Π”ΠΎΠ±Π°Π²ΠΈΡ‚ΡŒ Π² ΠΊΠΎΡ€Π·ΠΈΠ½ΡƒΠŸΠΎΠ·Π²ΠΎΠ½ΠΈΡ‚ΡŒ
Найти Π² Π”Π·Π΅Π½Π΅
Π”ΠΎΠΊΡ‚ΠΎΡ€, Ρ‡Ρ‚ΠΎ это?

🧠 МосковскиС Ρ…ΠΈΡ€ΡƒΡ€Π³ΠΈ ΡƒΠ΄Π°Π»ΠΈΠ»ΠΈ ΡΠ»ΠΎΠΆΠ½ΡƒΡŽ ΠΎΠΏΡƒΡ…ΠΎΠ»ΡŒ ΠΌΠΎΠ·Π³Π° Ρƒ 15-Π»Π΅Ρ‚Π½Π΅Π³ΠΎ подростка

🧠 МосковскиС Ρ…ΠΈΡ€ΡƒΡ€Π³ΠΈ ΡƒΠ΄Π°Π»ΠΈΠ»ΠΈ ΡΠ»ΠΎΠΆΠ½ΡƒΡŽ ΠΎΠΏΡƒΡ…ΠΎΠ»ΡŒ ΠΌΠΎΠ·Π³Π° Ρƒ 15-Π»Π΅Ρ‚Π½Π΅Π³ΠΎ подростка Π’ ДСтском клиничСском Ρ†Π΅Π½Ρ‚Ρ€Π΅ ΠΈΠΌ. Рошаля Π²Ρ€Π°Ρ‡ΠΈ спасли подростка, ΠΏΠΎΡΡ‚ΡƒΠΏΠΈΠ²ΡˆΠ΅Π³ΠΎ с постоянной Ρ‚ΠΎΡˆΠ½ΠΎΡ‚ΠΎΠΉ ΠΈ Ρ€Π²ΠΎΡ‚ΠΎΠΉ, ΠΊΠΎΡ‚ΠΎΡ€Ρ‹Π΅ Π½Π΅ поддавались Π»Π΅Ρ‡Π΅Π½ΠΈΡŽ. πŸ“ ОбслСдованиС ΠΏΠΎΠΊΠ°Π·Π°Π»ΠΎ ΠΎΠ±ΡŠΡ‘ΠΌΠ½ΠΎΠ΅ ΠΎΠ±Ρ€Π°Π·ΠΎΠ²Π°Π½ΠΈΠ΅ Π² Π·Π°Π΄Π½Π΅ΠΉ Ρ‡Π΅Ρ€Π΅ΠΏΠ½ΠΎΠΉ ямкС β€” ΠΎΠΏΡƒΡ…ΠΎΠ»ΡŒ Ρ€Π°Π·ΠΌΠ΅Ρ€ΠΎΠΌ ΠΎΠΊΠΎΠ»ΠΎ 5 см. Она Π½Π°Ρ…ΠΎΠ΄ΠΈΠ»Π°ΡΡŒ Π² Π·ΠΎΠ½Π΅, ΠΎΡ‚Π²Π΅Ρ‡Π°ΡŽΡ‰Π΅ΠΉ Π·Π° ΠΆΠΈΠ·Π½Π΅Π½Π½ΠΎ Π²Π°ΠΆΠ½Ρ‹Π΅ Ρ„ΡƒΠ½ΠΊΡ†ΠΈΠΈ, ΠΈ прСдставляла ΠΏΡ€ΡΠΌΡƒΡŽ ΡƒΠ³Ρ€ΠΎΠ·Ρƒ ΠΆΠΈΠ·Π½ΠΈ. πŸ‘¨β€βš•οΈ Π₯ΠΈΡ€ΡƒΡ€Π³ΠΈ ΠΏΡ€ΠΎΠ²Π΅Π»ΠΈ ΡΠ»ΠΎΠΆΠ½Π΅ΠΉΡˆΡƒΡŽ ΠΎΠΏΠ΅Ρ€Π°Ρ†ΠΈΡŽ с ΠΏΡ€ΠΈΠΌΠ΅Π½Π΅Π½ΠΈΠ΅ΠΌ ΡƒΠ»ΡŒΡ‚Ρ€Π°Π·Π²ΡƒΠΊΠΎΠ²ΠΎΠ³ΠΎ аспиратора, Π°ΠΊΠΊΡƒΡ€Π°Ρ‚Π½ΠΎ ΡƒΠ΄Π°Π»ΠΈΠ² Π½ΠΎΠ²ΠΎΠΎΠ±Ρ€Π°Π·ΠΎΠ²Π°Π½ΠΈΠ΅, Π½Π΅ ΠΏΠΎΠ²Ρ€Π΅Π΄ΠΈΠ² ΠΏΡ€ΠΈ этом критичСскиС структуры ΠΌΠΎΠ·Π³Π°. ПослС Π²ΠΌΠ΅ΡˆΠ°Ρ‚Π΅Π»ΡŒΡΡ‚Π²Π° подросток быстро ΠΏΠΎΡˆΡ‘Π» Π½Π° ΠΏΠΎΠΏΡ€Π°Π²ΠΊΡƒ ΠΈ ΡƒΠΆΠ΅ выписан Π² ΡƒΠ΄ΠΎΠ²Π»Π΅Ρ‚Π²ΠΎΡ€ΠΈΡ‚Π΅Π»ΡŒΠ½ΠΎΠΌ состоянии. Π’Ρ€Π°Ρ‡ΠΈ ΠΏΡ€ΠΎΠ³Π½ΠΎΠ·ΠΈΡ€ΡƒΡŽΡ‚ ΠΏΠΎΠ»Π½ΠΎΠ΅ восстановлСниС ΠΈ Π²ΠΎΠ·Π²Ρ€Π°Ρ‰Π΅Π½ΠΈΠ΅ ΠΊ ΠΎΠ±Ρ‹Ρ‡Π½ΠΎΠΉ ΠΆΠΈΠ·Π½ΠΈ. πŸ₯ Π‘ΠΎΠ²Ρ€Π΅ΠΌΠ΅Π½Π½Ρ‹Π΅ ΠΌΠ΅Ρ‚ΠΎΠ΄Ρ‹ Π½Π΅ΠΉΡ€ΠΎΡ…ΠΈΡ€ΡƒΡ€Π³ΠΈΠΈ ΠΏΠΎΠ·Π²ΠΎΠ»ΡΡŽΡ‚ ΠΏΡ€ΠΎΠ²ΠΎΠ΄ΠΈΡ‚ΡŒ Ρ‚Π°ΠΊΠΈΠ΅ ΠΎΠΏΠ΅Ρ€Π°Ρ†ΠΈΠΈ с ΠΌΠΈΠ½ΠΈΠΌΠ°Π»ΡŒΠ½Ρ‹ΠΌΠΈ рисками ΠΈ высокой Ρ‚ΠΎΡ‡Π½ΠΎΡΡ‚ΡŒΡŽ β€” особСнно Π²Π°ΠΆΠ½ΠΎ это для Π΄Π΅Ρ‚Π΅ΠΉ, Π³Π΄Π΅ Ρ†Π΅Π½Π° ошибки особСнно высока. πŸ‘¨β€βš•οΈΠšΠ°Π½Π°Π» Π”Π§Π­ l ❓Вопросы Π²Ρ€Π°Ρ‡Π°ΠΌ

