Π”ΠΎΠ±Π°Π²ΠΈΡ‚ΡŒ Π² ΠΊΠΎΡ€Π·ΠΈΠ½ΡƒΠŸΠΎΠ·Π²ΠΎΠ½ΠΈΡ‚ΡŒ
Найти Π² Π”Π·Π΅Π½Π΅
Ormco Россия

πŸ’™ Π”ΠΎΡ€ΠΎΠ³ΠΈΠ΅ ΠΊΠΎΠ»Π»Π΅Π³ΠΈ! Π’ Ρ€ΡƒΠ±Ρ€ΠΈΠΊΠ΅ #клиничСская_срСда дСлимся клиничСским случаСм Π²Ρ€Π°Ρ‡Π° Π”ΠΎΡ€ΠΎΡ„Π΅Π΅Π²ΠΎΠΉ ΠŸΠΎΠ»ΠΈΠ½Ρ‹ АлСксандровны @dr.dorofeeva_polina

πŸ’™ Π”ΠΎΡ€ΠΎΠ³ΠΈΠ΅ ΠΊΠΎΠ»Π»Π΅Π³ΠΈ! Π’ Ρ€ΡƒΠ±Ρ€ΠΈΠΊΠ΅ #клиничСская_срСда дСлимся клиничСским случаСм Π²Ρ€Π°Ρ‡Π° Π”ΠΎΡ€ΠΎΡ„Π΅Π΅Π²ΠΎΠΉ ΠŸΠΎΠ»ΠΈΠ½Ρ‹ АлСксандровны @dr.dorofeeva_polina ΠšΠ»ΠΈΠ½ΠΈΡ‡Π΅ΡΠΊΠ°Ρ ситуация: ΠŸΠ°Ρ†ΠΈΠ΅Π½Ρ‚ обратился для ΠΊΠΎΡ€Ρ€Π΅ΠΊΡ†ΠΈΠΈ эстСтики ΡƒΠ»Ρ‹Π±ΠΊΠΈ Π±Π΅Π· нСобходимости слоТной ΠΌΠ΅Ρ…Π°Π½ΠΈΠΊΠΈ ΠΈ Π΄Π»ΠΈΡ‚Π΅Π»ΡŒΠ½ΠΎΠ³ΠΎ лСчСния. План лСчСния: 1️⃣ Π’Ρ‹Ρ€Π°Π²Π½ΠΈΠ²Π°Π½ΠΈΠ΅ ΠΈ Ρ€Π°ΡΡˆΠΈΡ€Π΅Π½ΠΈΠ΅ Π·ΡƒΠ±Π½Ρ‹Ρ… рядов. 2️⃣ Π£Π»ΡƒΡ‡ΡˆΠ΅Π½ΠΈΠ΅ эстСтики ΡƒΠ»Ρ‹Π±ΠΊΠΈ. 3️⃣ Π£Π²Π΅Π»ΠΈΡ‡Π΅Π½ΠΈΠ΅ экспозиции Ρ€Π΅Π·Ρ†ΠΎΠ². Π Π΅Π·ΡƒΠ»ΡŒΡ‚Π°Ρ‚Ρ‹: πŸ”Ή Π›Π΅Ρ‡Π΅Π½ΠΈΠ΅ ΠΏΡ€ΠΎΠ²Π΅Π΄Π΅Π½ΠΎ Π½Π° Π±Ρ€Π΅ΠΊΠ΅Ρ‚-систСмС Damon Q2. πŸ”Ή Π‘Ρ€ΠΎΠΊ лСчСния β€” 1 Π³ΠΎΠ΄ ΠΈ 1 мСсяц. πŸ”Ή Достигнут Π²Ρ‹Ρ€Π°ΠΆΠ΅Π½Π½Ρ‹ΠΉ эстСтичСский Ρ€Π΅Π·ΡƒΠ»ΡŒΡ‚Π°Ρ‚ Π±Π΅Π· слоТных Π²ΠΌΠ΅ΡˆΠ°Ρ‚Π΅Π»ΡŒΡΡ‚Π². πŸ’¬ Π”Π΅Π»ΠΈΡ‚Π΅ΡΡŒ своим ΠΎΠΏΡ‹Ρ‚ΠΎΠΌ ΠΈ Π·Π°Π΄Π°Π²Π°ΠΉΡ‚Π΅ вопросы β€” вмСстС ΠΌΡ‹ Π΄Π΅Π»Π°Π΅ΠΌ ΠΊΠ»ΠΈΠ½ΠΈΡ‡Π΅ΡΠΊΡƒΡŽ ΠΏΡ€Π°ΠΊΡ‚ΠΈΠΊΡƒ сильнСС!

