Найти в Дзене
AV Clinic Красногорск

Сколько стоит возможность уверено улыбаться

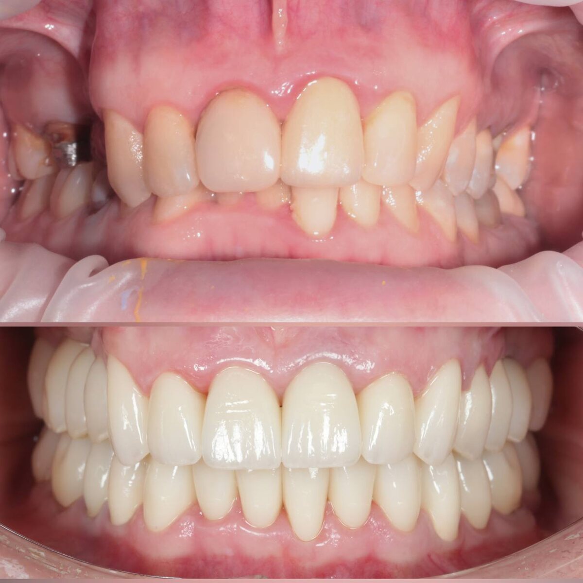
Сколько стоит возможность уверено улыбаться? И сколько времени и усилий нужно на это потратить? Реклама часто предлагает нам «зубы за один день»… Давайте разбираться! Наш кейс - пример реализации комплексного плана лечения. Это не про «полечить зуб», а про настоящий многоэтапный проект по созданию новой улыбки. Что было сделано: • Терапевтическая санация - лечение кариозных поражений твердых тканей зубов. • Эндодонтичечкое лечение корневых каналов зубов с применением микроскопа. • Ортодонтическая подготовка - выравнивание зубных рядов перед протезированием • Дентальная имплантация - создание искусственных опор для постоянного протезирования. • Тотальное протезирование - финальный аккорд, возвращающий функциональность и эстетику. Каждый этап - это вклад эксперта в свою область. Улыбка на фото - это результат слаженной работы команды AVclinic. В работе принимали участие 5 врачей Для реализации плана потребовалось более 3х лет и 95 визитов в клинику… P.S.: опять забыл про стои

Сколько стоит возможность уверено улыбаться?

И сколько времени и усилий нужно на это потратить?

Реклама часто предлагает нам «зубы за один день»…

Давайте разбираться!

Наш кейс - пример реализации комплексного плана лечения.

Это не про «полечить зуб», а про настоящий многоэтапный проект по созданию новой улыбки.

Что было сделано:

• Терапевтическая санация - лечение кариозных поражений твердых тканей зубов.

• Эндодонтичечкое лечение корневых каналов зубов с применением микроскопа.

• Ортодонтическая подготовка - выравнивание зубных рядов перед протезированием

• Дентальная имплантация - создание искусственных опор для постоянного протезирования.

• Тотальное протезирование - финальный аккорд, возвращающий функциональность и эстетику.

Каждый этап - это вклад эксперта в свою область.

Улыбка на фото - это результат слаженной работы команды AVclinic.

В работе принимали участие 5 врачей

Для реализации плана потребовалось более 3х лет и 95 визитов в клинику…

P.S.: опять забыл про стоимость🫣

На сегодняшний день стоимость подобной тотальной реабилитации не может быть менее 2 500 000 рублей.

Берегите здоровье!

Регулярные профосмотры у стоматолога, профессиональная гигиена полости рта и своевременное лечение - это залог здоровья ваших зубов.

-2
-3
-4
-5
-6