🧠 МосковскиС Ρ…ΠΈΡ€ΡƒΡ€Π³ΠΈ ΡƒΠ΄Π°Π»ΠΈΠ»ΠΈ ΡΠ»ΠΎΠΆΠ½ΡƒΡŽ ΠΎΠΏΡƒΡ…ΠΎΠ»ΡŒ ΠΌΠΎΠ·Π³Π° Ρƒ 15-Π»Π΅Ρ‚Π½Π΅Π³ΠΎ подростка

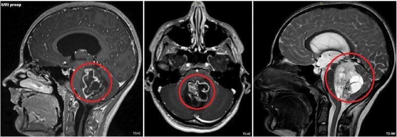
Π’ ДСтском клиничСском Ρ†Π΅Π½Ρ‚Ρ€Π΅ ΠΈΠΌ. Рошаля Π²Ρ€Π°Ρ‡ΠΈ спасли подростка, ΠΏΠΎΡΡ‚ΡƒΠΏΠΈΠ²ΡˆΠ΅Π³ΠΎ с постоянной Ρ‚ΠΎΡˆΠ½ΠΎΡ‚ΠΎΠΉ ΠΈ Ρ€Π²ΠΎΡ‚ΠΎΠΉ, ΠΊΠΎΡ‚ΠΎΡ€Ρ‹Π΅ Π½Π΅ поддавались Π»Π΅Ρ‡Π΅Π½ΠΈΡŽ.

