Добавить в корзинуПозвонить
Найти в Дзене

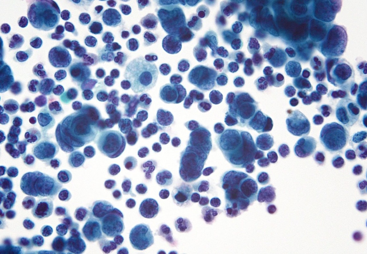
Метастазы мелкоклеточного рака легкого в плевральном выпоте

Метастазы мелкоклеточного рака легкого в плевральном выпоте. Препарат получен методом центрифугирования. Объектив 60x. Окрашивание по Папаниколау. #цитология #цитологияжидкостей

Метастазы мелкоклеточного рака легкого в плевральном выпоте.

Препарат получен методом центрифугирования.

Объектив 60x. Окрашивание по Папаниколау.

#цитология #цитологияжидкостей