Найти в Дзене
Parodoctor

Передние зубы не смыкаются и это не норма. Почему открытый прикус опасен и как его исправляют без операции

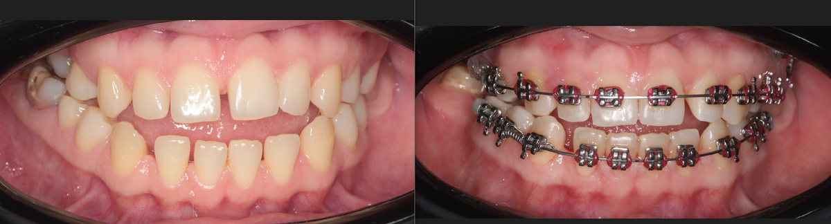
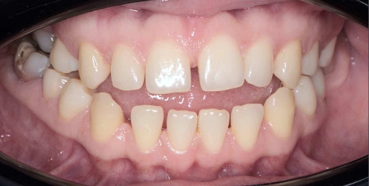
Пациентка со скелетным открытым прикусом мезиального типа - не смыкаются передние зубы. И проблема, в данном члучае, вовсе не в зубах, а в самих челюстях - они растут под неправильным углом. Передние зубы висят в воздухе, между ними щель даже при полном смыкании челюстей. Раньше такое лечили только хирургически. Ломали челюсти, переставляли, фиксировали титаном. Сейчас некоторые продвинутые и одарённые ортодонты делают то, что казалось невозможным - закрывают скелетный открытый прикус консервативно. Без ортогнатической операций. Чтобы было проще, представим себе ножницы. Лезвия смыкаются по всей длине - от основания до кончиков. При открытом прикусе "лезвия" смыкаются только сзади (боковые зубы), а спереди остаётся щель. Такие ножницы назвать полезными нельзя, в хозяйстве вряд ли пригодятся. Но зубы ведь не утилизируешь из-за профнепригодности. Причина патологии - нарушение роста и соотношения челюстей.
Задний (дистальный) отдел верхней челюсти избыточно опускается вниз, а нижняя челю
Оглавление

Пациентка со скелетным открытым прикусом мезиального типа - не смыкаются передние зубы. И проблема, в данном члучае, вовсе не в зубах, а в самих челюстях - они растут под неправильным углом. Передние зубы висят в воздухе, между ними щель даже при полном смыкании челюстей.

Скелетный открытый прикус мезиального типа
Скелетный открытый прикус мезиального типа

Раньше такое лечили только хирургически. Ломали челюсти, переставляли, фиксировали титаном. Сейчас некоторые продвинутые и одарённые ортодонты делают то, что казалось невозможным - закрывают скелетный открытый прикус консервативно. Без ортогнатической операций.

Скелетный открытый прикус - передние зубы не смыкаются

Чтобы было проще, представим себе ножницы. Лезвия смыкаются по всей длине - от основания до кончиков. При открытом прикусе "лезвия" смыкаются только сзади (боковые зубы), а спереди остаётся щель. Такие ножницы назвать полезными нельзя, в хозяйстве вряд ли пригодятся. Но зубы ведь не утилизируешь из-за профнепригодности.

Причина патологии - нарушение роста и соотношения челюстей.
Задний (дистальный) отдел верхней челюсти избыточно опускается вниз, а нижняя челюсть в ответ
вращается по часовой стрелке, что приводит к увеличению высоты нижнего отдела лица.
В результате
фронтальные зубы теряют контакт, между ними образуется вертикальная щель в 3-5 мм и более.
Такой прикус называют
скелетным открытым, потому что причина лежит не в зубах, а в архитектуре самих челюстей.

Откусывать при таком прикусе невозможно. Бутерброд, яблоко, морковка - приходится отрывать руками или разрезать на кусочки. Передние зубы просто декоративные, не функционируют. Речь может страдать - воздух свистит через щель.

Парадокс - многие пациенты не замечают проблему

Удивительно, но пациенты с открытым прикусом часто не осознают того, что имеют патологию и что их смыкание - вообще не норма. Не осознают масштабапроблем даже. Человек с детства приспособился откусывать боком, отрывать кусками, резать ножом. Для него это норма.

