Добавить в корзинуПозвонить
Найти в Дзене
Москва 24

Врачи центра Рошаля спасли 4-месячную девочку с редким генетическим заболеванием

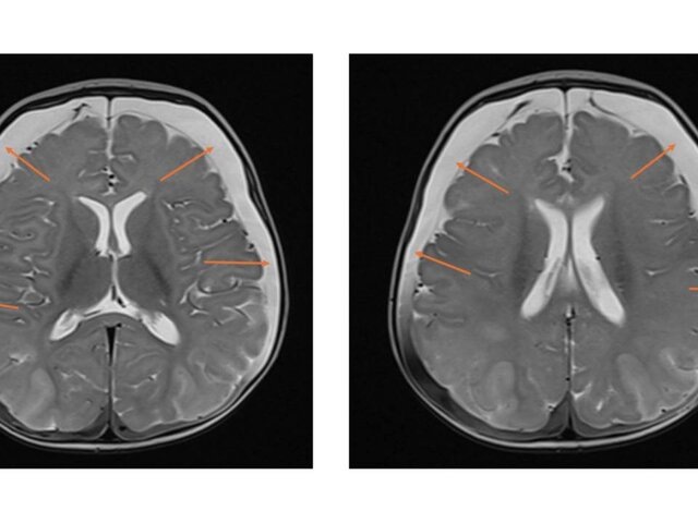
Врачи Детского медицинского центра Рошаля в Красногорске спасли жизнь 4-месячной девочке с редким генетическим заболеванием – ННН-синдромом, сообщает телеканал "360". В медучреждении рассказали, что ребенок поступил в учреждение в тяжелом состоянии с судорожным приступом. При обследовании у младенца обнаружили выпирающий родничок, увеличенный размер головы и превышение нормальной концентрации аммиака почти в пять раз. Результаты МРТ показали следы перенесенных кровоизлияний и серьезное нарушение кровоснабжения мозга. Был поставлен диагноз – ННН-синдром, при котором организм не способен перерабатывать белок, что приводит к отравлению мозга аммиаком. "В стационаре мы подобрали лекарственную терапию, которая помогла прекратить поступление белка. Это позволило предотвратить необратимое повреждение мозга, и через 24 часа уровень аммиака снизился до нормальных значений", – отметила заведующая неврологическим отделением Ирина Ожегова. Состояние девочки стабилизировалось, и ее уже выписали для
   Фото: mz.mosreg.ru
Фото: mz.mosreg.ru

Врачи Детского медицинского центра Рошаля в Красногорске спасли жизнь 4-месячной девочке с редким генетическим заболеванием – ННН-синдромом, сообщает телеканал "360".

В медучреждении рассказали, что ребенок поступил в учреждение в тяжелом состоянии с судорожным приступом. При обследовании у младенца обнаружили выпирающий родничок, увеличенный размер головы и превышение нормальной концентрации аммиака почти в пять раз.

Результаты МРТ показали следы перенесенных кровоизлияний и серьезное нарушение кровоснабжения мозга. Был поставлен диагноз – ННН-синдром, при котором организм не способен перерабатывать белок, что приводит к отравлению мозга аммиаком.

"В стационаре мы подобрали лекарственную терапию, которая помогла прекратить поступление белка. Это позволило предотвратить необратимое повреждение мозга, и через 24 часа уровень аммиака снизился до нормальных значений", – отметила заведующая неврологическим отделением Ирина Ожегова.

Состояние девочки стабилизировалось, и ее уже выписали для дальнейшего амбулаторного лечения.

Ранее сообщалось, что врачи Сеченовского университета впервые в мире провели успешную операцию по восстановлению барабанной перепонки с помощью биоэквивалента из собственных клеток пациента. Операция длилась около 40 минут, что значительно меньше времени классического вмешательства.

Читайте "Москва 24" в Telegram - подписаться