Добавить в корзинуПозвонить
Найти в Дзене

Анапластический рак щитовидной железы

Анапластический рак ЩЖ (АР) является высокоагрессивной недифференцированной злокачественной опухолью, развивается из фолликулярных клеток ЩЖ и характеризуется инсулярным, солидным и трабекулярным типом роста. В классификации TNM 2017 года в связи с высоким злокачественным потенциалом АР ЩЖ всегда расценивается как IV стадия заболевания и подразделяется на IVA, IVB и IVC. Составляет до 1-2% всех тиреоидных карцином и отвечает за 20-50% смертей от рака ЩЖ. Чаще встречается после 60 лет, чаще у женщин (60-70%), нередко на фоне диффузного зоба. Гистологически АР ЩЖ подразделяется на 3 основных подтипа: Опухоль часто имеет большие размеры и диффузно инфильтрирует одну или обе доли ЩЖ, а также распространяться на прилежащие структуры шеи. При АР ЩЖ часто (до 60%) возникают нарушения глотания, дыхания, а также голосовые проблемы (хрипота, ослабление голоса др.), что связано с компрессией структур шеи (трахеи, пищевода, возвратного нерва и др.) опухолью. Часто в структуре анапластической карци

Анапластический рак ЩЖ (АР) является высокоагрессивной недифференцированной злокачественной опухолью, развивается из фолликулярных клеток ЩЖ и характеризуется инсулярным, солидным и трабекулярным типом роста.

В классификации TNM 2017 года в связи с высоким злокачественным потенциалом АР ЩЖ всегда расценивается как IV стадия заболевания и подразделяется на IVA, IVB и IVC.

Составляет до 1-2% всех тиреоидных карцином и отвечает за 20-50% смертей от рака ЩЖ.

Чаще встречается после 60 лет, чаще у женщин (60-70%), нередко на фоне диффузного зоба.

Гистологически АР ЩЖ подразделяется на 3 основных подтипа:

  • Гигантоклеточный (чаще) - превалируют гигантские клетки;
  • Веретенообразный - большая часть патологических клеток веретенообразные;
  • Сквамоидный (плоскоклеточный) – по структуре схож с неороговевающим плоскоклеточным раком.

Опухоль часто имеет большие размеры и диффузно инфильтрирует одну или обе доли ЩЖ, а также распространяться на прилежащие структуры шеи.

При АР ЩЖ часто (до 60%) возникают нарушения глотания, дыхания, а также голосовые проблемы (хрипота, ослабление голоса др.), что связано с компрессией структур шеи (трахеи, пищевода, возвратного нерва и др.) опухолью.

Часто в структуре анапластической карциноме отмечаются участки геморрагий и некроза, кальцификаты, лимфоидная инфильтрация, а также частично инкапсулированные более дифференцированные участки папиллярного или фолликулярного строения.

В 98% случаев отмечается одно- или двустороннее поражение регионарных лимфоузлов.

Примерно в 15-50% случаев в момент обследования имеются отдаленные метастазы (легкие и плевра (90%), кости (5-15%), головной мозг (5%), редко – кожа, печень, микард и др.).

В 95% случаев наблюдаются микрометастазы в контрлатеральной доле ЩЖ.

АР ЩЖ функционально неактивен, характеризуется быстрым и тяжелым течением и неблагоприятным прогнозом с медианой выживаемости 5-6 месяцев.

Общая 1-летняя выживаемость при анапластическом раке ЩЖ не превышает 20%, 5-летняя выживаемость составляет менее 7%.