Проблема вскрывается случайно - обычно, когда случаются негативные последствия, которые сопровождают взаимодействие с подобным видом прикуса. Для таких пациентов любое стоматологическое вмешательство - риск неприятностей. Банальная пломба на жевательной поверхности может стать проблемой. Почему?

При открытом прикусе вся нагрузка на боковых зубах. Они притёрлись друг к другу, нашли баланс. Изменил высоту пломбы на полмиллиметра - и всё, челюсть сместилась. Появляются боли в суставе, головные боли, дискомфорт при жевании.

Я видела много пациентов, которые годами мучились после "простого" лечения кариеса, но про ортодонта не задумывались даже - это история не про них, конечно же (они так думают). Пломба хорошая, а жевать не получается привычно. Пришлифовывают - не помогает. Потому что проблема не в пломбе, а в том, что нарушилась компенсация открытого прикуса.

Мы всех таких пациентов в обязательном порядке направляем на консультацию к ортодонту!

Очень важно диагностировать открытый прикус ДО любого серьёзного стоматологического лечения. Ставить коронки, виниры, делать имплантацию при нескорректированном открытом прикусе - это строить дом на кривом фундаменте.

Сначала - ортодонт. Потом - всё остальное. Иначе красивые дорогие конструкции будут вызывать боль и дискомфорт. А переделывать после ортодонтического лечения - эффективность ниже, стоимость выше.

Если же у вас подобный прикус и отрицание ортодонтии - сохраняйте свои родные зубы в первозданом виде, они должны быть целыми, здоровыми. Фокус на правильную гигиену с юных лет.

Ауторотация - как заставить челюсть вращаться обратно

Наш ортодонт для данного случая использует концепцию ауторотации. Звучит сложно, но принцип понятный и логичный.

Если вдавить верхние моляры в кость (интрузия), челюсть начинает вращаться против часовой стрелки (сейчас вращается по часовой).

Представьте качели-балансир (такие, где перекладина по центру). Опускаем один конец - второй поднимается. Вдавливаем задние зубы - передняя часть челюсти поднимается, прикус закрывается.

Но как заставить зуб погрузиться в кость? Ведь это не гвоздь - молотком не забьёшь, не поймут.

Микроимпланты - точки опоры для стабильной опоры

В кость челюсти вкручивают микроимпланты - титановые мини-винты или другие конструкции, если есть особенности строения кости. Это абсолютный анкораж - неподвижная точка опоры. К минивинтам цепляют эластические тяги (резиночки), которые тянут зубы. Но не вбок, как обычно при брекетах, а вверх - вдавливают (внедряют) в кость.

Зубы медленно погружаются в кость, дело идёт.

Скелетный открытый прикус - коррекция на брекет-системе

Июль - прогресс за 2 месяца

Первый этап - внедрение верхних моляров. Прогресс за 2 месяца:

Лично мне уже кажется впечатляющим. Запущены процессы ауторотации нижней челюсти.

"Прогресс закрытия прикуса благодаря эффекту ауторотации", - пишет ортодонт. Челюсть начала вращаться против часовой стрелки. Передние зубы стали ближе друг к другу, щель уменьшается.

Ноябрь - продолжение внедрения, но в большей части - на нижней челюсти

Теперь внедряют и нижние боковые зубы. Двойной эффект - верхние моляры идут вверх, нижние вниз, челюсть вращается, и передние зубы сближаются.

"Объективный прогресс закрытия прикуса за счёт вращения окклюзионной плоскости против часовой стрелки", - фиксирует ортодонт.

Окклюзионная плоскость - это воображаемая линия, по которой смыкаются зубы. При открытом прикусе она наклонена неправильно - слишком крутая сзади. Внедрение моляров её выравнивает, и передние зубы получают шанс встретиться.

Впереди ещё много месяцев работы, но в успехе никто не сомневается. За развитием ситуации будем наблюдать в моём ТГ канале, ссылка в конце статьи на июльский пост.

