Добавить в корзинуПозвонить
Найти в Дзене

Что делать при сколе или разрушении зуба: варианты решения

Одна из самых популярных причин, по которой пациенты обращаются к стоматологу — это скол зуба. Чаще всего это происходит неожиданно: например, при откусывании твёрдых продуктов (орехов, семечек и проч.) или в результате травмы. Независимо от размера повреждения, любое нарушение целостности зуба требует профессионального вмешательства. К счастью, современная стоматология предлагает эффективные и долговечные решения для подобных дефектов — независимо от того, какая часть зуба повреждена и насколько серьёзно. Об этих решениях мы рассказываем далее. Если вы по какой-либо причине лишились части зуба (большой или маленькой), есть следующие варианты восстановления: ➡️ эстетическая реставрация композитными материалами. 📍 Когда применяется: при небольших сколах, трещинах и умеренных разрушениях коронковой части не более чем на 1/3 от объёма зуба. Это быстрый, щадящий и эстетичный метод. Врач-стоматолог терапевт послойно наносит светоотверждаемый композит, точно подбирая оттенок под натуральную

Одна из самых популярных причин, по которой пациенты обращаются к стоматологу — это скол зуба. Чаще всего это происходит неожиданно: например, при откусывании твёрдых продуктов (орехов, семечек и проч.) или в результате травмы.

Независимо от размера повреждения, любое нарушение целостности зуба требует профессионального вмешательства. К счастью, современная стоматология предлагает эффективные и долговечные решения для подобных дефектов — независимо от того, какая часть зуба повреждена и насколько серьёзно.

Об этих решениях мы рассказываем далее.

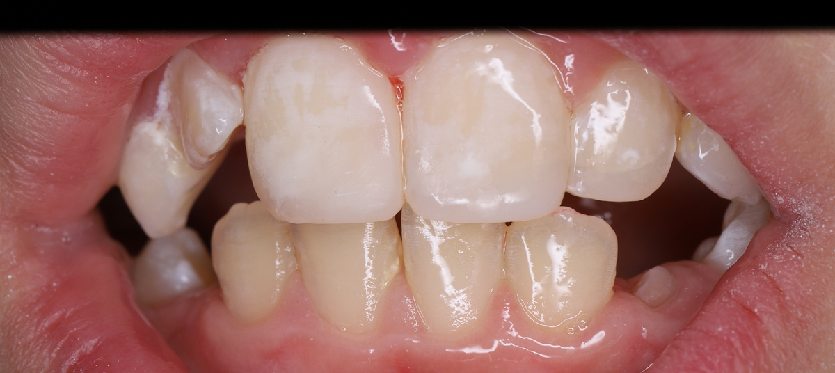
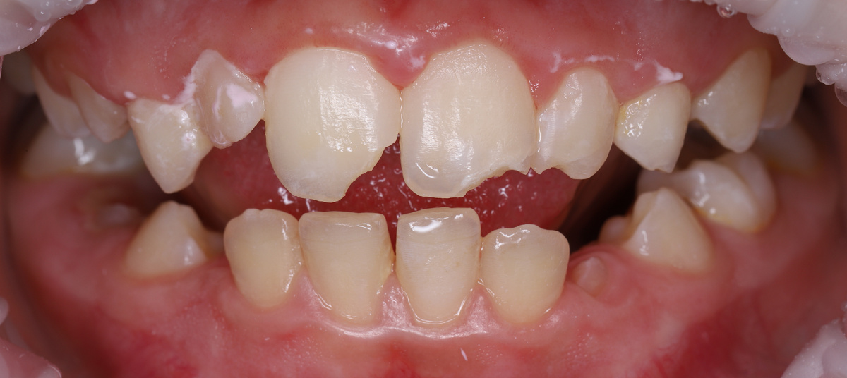
Потеря даже небольшого фрагмента зуба — это не только эстетический дефект, но и риск для здоровья всей ротовой полости!
Потеря даже небольшого фрагмента зуба — это не только эстетический дефект, но и риск для здоровья всей ротовой полости!