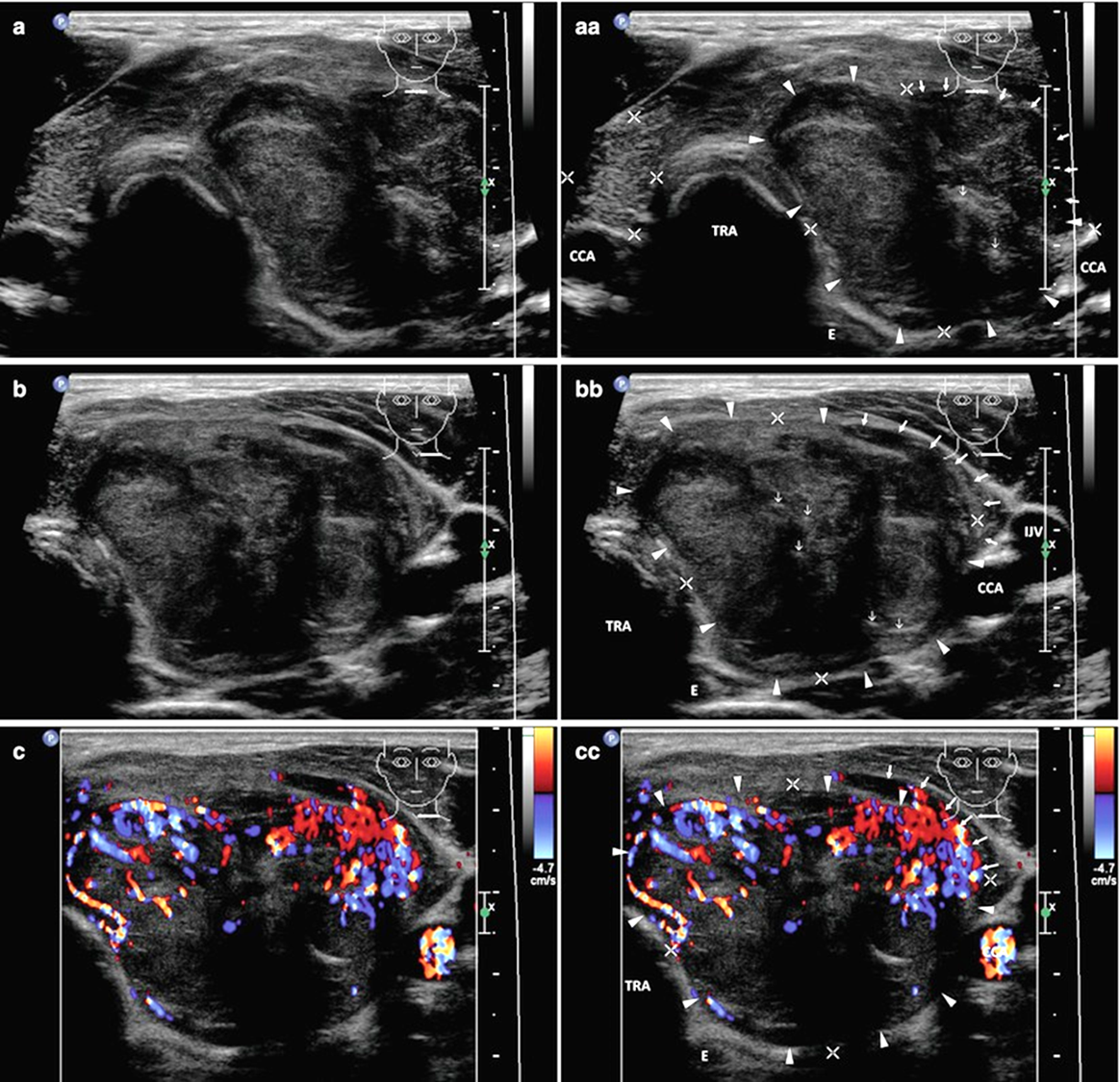
Анапластический рак щитовидной железы при УЗИ

  • Обычно визуализируется крупное диффузно-неоднородное бесформенное гипоэхогенное образование, занимающее всю долю, без четких границ.
  • В 78% случаев наблюдаются зоны некроза опухоли, в 58% случаев - кальцинаты.
  • В 47% случаев опухолевые узлы АР ЩЖ окружены зонами узловой гиперплазии.
  • Как правило, опухоли хорошо васкуляризированы за исключением зон некроза.
  • Отмечается, что в момент исследования опухоль обычно находится в уже далеко зашедшей клинической стадии и распространяется практически на всю ткань железы.
  • Экстракапсулярное распространение с инфильтрацией трахеи, пищевода, мягких тканей шеи наблюдается в 30% случаев; может быть тромбоз внутренней яремной вены и опухолевая окклюзия общей сонной артерии.
  • В 80% случаев наблюдаются метастазы в регионарные лимфоузлы в виде увеличенных гипоэхогенных образований округлой или овальной формы на стороне локализации новообразования, реже на противоположной.
-2
-3
-4

Автор - Иогансен Юрий Александрович, врач ультразвуковой диагностики, кандидат медицинских наук.