Добавить в корзинуПозвонить
Найти в Дзене
«Рязанские новости»

В Рязани спасли 92-летнюю пациентку с тяжёлой двусторонней пневмонией

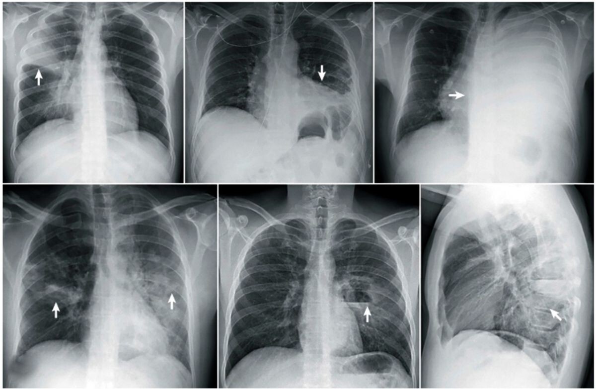
В Рязани врачи Областной клинической больницы вылечили 92-летнюю женщину, поступившую с тяжёлой формой пневмонии. Об этом сообщили на странице медицинского учреждения. Пожилая рязанка обратилась в поликлинику номер 14 с жалобами на одышку. Во время осмотра терапевт заподозрила воспаление лёгких - при аускультации были слышны влажные мелкопузырчатые хрипы, которые могут свидетельствовать о скоплении мокроты в дыхательных путях. Пациентку доставили в ОКБ бригадой скорой помощи. В ходе дополнительного обследования врачи выявили двустороннюю пневмонию средней степени тяжести с поражением лёгочной ткани до 60 процентов. Ситуацию осложняли сопутствующие заболевания, в том числе сахарный диабет второго типа. Из-за тяжёлого дыхательного недостаточности женщину подключили к аппарату искусственной вентиляции лёгких. В течение 20 дней медики боролись за её жизнь. Постепенно состояние пациентки улучшилось: сначала она смогла самостоятельно передвигаться по палате, а позже - выходить на прогулки в

В Рязани врачи Областной клинической больницы вылечили 92-летнюю женщину, поступившую с тяжёлой формой пневмонии. Об этом сообщили на странице медицинского учреждения.

Пожилая рязанка обратилась в поликлинику номер 14 с жалобами на одышку. Во время осмотра терапевт заподозрила воспаление лёгких - при аускультации были слышны влажные мелкопузырчатые хрипы, которые могут свидетельствовать о скоплении мокроты в дыхательных путях.

Пациентку доставили в ОКБ бригадой скорой помощи. В ходе дополнительного обследования врачи выявили двустороннюю пневмонию средней степени тяжести с поражением лёгочной ткани до 60 процентов. Ситуацию осложняли сопутствующие заболевания, в том числе сахарный диабет второго типа.

Из-за тяжёлого дыхательного недостаточности женщину подключили к аппарату искусственной вентиляции лёгких. В течение 20 дней медики боролись за её жизнь.

Постепенно состояние пациентки улучшилось: сначала она смогла самостоятельно передвигаться по палате, а позже - выходить на прогулки в сопровождении родственников. После курса антибактериальной терапии и стабилизации состояния пожилую женщину выписали под наблюдение специалистов по месту жительства.

Мария Труханова
Журналист