Добавить в корзинуПозвонить
Найти в Дзене

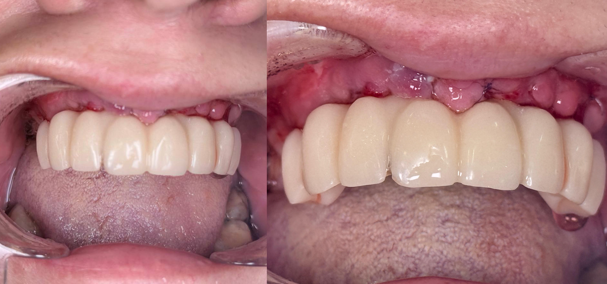
Почему мы ставим временные коронки на импланты и не используем адаптивные несъемные протезы

Сегодня мы установили временные лабораторные коронки на четырех имплантах. Каждый имплант имеет стабильный торк 50 Н, что дает нам надежную первичную фиксацию. Следующий этап уже определен заранее: двусторонний синус-лифтинг с установкой еще двух имплантов. И здесь, как и в предыдущем случае, мы снова выбрали конструкцию из временных коронок. Объясню, почему. Мы не любим адаптивные несъемные протезы на имплантах. Они выглядят заманчиво в теории, но в практике часто мешают нормальной адаптации. Пациент получает как будто финальную конструкцию, но она не финальная. Это вызывает искажение прикуса, неправильные привычки и сложности в последующей работе. Временные лабораторные коронки работают иначе. Они дают возможность комфортно адаптироваться к новым зубам, не перегружают импланты и позволяют врачу спокойно вести лечение: контролировать прикус, мягкие ткани, эстетику и реакцию пациента. По факту это мост, который аккуратно превращает переходный период в мягкое, предсказуемое и безопасное

Сегодня мы установили временные лабораторные коронки на четырех имплантах. Каждый имплант имеет стабильный торк 50 Н, что дает нам надежную первичную фиксацию. Следующий этап уже определен заранее: двусторонний синус-лифтинг с установкой еще двух имплантов.

И здесь, как и в предыдущем случае, мы снова выбрали конструкцию из временных коронок. Объясню, почему.

Мы не любим адаптивные несъемные протезы на имплантах. Они выглядят заманчиво в теории, но в практике часто мешают нормальной адаптации. Пациент получает как будто финальную конструкцию, но она не финальная. Это вызывает искажение прикуса, неправильные привычки и сложности в последующей работе.

Временные лабораторные коронки работают иначе. Они дают возможность комфортно адаптироваться к новым зубам, не перегружают импланты и позволяют врачу спокойно вести лечение: контролировать прикус, мягкие ткани, эстетику и реакцию пациента.

-2

По факту это мост, который аккуратно превращает переходный период в мягкое, предсказуемое и безопасное привыкание. Мы видим, как пациент живет с конструкцией, что нужно скорректировать, что улучшить перед постоянными коронками.

Правильная адаптация всегда важнее скорости. В имплантологии выигрыш получает тот, кто идет небольшими, но точными шагами.

Если хочешь разбирать имплантацию простым языком и без скучных слов, у нас в Telegram выходит больше живых объяснений, фото из практики и разборов кейсов:

Италика 🦷 Стоматология СПб | Выборгский р-н | Пародонтология