Если вы по какой-либо причине лишились части зуба (большой или маленькой), есть следующие варианты восстановления:

➡️ эстетическая реставрация композитными материалами.

📍 Когда применяется: при небольших сколах, трещинах и умеренных разрушениях коронковой части не более чем на 1/3 от объёма зуба.

Это быстрый, щадящий и эстетичный метод. Врач-стоматолог терапевт послойно наносит светоотверждаемый композит, точно подбирая оттенок под натуральную эмаль. Уже за один визит зуб вновь обретает форму, жевательную функцию и естественную поверхность — как будто повреждения и не было.

➡️ восстановление культевой части зуба с помощью штифта.

📍 Когда применяется: при значительном разрушении коронковой части зуба (более 50–60%), когда собственных тканей недостаточно для фиксации коронки, но корень остаётся здоровым и устойчивым.

Одной из популярных технологий является Build-up метод восстановления сильно разрушенного зуба, когда простая композитная реставрация невозможна. Её смысл заключается в укреплении зуба стекловолоконным штифтом, который фиксируется в корневых каналах. На этот штифт послойно наносится композитный материал для формирования недостающей культевой части зуба, на которую затем устанавливается коронка. Такой подход позволяет сохранить зуб даже при масштабных повреждениях и обеспечивает прочную и долговечную опору для ортопедической конструкции.

Из каких этапов состоит этот метод, узнайте в данной статье.

Так выглядят стекловолоконные штифты.
Так выглядят стекловолоконные штифты.

➡️ реставрация при помощи виниров (керамических или композитных).

📍 Когда применяется: при повреждении передних зубов, особенно если скол затронул видимую часть улыбки, а также при наличии эстетических дефектов — виниры помогают скрыть неровности, незначительные сколы, потемнение эмали, повреждения, флюороз и многое другое.

Керамические и композитные виниры различаются по материалу изготовления, стоимости и сроку службы. Подробное сравнение этих видов реставраций вы можете найти в этом материале.

➡️ установка коронки.

📍 Когда применяется: при значительном разрушении зуба (более 50% коронковой части), особенно на жевательных зубах.

Если зуб разрушен более чем на 50%, то восстановить его с помощью обычной пломбы, как правило, уже невозможно. В такой ситуации оптимальным решением становится установка коронки. Сегодня существует множество видов коронок — от металлокерамики до цельнокерамических и циркониевых. Какой вариант подойдёт именно вам, сможет определить врач-стоматолог ортопед во время консультации, учитывая состояние зуба, эстетические требования и функциональные задачи.

Если утрачена большая часть твёрдых тканей, но корень остаётся здоровым, то врач-стоматолог ортопед создаёт вкладку— прочную микропротезную конструкцию, которая предназначена для восстановления утраченной части коронки зуба и точно повторяет её форму. Затем на зуб устанавливается коронка, защищающая его от дальнейшего разрушения.

➡️ имплантация с последующим протезированием.

📍 Когда применяется: если разрушение оказалось необратимым, и зуб невозможно спасти — например, при переломе корня или глубоком воспалении.

К сожалению, бывают случаи, что зуб спасти невозможно, и тогда проводится его удаление. Далее устанавливается имплант — титановый аналог корня зуба и коронка, которая фиксируется на имплант. На сегодняшний день этот метод замещения утраченной единицы считается наиболее эффективным и безопасным.

Подробнее о всех этапах имплантации читайте здесь.

В заключение отметим, что окончательный выбор метода реставрации, оптимального именно для вас, возможен только после консультации со стоматологом и проведения комплексной диагностики. Даже если скол кажется «незначительным», не откладывайте обращение к специалисту. Микротрещины в эмали со временем могут прогрессировать, создавая условия для проникновения микроорганизмов внутрь зуба. А жевательная нагрузка на повреждённый зуб повышает риск его дальнейшего разрушения.

Записаться на приём к специалистам в ПРАЙМ можно по телефону — (4912)292-000.

_________________________________

Наши клиники в г. Рязань:

Есенина, 110

Советской армии, 9

Бирюзова, 28а

Интернациональная, 23

Полетаева, 34 (клиника корпоративного университета)

https://www.prime-med.ru/