Статистика рецидивов

Открытый прикус - чемпион по рецидивам. Каждый четвёртый пациент после лечения получает повторное открытие прикуса на этапе ретенции. Зубы упорно возвращаются в неправильное положение.

Почему? Потому что обычно лечат следствие, а не причину. Вытягивают зубы, чтобы они встретились. Но если угол челюстей остался неправильным, зубы вернутся обратно.

Метод с внедрением и ауторотацией меняет положение самих челюстей. Это более стабильный результат. Рецидивы случаются, но гораздо реже.

Ретенция с подстраховкой - год с микроимплантами

После активного лечения микроимпланты не удаляют. Они остаются ещё на год, как страховка.

Пациентка будет носить съёмную пластинку на верхнюю челюсть. К пластинке и микроимплантам - эластические тяги на ночь. Это удержит моляры во вдавленном положении, не даст прикусу открыться снова.

Звучит сложно? На практике - 2 минуты перед сном. Надел резиночки, вставил пластинку, спать. Утром снял.

"Ретенционный период у всех индивидуален", - подчёркивает ортодонт. При простых случаях хватит обычного ретейнера. При скелетных аномалиях нужна более серьёзная подстраховка.

Психология лечения

"Пожалуйста, не страдайте за пациентку, она очень счастлива", - пишет ортодонт.

И это правда. Микроимпланты не мешают. Они маленькие, гладкие, расположены высоко на челюсти - язык их не касается. К резинкам быстро привыкаешь.

Главное - пациентка сможет откусывать передними зубами! Щель уменьшается, резцы приближаются друг к другу. Можно будет откусить яблоко, бутерброд, кукурузу с початка. Это кажется мелочью, пока не потеряешь эту возможность.

Мотивация творит чудеса. Когда человек видит, как закрывается щель между передними зубами, он готов терпеть любые неудобства. И неудобстава эти кажутся сущей мелочью.

Вывод

Скелетный открытый прикус коварен. Человек живёт с ним десятилетиями, приспосабливается, считает нормой.

Но это бомба замедленного действия. Рано или поздно компенсация даёт сбой. Обычная пломба становится триггером для болей в суставе. Протезирование превращается в мучение - новые коронки "не садятся", прикус плавает, ничего не подходит. А передние зубы, которые годами не работали, могут с возрастом становиться подвижными без нагрузки. Организм не любит, когда что-то не работает.

Хорошая новость - современная ортодонтия умеет решать такие проблемы без операций (но каждый случай индивидуален и кому-то без операции не обойтись). Микроимпланты, контролируемое внедрение зубов, ауторотация челюсти - звучит сложно, работает аккуратно, деликатно. Да, это не спа-процедура. Но оно того стоит.

Альтернатива - жить с дисфункцией всю жизнь. Не откусывать нормально. Бояться любого стоматологического вмешательства. Получить проблемы с ВНЧС.

Самое удивительное в истории пациентки - её радость от процесса. Каждый месяц щель между передними зубами меньше и меньше. Кажется, мелочь. Но для человека, который не мог откусить яблоко - это чудо.

Если вы не можете откусывать передними зубами, если между ними щель при смыкании, если после пломбирования жевательных зубов появляется дискомфорт - покажитесь ортодонту. Возможно, у вас открытый прикус, о котором вы не задумываетесь. И возможно, его можно исправить без страшной операции.

(!) Такое вмешательство не является рядовым случаем и требует серьезной квалификации и опыта ортодонта. Будьте бдительны и осторожны. Ортодонтов очень много, профессионалов - очень мало.

Подборка статей по ортодонтии:

Ортодонтические варианты | Parodoctor | Дзен

Вопросы задавайте в моём Telegram-канале - там я их точно увижу и отвечу. В Дзене сотни комментариев под сотнями статей и я физически не успеваю всё всегда мониторить. В Telegram все вопросы в одном месте, удобно отвечать, можно фото прикрепить. Так что жду в тг:

Parodoctor

С уважением, Лежачёва Наталия Александровна, хирург-пародонтолог и главный врач стоматологии Parodent, СПб.