πŸ“ ОбслСдованиС ΠΏΠΎΠΊΠ°Π·Π°Π»ΠΎ ΠΎΠ±ΡŠΡ‘ΠΌΠ½ΠΎΠ΅ ΠΎΠ±Ρ€Π°Π·ΠΎΠ²Π°Π½ΠΈΠ΅ Π² Π·Π°Π΄Π½Π΅ΠΉ Ρ‡Π΅Ρ€Π΅ΠΏΠ½ΠΎΠΉ ямкС β€” ΠΎΠΏΡƒΡ…ΠΎΠ»ΡŒ Ρ€Π°Π·ΠΌΠ΅Ρ€ΠΎΠΌ ΠΎΠΊΠΎΠ»ΠΎ 5 см. Она Π½Π°Ρ…ΠΎΠ΄ΠΈΠ»Π°ΡΡŒ Π² Π·ΠΎΠ½Π΅, ΠΎΡ‚Π²Π΅Ρ‡Π°ΡŽΡ‰Π΅ΠΉ Π·Π° ΠΆΠΈΠ·Π½Π΅Π½Π½ΠΎ Π²Π°ΠΆΠ½Ρ‹Π΅ Ρ„ΡƒΠ½ΠΊΡ†ΠΈΠΈ, ΠΈ прСдставляла ΠΏΡ€ΡΠΌΡƒΡŽ ΡƒΠ³Ρ€ΠΎΠ·Ρƒ ΠΆΠΈΠ·Π½ΠΈ.

πŸ‘¨β€βš•οΈ Π₯ΠΈΡ€ΡƒΡ€Π³ΠΈ ΠΏΡ€ΠΎΠ²Π΅Π»ΠΈ ΡΠ»ΠΎΠΆΠ½Π΅ΠΉΡˆΡƒΡŽ ΠΎΠΏΠ΅Ρ€Π°Ρ†ΠΈΡŽ с ΠΏΡ€ΠΈΠΌΠ΅Π½Π΅Π½ΠΈΠ΅ΠΌ ΡƒΠ»ΡŒΡ‚Ρ€Π°Π·Π²ΡƒΠΊΠΎΠ²ΠΎΠ³ΠΎ аспиратора, Π°ΠΊΠΊΡƒΡ€Π°Ρ‚Π½ΠΎ ΡƒΠ΄Π°Π»ΠΈΠ² Π½ΠΎΠ²ΠΎΠΎΠ±Ρ€Π°Π·ΠΎΠ²Π°Π½ΠΈΠ΅, Π½Π΅ ΠΏΠΎΠ²Ρ€Π΅Π΄ΠΈΠ² ΠΏΡ€ΠΈ этом критичСскиС структуры ΠΌΠΎΠ·Π³Π°.

ПослС Π²ΠΌΠ΅ΡˆΠ°Ρ‚Π΅Π»ΡŒΡΡ‚Π²Π° подросток быстро ΠΏΠΎΡˆΡ‘Π» Π½Π° ΠΏΠΎΠΏΡ€Π°Π²ΠΊΡƒ ΠΈ ΡƒΠΆΠ΅ выписан Π² ΡƒΠ΄ΠΎΠ²Π»Π΅Ρ‚Π²ΠΎΡ€ΠΈΡ‚Π΅Π»ΡŒΠ½ΠΎΠΌ состоянии. Π’Ρ€Π°Ρ‡ΠΈ ΠΏΡ€ΠΎΠ³Π½ΠΎΠ·ΠΈΡ€ΡƒΡŽΡ‚ ΠΏΠΎΠ»Π½ΠΎΠ΅ восстановлСниС ΠΈ Π²ΠΎΠ·Π²Ρ€Π°Ρ‰Π΅Π½ΠΈΠ΅ ΠΊ ΠΎΠ±Ρ‹Ρ‡Π½ΠΎΠΉ ΠΆΠΈΠ·Π½ΠΈ.

πŸ₯ Π‘ΠΎΠ²Ρ€Π΅ΠΌΠ΅Π½Π½Ρ‹Π΅ ΠΌΠ΅Ρ‚ΠΎΠ΄Ρ‹ Π½Π΅ΠΉΡ€ΠΎΡ…ΠΈΡ€ΡƒΡ€Π³ΠΈΠΈ ΠΏΠΎΠ·Π²ΠΎΠ»ΡΡŽΡ‚ ΠΏΡ€ΠΎΠ²ΠΎΠ΄ΠΈΡ‚ΡŒ Ρ‚Π°ΠΊΠΈΠ΅ ΠΎΠΏΠ΅Ρ€Π°Ρ†ΠΈΠΈ с ΠΌΠΈΠ½ΠΈΠΌΠ°Π»ΡŒΠ½Ρ‹ΠΌΠΈ рисками ΠΈ высокой Ρ‚ΠΎΡ‡Π½ΠΎΡΡ‚ΡŒΡŽ β€” особСнно Π²Π°ΠΆΠ½ΠΎ это для Π΄Π΅Ρ‚Π΅ΠΉ, Π³Π΄Π΅ Ρ†Π΅Π½Π° ошибки особСнно высока.

πŸ‘¨β€βš•οΈΠšΠ°Π½Π°Π» Π”Π§Π­ l ❓Вопросы Π²Ρ€Π°Ρ‡Π°ΠΌ

-2