Найти в Дзене

ИСТОРИЯ ОТБЕЛИВАНИЯ СПУСТЯ ГОДА!

Пациент 45 лет с давней историей отбеливания зубов.

Состояние зубов хорошее, нет реставраций и коронок в видимой зоне улыбки.

Впервые пациент проводил отбеливание 15 лет назад. Это было домашнее отбеливание Opalscence 10% и 15% (в течение 2х недель). Пациент был очень доволен результатом и периодически поддерживал результат домашним методом. 

Затем, примерно 11-12 лет назад, было проведено клиническое отбеливание (не помнит точно, но "вроде какой-то из вариантов ZOOM"). 

Результат был яркий и хороший. 

Отлично держался и не возникало желания повтора. 

Примерно 3 года назад появилось желание "обновить яркость отбеливания". Пациент провел клиническое отбеливание (не Zoom — какая фирма не помнит).

Результат показался очень коротким, а откат обратно очень быстрым. Поэтому осталось желание повторить клиническое отбеливание.

И 2,5 года назад пациент пришёл к нам в клинику для проведения отбеливания Zoom 4.

-2

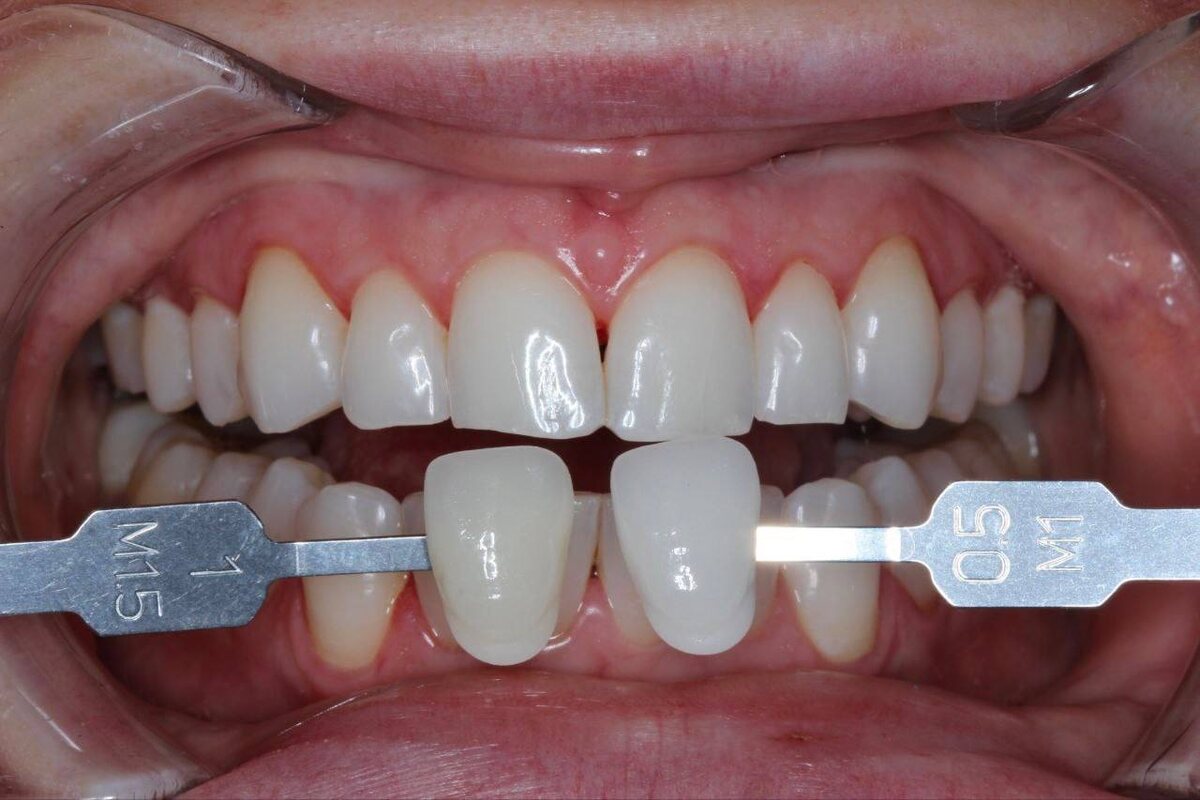
Обратите внимание, что цвет перед отбеливанием — В1 (максимально светлый из натуральных оттенков) 

  • Результат клинического отбеливания, проведенного 2,5 года назад, вы видите на первом фото.
  • А второе фото сделано спустя 2,5 года после отбеливания на процедуре профессиональной гигиены у нас в клинике 30.09.2025г.

ПРЕКРАСНЫЙ ДОЛГИЙ РЕЗУЛЬТАТ:

За 2,5 года прошел небольшой откат от яркости сразу после отбеливания (М0,5-М1), но обратите внимание, что к первоначальному B1 (что само по себе уже самый светлый из "натуральных" оттенков) так и не вернулся. Более светлый чем В1 — М1-М1,5 тоже не совсем подошёл, что-то между.

Но суть одна — прекрасный результат сохраняется! 

УХОД ЗА ЗУБАМИ:

Что делал пациент, чтобы сохранить результат?

Ничего особенного не делал!

Из минусов

  • По 2 чашки кофе ежедневно
  • 1-2 чашки чая ежедневно
  • Периодическое "покуривание"...

Из плюсов:

  • Домашняя гигиена 2 раза в день. 
  • Профгигиены каждые 3-4 месяца.

Всё!

До сих пор пациент доволен своей улыбкой и получает комплименты

Хотите также? - Записывайтесь по ХОРОШЕЙ ЦЕНЕ

Окошки на декабрь у наших терапевтов ещё остались, но быстро закрываются!