксперимент: он вживил в ладонь микро-чип RFID, чтобы использовать его в своих выступлениях. Всё было хорошо (местам) до недавнего момента.

Идея была в том, что зритель касается его руки смартфоном, и на экране появляется заранее подготовленный «магический» эффект. Однако задумка оказалась не такой впечатляющей. Часто у зрителей была отключена функция считывания RFID, а использование собственного телефона выглядело «недостаточно эффектно». В итоге фокусник перестал применять чип в выступлениях и решил перепрограммировать его — сначала записал туда биткоин-адрес, затем прикрепил ссылку на мем на Imgur.

   Соцсети
Соцсети

Со временем ссылка перестала работать, и он решил заменить её на новую. Но тут возникла проблема: он полностью забыл установленный пароль к чипу. Ван поделился рентгеновским снимком руки, где хорошо виден тот самый чип, и пошутил, что теперь он «потерял доступ к технологии, находящейся внутри собственного тела».

Знакомые, разбирающиеся в технике, объяснили, что единственный способ взломать устройство — привязать к ладони считыватель и в течение дней или даже недель перебирать все возможные комбинации.