Найти в Дзене
Михаил | Черниенко

Мужчину с инсультом спасли в Истринской больнице

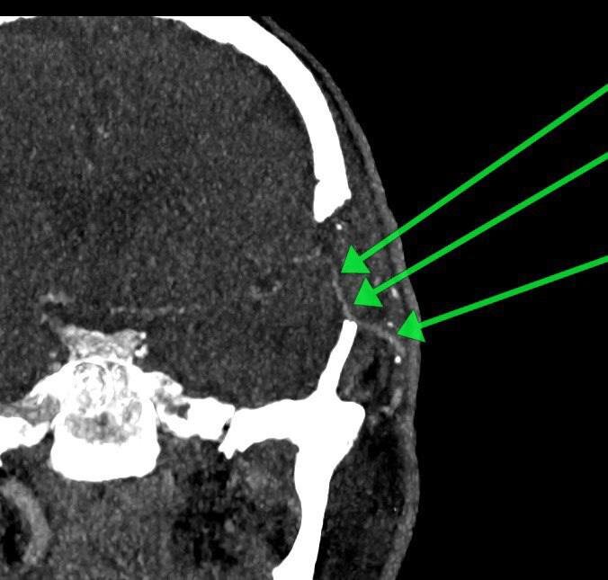
Нейрохирурги выполнили уникальную операцию 59-летнему пациенту, создав обходной путь для артерии, питающей мозг. Об этом сообщили в Минздраве Московской области. «В течение почти четырех часов хирурги под микроскопом сшивали сосуды диаметром менее 2 миллиметров. Тем самым, мы успешно создали для кровотока новый путь», – рассказал нейрохирург Истринской больницы Николай Карпов. На данный момент мужчину уже выписали, он находится дома на амбулаторном лечении. Контрольное обследование через месяц подтвердило: созданный «обходной путь» работает идеально, состояние пациента улучшается, а угроза повторного инсульта устранена

Нейрохирурги выполнили уникальную операцию 59-летнему пациенту, создав обходной путь для артерии, питающей мозг. Об этом сообщили в Минздраве Московской области.

«В течение почти четырех часов хирурги под микроскопом сшивали сосуды диаметром менее 2 миллиметров. Тем самым, мы успешно создали для кровотока новый путь», – рассказал нейрохирург Истринской больницы Николай Карпов.

На данный момент мужчину уже выписали, он находится дома на амбулаторном лечении. Контрольное обследование через месяц подтвердило: созданный «обходной путь» работает идеально, состояние пациента улучшается, а угроза повторного инсульта устранена

https://dzen.ru/suite/9b833f1a-cfd1-4f02-91b9-f07f1dc96a97
https://dzen.ru/suite/9b833f1a-cfd1-4f02-91b9-f07f1dc96a97
https://dzen.ru/suite/9b833f1a-cfd1-4f02-91b9-f07f1dc96a97
https://dzen.ru/suite/9b833f1a-cfd1-4f02-91b9-f07f1dc96a97