Добавить в корзинуПозвонить
Найти в Дзене
Expert Med

Пару слов о бактериальном вагинозе..

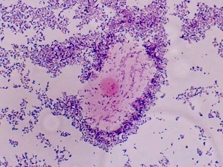
Знакомо ли вам понятие «ключевые клетки» (clue cells)? Этот термин используется для описания поверхностных эпителиоцитов влагалища, плотно покрытых бактериальными клетками, преимущественно Gardnerella vaginalis и кокковыми микроорганизмами. Наличие ключевых клеток является характерным признаком бактериального вагиноза — состояния, при котором происходит утрата части нормальной лактофлоры (Lactobacillus spp.) и замещение её условно-патогенными бактериями. В норме их нет в мазке! 🔁Такое нарушение приводит к смещению рН влагалища с кислой реакции на слабощелочную, что сопровождается нарушением местного иммунного гомеостаза и появлением клинических симптомов: жжения, дискомфорта и патологических выделений. 🔬 Как выявляют? При микроскопии нативных или окрашенных препаратов контуры эпителиальных клеток становятся размытыми, а цитоплазма приобретает зернистый вид вследствие плотной адгезии бактериальных клеток. Сравните: 🔶На первом изображении — норма: преобладание крупных грамположительн

Знакомо ли вам понятие «ключевые клетки» (clue cells)?

Этот термин используется для описания поверхностных эпителиоцитов влагалища, плотно покрытых бактериальными клетками, преимущественно Gardnerella vaginalis и кокковыми микроорганизмами.

Наличие ключевых клеток является характерным признаком бактериального вагиноза — состояния, при котором происходит утрата части нормальной лактофлоры (Lactobacillus spp.) и замещение её условно-патогенными бактериями. В норме их нет в мазке!

🔁Такое нарушение приводит к смещению рН влагалища с кислой реакции на слабощелочную, что сопровождается нарушением местного иммунного гомеостаза и появлением клинических симптомов: жжения, дискомфорта и патологических выделений.

🔬 Как выявляют?

При микроскопии нативных или окрашенных препаратов контуры эпителиальных клеток становятся размытыми, а цитоплазма приобретает зернистый вид вследствие плотной адгезии бактериальных клеток.

-2

Сравните:

🔶На первом изображении — норма: преобладание крупных грамположительных палочек Lactobacillus spp.

🔶На втором — патология: ключевые клетки, характерные для бактериального вагиноза.

P.S. Как видите, не все то, что вызывает дискомфорт = кандидоз и требует применения противогрибковых препаратов. ❗️Поэтому для дифференцирования бактериального вагиноза от грибкового поражения необходимо сделать мазок (с постановкой чувствительности к препаратам) и только потом назначать лечение 🔍

✅Кстати, состояние микробиоценоза половых путей в домашних условиях можно определить по кислотности - тест плоски на рН (кольпо-тест pН).

-----------------------------------

Еще больше материалов для студентов медицинских ВУЗов тут.