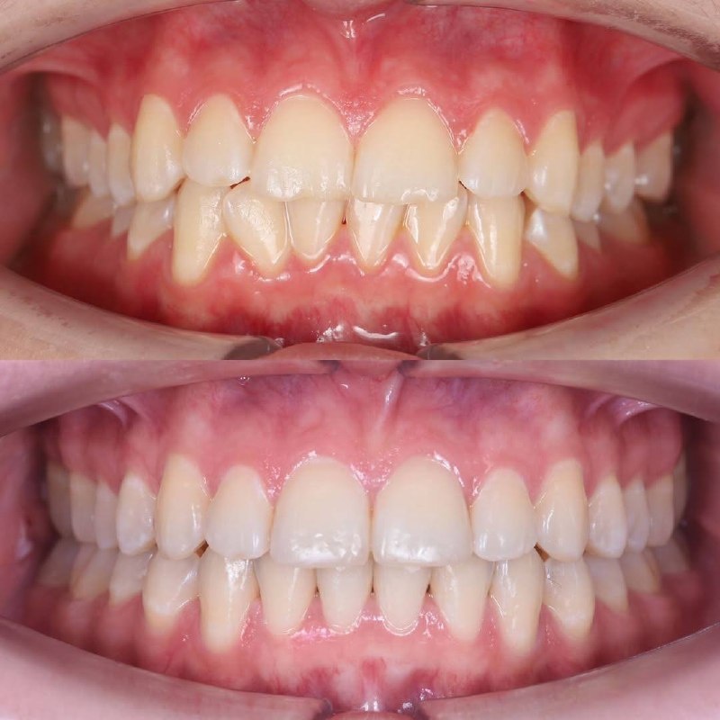
πŸ’™ Π”ΠΎΡ€ΠΎΠ³ΠΈΠ΅ ΠΊΠΎΠ»Π»Π΅Π³ΠΈ! Π’ Ρ€ΡƒΠ±Ρ€ΠΈΠΊΠ΅ #клиничСская_срСда дСлимся клиничСским случаСм Π²Ρ€Π°Ρ‡Π° Π”ΠΎΡ€ΠΎΡ„Π΅Π΅Π²ΠΎΠΉ ΠŸΠΎΠ»ΠΈΠ½Ρ‹ АлСксандровны @dr.dorofeeva_polina

ΠšΠ»ΠΈΠ½ΠΈΡ‡Π΅ΡΠΊΠ°Ρ ситуация:

ΠŸΠ°Ρ†ΠΈΠ΅Π½Ρ‚ обратился для ΠΊΠΎΡ€Ρ€Π΅ΠΊΡ†ΠΈΠΈ эстСтики ΡƒΠ»Ρ‹Π±ΠΊΠΈ Π±Π΅Π· нСобходимости слоТной ΠΌΠ΅Ρ…Π°Π½ΠΈΠΊΠΈ ΠΈ Π΄Π»ΠΈΡ‚Π΅Π»ΡŒΠ½ΠΎΠ³ΠΎ лСчСния.

План лСчСния:

1️⃣ Π’Ρ‹Ρ€Π°Π²Π½ΠΈΠ²Π°Π½ΠΈΠ΅ ΠΈ Ρ€Π°ΡΡˆΠΈΡ€Π΅Π½ΠΈΠ΅ Π·ΡƒΠ±Π½Ρ‹Ρ… рядов.

2️⃣ Π£Π»ΡƒΡ‡ΡˆΠ΅Π½ΠΈΠ΅ эстСтики ΡƒΠ»Ρ‹Π±ΠΊΠΈ.

3️⃣ Π£Π²Π΅Π»ΠΈΡ‡Π΅Π½ΠΈΠ΅ экспозиции Ρ€Π΅Π·Ρ†ΠΎΠ².

Π Π΅Π·ΡƒΠ»ΡŒΡ‚Π°Ρ‚Ρ‹:

πŸ”Ή Π›Π΅Ρ‡Π΅Π½ΠΈΠ΅ ΠΏΡ€ΠΎΠ²Π΅Π΄Π΅Π½ΠΎ Π½Π° Π±Ρ€Π΅ΠΊΠ΅Ρ‚-систСмС Damon Q2.

πŸ”Ή Π‘Ρ€ΠΎΠΊ лСчСния β€” 1 Π³ΠΎΠ΄ ΠΈ 1 мСсяц.

πŸ”Ή Достигнут Π²Ρ‹Ρ€Π°ΠΆΠ΅Π½Π½Ρ‹ΠΉ эстСтичСский Ρ€Π΅Π·ΡƒΠ»ΡŒΡ‚Π°Ρ‚ Π±Π΅Π· слоТных Π²ΠΌΠ΅ΡˆΠ°Ρ‚Π΅Π»ΡŒΡΡ‚Π².

πŸ’¬ Π”Π΅Π»ΠΈΡ‚Π΅ΡΡŒ своим ΠΎΠΏΡ‹Ρ‚ΠΎΠΌ ΠΈ Π·Π°Π΄Π°Π²Π°ΠΉΡ‚Π΅ вопросы β€” вмСстС ΠΌΡ‹ Π΄Π΅Π»Π°Π΅ΠΌ ΠΊΠ»ΠΈΠ½ΠΈΡ‡Π΅ΡΠΊΡƒΡŽ ΠΏΡ€Π°ΠΊΡ‚ΠΈΠΊΡƒ сильнСС!

-2
-3
-4
-5
-6
-7