Добавить в корзинуПозвонить
Найти в Дзене

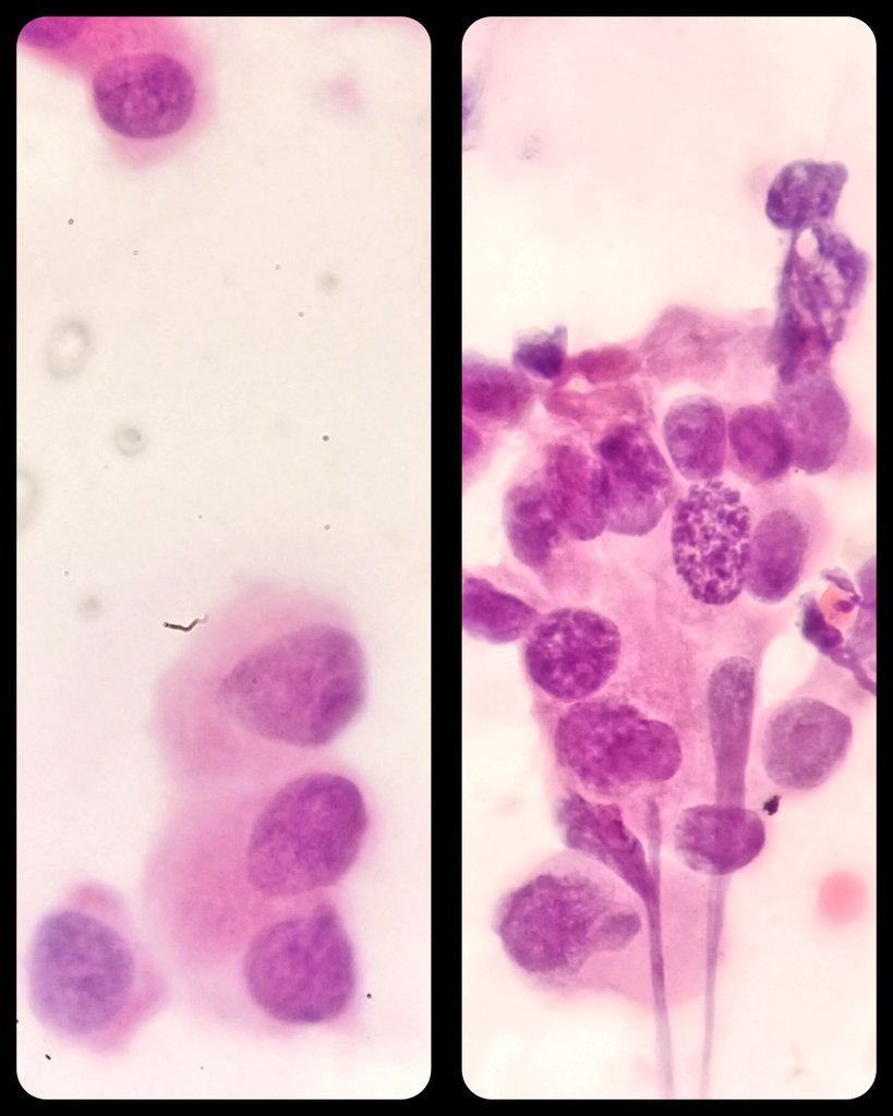
♀ Образование в молочной железе

♀ Образование в молочной железе 💉 Тонкоигольная аспирационная биопсия под контролем ультразвука 🔬 Протоковая карцинома. Категория С5 по Йокогамской системе. #цитология #молочнаяжелеза

♀ Образование в молочной железе

💉 Тонкоигольная аспирационная биопсия под контролем ультразвука

🔬 Протоковая карцинома. Категория С5 по Йокогамской системе.

#цитология #молочнаяжелеза

-2